ARG53458
anti-PHLPP2 antibody [SP220]
anti-PHLPP2 antibody [SP220] for IHC-Formalin-fixed paraffin-embedded sections,Western blot and Human
Signaling Transduction antibody
Overview
| Product Description | Rabbit Monoclonal antibody [SP220] recognizes PHLPP2 |
|---|---|
| Tested Reactivity | Hu |
| Tested Application | IHC-P, WB |
| Host | Rabbit |
| Clonality | Monoclonal |
| Clone | SP220 |
| Isotype | IgG |
| Target Name | PHLPP2 |
| Antigen Species | Human |
| Immunogen | Synthetic peptide derived from human PHLPP2 protein. |
| Conjugation | Un-conjugated |
| Alternate Names | PH domain leucine-rich repeat-containing protein phosphatase 2; PHLPP-like; PH domain leucine-rich repeat-containing protein phosphatase-like; PHLPPL; EC 3.1.3.16 |
Application Instructions
| Application Suggestion |
|
||||||
|---|---|---|---|---|---|---|---|
| Application Note | * The dilutions indicate recommended starting dilutions and the optimal dilutions or concentrations should be determined by the scientist. | ||||||
| Positive Control | Prostate, Prostate Adenocarcinoma, HEK293T Cell Lysate |
Properties
| Form | Liquid |
|---|---|
| Purification | Purified by protein A/G |
| Buffer | PBS (pH 7.6), 1% BSA and <0.1% Sodium azide |
| Preservative | <0.1% Sodium azide |
| Stabilizer | 1% BSA |
| Storage Instruction | For continuous use, store undiluted antibody at 2-8°C for up to a week. For long-term storage, aliquot and store at -20°C or below. Storage in frost free freezers is not recommended. Avoid repeated freeze/thaw cycles. Suggest spin the vial prior to opening. The antibody solution should be gently mixed before use. |
| Note | For laboratory research only, not for drug, diagnostic or other use. |
Bioinformation
| Database Links |
Swiss-port # Q6ZVD8 Human PH domain leucine-rich repeat-containing protein phosphatase 2 |
|---|---|
| Gene Symbol | PHLPP2 |
| Gene Full Name | PH domain and leucine rich repeat protein phosphatase 2 |
| Function | Protein phosphatase that mediates dephosphorylation of 'Ser-473' of AKT1, 'Ser-660' of PRKCB isoform beta-II and 'Ser-657' of PRKCA. AKT1 regulates the balance between cell survival and apoptosis through a cascade that primarily alters the function of transcription factors that regulate pro- and antiapoptotic genes. Dephosphorylation of 'Ser-473' of AKT1 triggers apoptosis and decreases cell proliferation. Also controls the phosphorylation of AKT3. Dephosphorylation of PRKCA and PRKCB leads to their destabilization and degradation. Inhibits cancer cell proliferation and may act as a tumor suppressor. [UniProt] |
| Cellular Localization | Cytoplasm, Membrane, Nucleus |
| Research Area | Signaling Transduction antibody |
| Calculated MW | 147 kDa |
Images (3) Click the Picture to Zoom In
-
ARG53458 anti-PHLPP2 antibody [SP220] WB image
Western Blot: HEK 293T Cell Lysate stained with PHLPP2 antibody [SP220] (ARG53458)
-
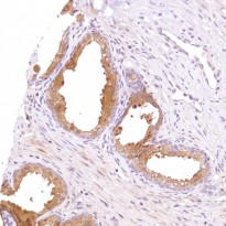
ARG53458 anti-PHLPP2 antibody [SP220] IHC-P image
Immunohistochemistry: Human Normal Prostate stained with PHLPP2 antibody [SP220] (ARG53458)
-
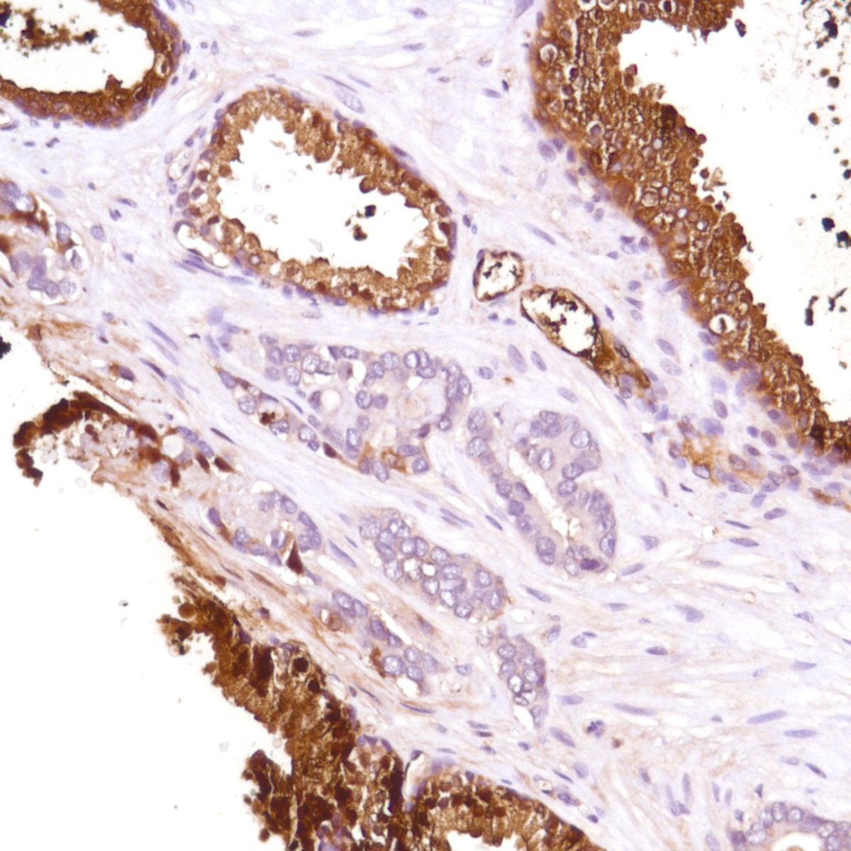
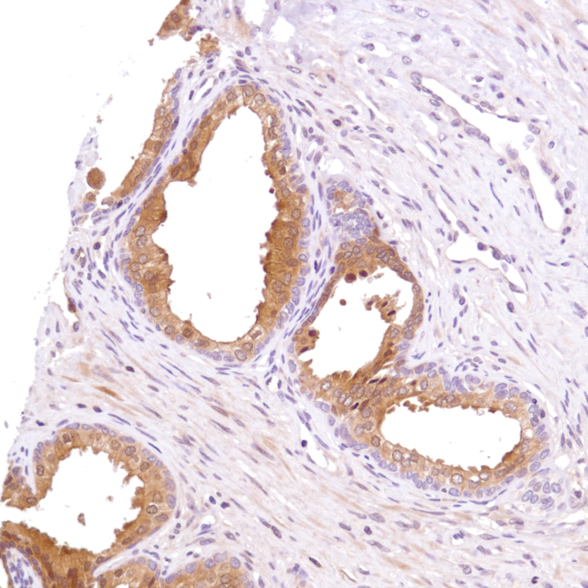
ARG53458 anti-PHLPP2 antibody [SP220] IHC-P image
Immunohistochemistry: Human Prostate Adenocarcinoma stained with PHLPP2 antibody [SP220] (ARG53458)
