ARG41276
anti-PIAS1 antibody
anti-PIAS1 antibody for IHC-Formalin-fixed paraffin-embedded sections and Human,Rat
Overview
| Product Description | Rabbit Polyclonal antibody recognizes PIAS1 |
|---|---|
| Tested Reactivity | Hu, Rat |
| Predict Reactivity | Ms, Hm |
| Tested Application | IHC-P |
| Host | Rabbit |
| Clonality | Polyclonal |
| Isotype | IgG |
| Target Name | PIAS1 |
| Antigen Species | Human |
| Immunogen | Synthetic peptide corresponding to aa. 636-651 of Human PIAS1. (DTASIFGIIPDIISLD) |
| Conjugation | Un-conjugated |
| Alternate Names | Protein inhibitor of activated STAT protein 1; EC 6.3.2.-; Gu-binding protein; DEAD/H box-binding protein 1; E3 SUMO-protein ligase PIAS1; DDXBP1; GBP; RNA helicase II-binding protein; ZMIZ3; GU/RH-II |
Application Instructions
| Application Suggestion |
|
||||
|---|---|---|---|---|---|
| Application Note | * The dilutions indicate recommended starting dilutions and the optimal dilutions or concentrations should be determined by the scientist. | ||||
| Observed Size | 100 kDa |
Properties
| Form | Liquid |
|---|---|
| Purification | Affinity purification with immunogen. |
| Buffer | 0.2% Na2HPO4, 0.9% NaCl, 0.05% Thimerosal, 0.05% Sodium azide and 5% BSA. |
| Preservative | 0.05% Thimerosal and 0.05% Sodium azide |
| Stabilizer | 5% BSA |
| Concentration | 0.5 mg/ml |
| Storage Instruction | For continuous use, store undiluted antibody at 2-8°C for up to a week. For long-term storage, aliquot and store at -20°C or below. Storage in frost free freezers is not recommended. Avoid repeated freeze/thaw cycles. Suggest spin the vial prior to opening. The antibody solution should be gently mixed before use. |
| Note | For laboratory research only, not for drug, diagnostic or other use. |
Bioinformation
| Database Links | |
|---|---|
| Gene Symbol | PIAS1 |
| Gene Full Name | protein inhibitor of activated STAT, 1 |
| Background | This gene encodes a member of the mammalian PIAS [protein inhibitor of activated STAT-1 (signal transducer and activator of transcription-1)] family. This member contains a putative zinc-binding motif and a highly acidic region. It inhibits STAT1-mediated gene activation and the DNA binding activity, binds to Gu protein/RNA helicase II/DEAD box polypeptide 21, and interacts with androgen receptor (AR). It functions in testis as a nuclear receptor transcriptional coregulator and may have a role in AR initiation and maintenance of spermatogenesis. [provided by RefSeq, Jul 2008] |
