ARG40609
anti-PIK3CA / p110 alpha antibody
anti-PIK3CA / p110 alpha antibody for ICC/IF,IHC-Formalin-fixed paraffin-embedded sections,Western blot and Human,Mouse,Rat
Overview
| Product Description | Rabbit Polyclonal antibody recognizes PIK3CA / p110 alpha |
|---|---|
| Tested Reactivity | Hu, Ms, Rat |
| Tested Application | ICC/IF, IHC-P, WB |
| Host | Rabbit |
| Clonality | Polyclonal |
| Isotype | IgG |
| Target Name | PIK3CA / p110 alpha |
| Antigen Species | Human |
| Immunogen | Recombinant fusion protein corresponding to aa. 401-600 of Human PIK3CA (NP_006209.2). |
| Conjugation | Un-conjugated |
| Alternate Names | MCM; MCMTC; p110alpha; PI3-kinase subunit alpha; PI3K; CWS5; p110-alpha; PI3Kalpha; CLOVE; EC 2.7.1.153; MCAP; PtdIns-3-kinase subunit p110-alpha; EC 2.7.11.1; Phosphatidylinositol 4,5-bisphosphate 3-kinase catalytic subunit alpha isoform; Phosphatidylinositol 4,5-bisphosphate 3-kinase 110 kDa catalytic subunit alpha; PI3K-alpha; PtdIns-3-kinase subunit alpha; Phosphoinositide-3-kinase catalytic alpha polypeptide; Serine/threonine protein kinase PIK3CA |
Application Instructions
| Application Suggestion |
|
||||||||
|---|---|---|---|---|---|---|---|---|---|
| Application Note | * The dilutions indicate recommended starting dilutions and the optimal dilutions or concentrations should be determined by the scientist. | ||||||||
| Positive Control | HeLa | ||||||||
| Observed Size | 115-120 kDa |
Properties
| Form | Liquid |
|---|---|
| Purification | Affinity purified. |
| Buffer | PBS (pH 7.3), 0.02% Sodium azide and 50% Glycerol. |
| Preservative | 0.02% Sodium azide |
| Stabilizer | 50% Glycerol |
| Storage Instruction | For continuous use, store undiluted antibody at 2-8°C for up to a week. For long-term storage, aliquot and store at -20°C. Storage in frost free freezers is not recommended. Avoid repeated freeze/thaw cycles. Suggest spin the vial prior to opening. The antibody solution should be gently mixed before use. |
| Note | For laboratory research only, not for drug, diagnostic or other use. |
Bioinformation
| Database Links |
Swiss-port # P42336 Human Phosphatidylinositol 4,5-bisphosphate 3-kinase catalytic subunit alpha iso Swiss-port # P42337 Mouse Phosphatidylinositol 4,5-bisphosphate 3-kinase catalytic subunit alpha iso |
|---|---|
| Gene Symbol | PIK3CA |
| Gene Full Name | phosphatidylinositol-4,5-bisphosphate 3-kinase, catalytic subunit alpha |
| Background | Phosphatidylinositol 3-kinase is composed of an 85 kDa regulatory subunit and a 110 kDa catalytic subunit. The protein encoded by this gene represents the catalytic subunit, which uses ATP to phosphorylate PtdIns, PtdIns4P and PtdIns(4,5)P2. This gene has been found to be oncogenic and has been implicated in cervical cancers. [provided by RefSeq, Jul 2008] |
| Function | Phosphoinositide-3-kinase (PI3K) that phosphorylates PtdIns (Phosphatidylinositol), PtdIns4P (Phosphatidylinositol 4-phosphate) and PtdIns(4,5)P2 (Phosphatidylinositol 4,5-bisphosphate) to generate phosphatidylinositol 3,4,5-trisphosphate (PIP3). PIP3 plays a key role by recruiting PH domain-containing proteins to the membrane, including AKT1 and PDPK1, activating signaling cascades involved in cell growth, survival, proliferation, motility and morphology. Participates in cellular signaling in response to various growth factors. Involved in the activation of AKT1 upon stimulation by receptor tyrosine kinases ligands such as EGF, insulin, IGF1, VEGFA and PDGF. Involved in signaling via insulin-receptor substrate (IRS) proteins. Essential in endothelial cell migration during vascular development through VEGFA signaling, possibly by regulating RhoA activity. Required for lymphatic vasculature development, possibly by binding to RAS and by activation by EGF and FGF2, but not by PDGF. Regulates invadopodia formation in breast cancer cells through the PDPK1-AKT1 pathway. Participates in cardiomyogenesis in embryonic stem cells through a AKT1 pathway. Participates in vasculogenesis in embryonic stem cells through PDK1 and protein kinase C pathway. Has also serine-protein kinase activity: phosphorylates PIK3R1 (p85alpha regulatory subunit), EIF4EBP1 and HRAS. [UniProt] |
| Calculated MW | 124 kDa |
Images (2) Click the Picture to Zoom In
-
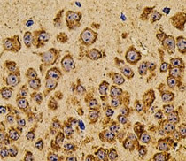
ARG40609 anti-PIK3CA / p110 alpha antibody IHC-P image
Immunohistochemistry: Paraffin-embedded Mouse brain stained with ARG40609 anti-PIK3CA / p110 alpha antibody at 1:100 dilution.
-
ARG40609 anti-PIK3CA / p110 alpha antibody WB image
Western blot: 25 µg of HeLa cell lysate stained with ARG40609 anti-PIK3CA / p110 alpha antibody at 1:500 dilution.
