ARG54876
anti-PI3 Kinase Class III antibody
anti-PI3 Kinase Class III antibody for ICC/IF,IHC-Formalin-fixed paraffin-embedded sections,Western blot and Human
Immune System antibody; Metabolism antibody; Signaling Transduction antibody
Overview
| Product Description | Rabbit Polyclonal antibody recognizes PI3 Kinase Class III |
|---|---|
| Tested Reactivity | Hu |
| Predict Reactivity | Ms, Rat, Pig, Xenopus |
| Tested Application | ICC/IF, IHC-P, WB |
| Host | Rabbit |
| Clonality | Polyclonal |
| Isotype | IgG |
| Target Name | PI3 Kinase Class III |
| Antigen Species | Human |
| Immunogen | KLH-conjugated synthetic peptide corresponding to aa. 24-53 (N-terminus) of Human PI3 Kinase Class III. |
| Conjugation | Un-conjugated |
| Alternate Names | PtdIns-3-kinase type 3; VPS34; EC 2.7.1.137; PI3K type 3; Phosphatidylinositol 3-kinase p100 subunit; Phosphatidylinositol 3-kinase catalytic subunit type 3; PI3-kinase type 3; Phosphoinositide-3-kinase class 3; hVps34; Vps34 |
Application Instructions
| Application Suggestion |
|
||||||||
|---|---|---|---|---|---|---|---|---|---|
| Application Note | * The dilutions indicate recommended starting dilutions and the optimal dilutions or concentrations should be determined by the scientist. | ||||||||
| Positive Control | HeLa |
Properties
| Form | Liquid |
|---|---|
| Purification | Purification with Protein G. |
| Buffer | PBS and 0.09% (W/V) Sodium azide |
| Preservative | 0.09% (W/V) Sodium azide |
| Storage Instruction | For continuous use, store undiluted antibody at 2-8°C for up to a week. For long-term storage, aliquot and store at -20°C or below. Storage in frost free freezers is not recommended. Avoid repeated freeze/thaw cycles. Suggest spin the vial prior to opening. The antibody solution should be gently mixed before use. |
| Note | For laboratory research only, not for drug, diagnostic or other use. |
Bioinformation
| Database Links |
Swiss-port # Q8NEB9 Human Phosphatidylinositol 3-kinase catalytic subunit type 3 |
|---|---|
| Gene Symbol | PIK3C3 |
| Gene Full Name | phosphatidylinositol 3-kinase, catalytic subunit type 3 |
| Function | Catalytic subunit of the PI3K complex that mediates formation of phosphatidylinositol 3-phosphate which plays a key role in initiation and maturation of autophagosomes. Involved in the transport of lysosomal enzyme precursors to lysosomes. Required for the abcission step in cytokinesis. Required for transport from early to late endosomes. [UniProt] |
| Cellular Localization | Midbody. Late endosome. Note=Localizes also to discrete punctae along the ciliary axoneme and to the base of the ciliary axoneme. |
| Research Area | Immune System antibody; Metabolism antibody; Signaling Transduction antibody |
| Calculated MW | 102 kDa |
Images (3) Click the Picture to Zoom In
-
ARG54876 anti-PI3 Kinase Class III antibody ICC/IF image
Immunofluorescence: HeLa cells stained with ARG54876 anti-PI3 Kinase Class III antibody (green). DAPI (blue) for nuclear staining.
-
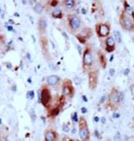
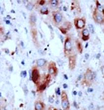
ARG54876 anti-PI3 Kinase Class III antibody IHC-P image
Immunohistochemistry: Formalin-fixed and paraffin-embedded Human hepatocarcinoma tissue stained with ARG54876 anti-PI3 Kinase Class III antibody.
-
ARG54876 anti-PI3 Kinase Class III antibody WB image
Western blot: 20 µg of HeLa cell lysate stained with ARG54876 anti-PI3 Kinase Class III antibody at 1:1000 dilution.