| Function | Functions as an E3-type small ubiquitin-like modifier (SUMO) ligase, stabilizing the interaction between UBE2I and the substrate, and as a SUMO-tethering factor. Plays a crucial role as a transcriptional coregulation in various cellular pathways, including the STAT pathway, the p53 pathway and the steroid hormone signaling pathway. In vitro, binds A/T-rich DNA. The effects of this transcriptional coregulation, transactivation or silencing, may vary depending upon the biological context. Together with PRMT1, may repress STAT1 transcriptional activity, in the late phase of interferon gamma (IFN-gamma) signaling. Sumoylates PML (at'Lys-65' and 'Lys-160') and PML-RAR and promotes their ubiquitin-mediated degradation. PIAS1-mediated sumoylation of PML promotes its interaction with CSNK2A1/CK2 which in turn promotes PML phosphorylation and degradation (By similarity). Enhances the sumoylation of MTA1 and may participate in its paralog-selective sumoylation. Plays a dynamic role in adipogenesis by promoting the SUMOylation and degradation of CEBPB (By similarity). [UniProt] |
| Cellular Localization | Nucleus speckle. Nucleus, PML body. Note=Interaction with CSRP2 may induce a partial redistribution along the cytoskeleton. [UniProt] |
| Calculated MW | 72 kDa |
| PTM | Sumoylated. Dimethylated by PRMT1 at Arg-303 in the late phase of interferon gamma (IFN-gamma) signaling, leading to preferential interaction with STAT1 and thus resulting in release of STAT1 from its target gene. [UniProt] |
Images (4) Click the Picture to Zoom In
-
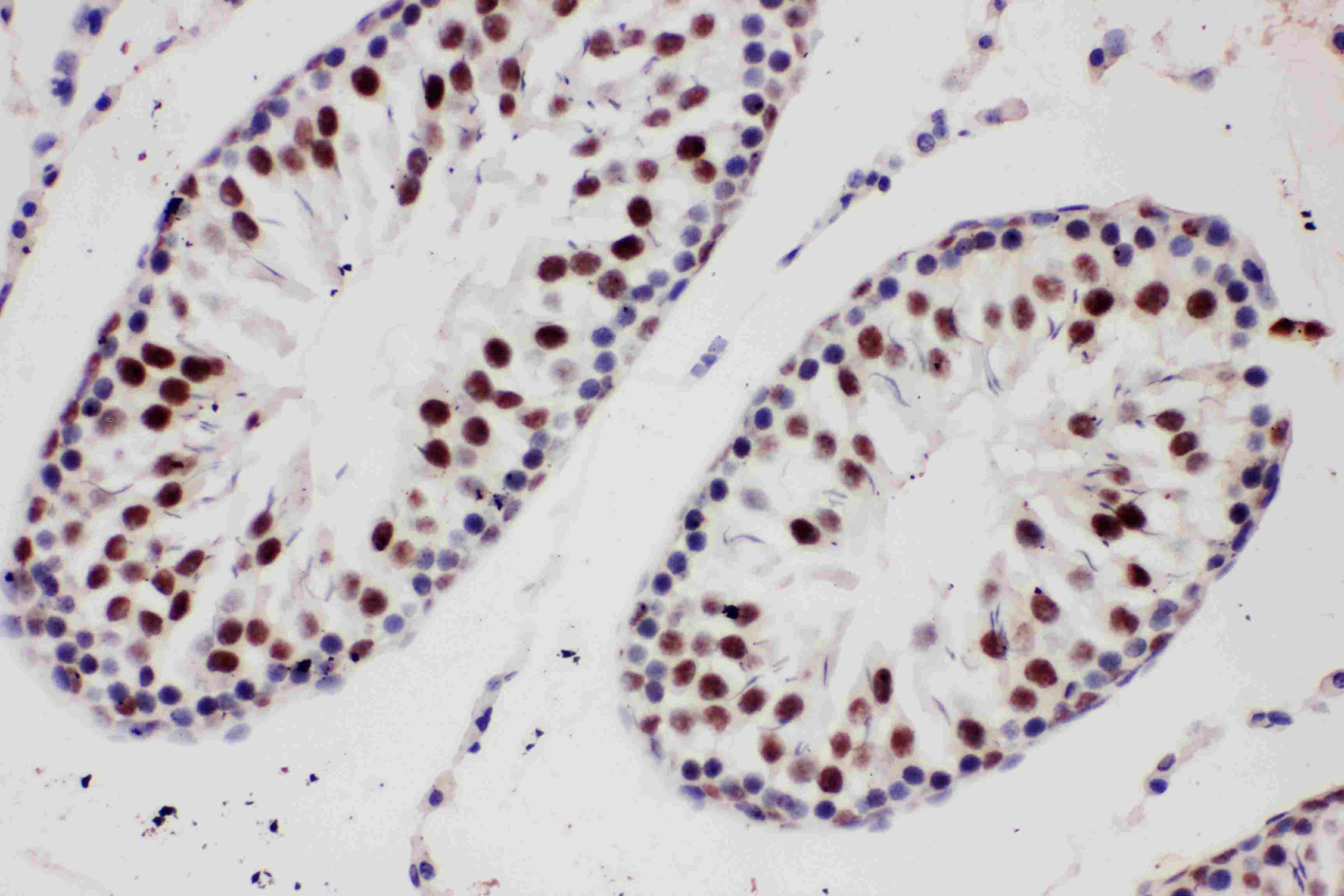
ARG41276 anti-PIAS1 antibody IHC-P image
Immunohistochemistry: Paraffin-embedded Rat testis tissue stained with ARG41276 anti-PIAS1 antibody.
-
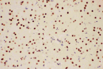
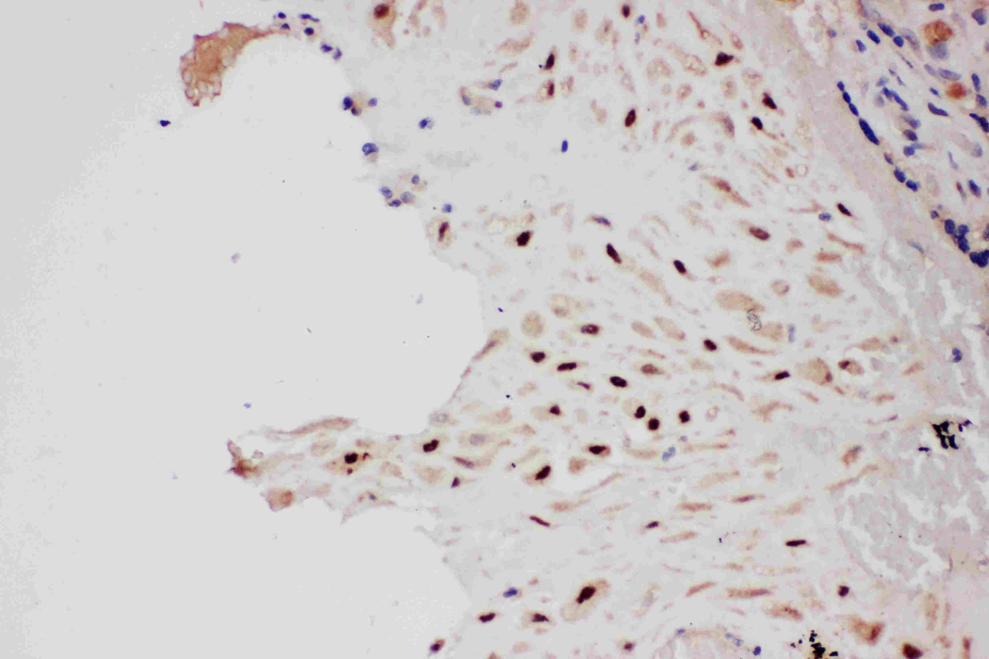
ARG41276 anti-PIAS1 antibody IHC-P image
Immunohistochemistry: Paraffin-embedded Rat brain tissue stained with ARG41276 anti-PIAS1 antibody.
-
ARG41276 anti-PIAS1 antibody IHC-P image
Immunohistochemistry: Paraffin-embedded Rat brain tissue stained with ARG41276 anti-PIAS1 antibody.
-
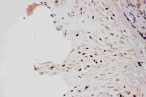
ARG41276 anti-PIAS1 antibody IHC-P image
Immunohistochemistry: Paraffin-embedded Human placenta tissue stained with ARG41276 anti-PIAS1 antibody.
