ARG40865
anti-PI3 Kinase p85 beta antibody
anti-PI3 Kinase p85 beta antibody for ICC/IF,IHC-Formalin-fixed paraffin-embedded sections,Immunoprecipitation,Western blot and Human,Rat
Overview
| Product Description | Rabbit Polyclonal antibody recognizes PI3 Kinase p85 beta |
|---|---|
| Tested Reactivity | Hu, Rat |
| Tested Application | ICC/IF, IHC-P, IP, WB |
| Host | Rabbit |
| Clonality | Polyclonal |
| Isotype | IgG |
| Target Name | PI3 Kinase p85 beta |
| Antigen Species | Human |
| Immunogen | Synthetic peptide derived from Human PI3 Kinase p85 beta. |
| Conjugation | Un-conjugated |
| Alternate Names | P85B; Phosphatidylinositol 3-kinase 85 kDa regulatory subunit beta; PtdIns-3-kinase regulatory subunit beta; PI3-kinase regulatory subunit beta; p85; PI3K regulatory subunit beta; MPPH1; MPPH; Phosphatidylinositol 3-kinase regulatory subunit beta; PtdIns-3-kinase regulatory subunit p85-beta; p85-BETA; PI3-kinase subunit p85-beta |
Application Instructions
| Application Suggestion |
|
||||||||||
|---|---|---|---|---|---|---|---|---|---|---|---|
| Application Note | * The dilutions indicate recommended starting dilutions and the optimal dilutions or concentrations should be determined by the scientist. |
Properties
| Form | Liquid |
|---|---|
| Purification | Affinity purified. |
| Buffer | PBS (pH 7.4), 150 mM NaCl, 0.02% Sodium azide and 50% Glycerol. |
| Preservative | 0.02% Sodium azide |
| Stabilizer | 50% Glycerol |
| Storage Instruction | For continuous use, store undiluted antibody at 2-8°C for up to a week. For long-term storage, aliquot and store at -20°C. Storage in frost free freezers is not recommended. Avoid repeated freeze/thaw cycles. Suggest spin the vial prior to opening. The antibody solution should be gently mixed before use. |
| Note | For laboratory research only, not for drug, diagnostic or other use. |
Bioinformation
| Database Links |
Swiss-port # O00459 Human Phosphatidylinositol 3-kinase regulatory subunit beta |
|---|---|
| Gene Symbol | PIK3R2 |
| Gene Full Name | phosphoinositide-3-kinase, regulatory subunit 2 (beta) |
| Background | Phosphatidylinositol 3-kinase (PI3K) is a lipid kinase that phosphorylates phosphatidylinositol and similar compounds, creating second messengers important in growth signaling pathways. PI3K functions as a heterodimer of a regulatory and a catalytic subunit. The protein encoded by this gene is a regulatory component of PI3K. Two transcript variants, one protein coding and the other non-protein coding, have been found for this gene. [provided by RefSeq, Dec 2012] |
| Function | Regulatory subunit of phosphoinositide-3-kinase (PI3K), a kinase that phosphorylates PtdIns(4,5)P2 (Phosphatidylinositol 4,5-bisphosphate) to generate phosphatidylinositol 3,4,5-trisphosphate (PIP3). PIP3 plays a key role by recruiting PH domain-containing proteins to the membrane, including AKT1 and PDPK1, activating signaling cascades involved in cell growth, survival, proliferation, motility and morphology. Binds to activated (phosphorylated) protein-tyrosine kinases, through its SH2 domain, and acts as an adapter, mediating the association of the p110 catalytic unit to the plasma membrane. Indirectly regulates autophagy. Promotes nuclear translocation of XBP1 isoform 2 in a ER stress- and/or insulin-dependent manner during metabolic overloading in the liver and hence plays a role in glucose tolerance improvement (By similarity). [UniProt] |
| Calculated MW | 82 kDa |
| PTM | Phosphorylated in response to signaling from activated receptor-type protein kinases (PubMed:19690332, PubMed:20068231). Dephosphorylated by PTPRJ (PubMed:18348712). Dephosphorylated at Tyr-655 by PTPN13. Phosphorylation of Tyr-655 impairs while its dephosphorylation promotes interaction with FBXL2 and SCF(FBXL2)-mediated polyubiquitination (PubMed:23604317). Ubiquitinated. Polyubiquitination by the SCF(FBXL2) complex probably promotes proteasomal degradation of PIK3R2. [UniProt] |
Images (2) Click the Picture to Zoom In
-
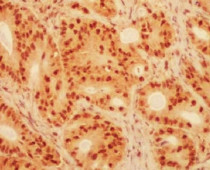
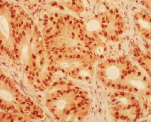
ARG40865 anti-PI3 Kinase p85 beta antibody IHC-P image
Immunohistochemistry: Paraffin-embedded Human colon cancer tissue stained with ARG40865 anti-PI3 Kinase p85 beta antibody.
-
ARG40865 anti-PI3 Kinase p85 beta antibody WB image
Western blot: HeLa cell lysate stained with ARG40865 anti-PI3 Kinase p85 beta antibody.
