ARG59884
anti-PIK3CB / p110 beta antibody
anti-PIK3CB / p110 beta antibody for IHC-Formalin-fixed paraffin-embedded sections,Western blot and Human,Mouse,Rat
Overview
| Product Description | Rabbit Polyclonal antibody recognizes PIK3CB / p110 beta |
|---|---|
| Tested Reactivity | Hu, Ms, Rat |
| Tested Application | IHC-P, WB |
| Host | Rabbit |
| Clonality | Polyclonal |
| Isotype | IgG |
| Target Name | PIK3CB / p110 beta |
| Antigen Species | Human |
| Immunogen | Synthetic peptide corresponding to aa. 556-598 of Human PIK3CB. (DLIWTLRQDCREIFPQSLPKLLLSIKWNKLEDVAQLQALLQIW) |
| Conjugation | Un-conjugated |
| Alternate Names | PI3KBETA; PtdIns-3-kinase subunit p110-beta; PI3K-beta; PI3-kinase subunit beta; P110BETA; PI3K; Phosphatidylinositol 4,5-bisphosphate 3-kinase catalytic subunit beta isoform; EC 2.7.1.153; p110beta; PtdIns-3-kinase subunit beta; Phosphatidylinositol 4,5-bisphosphate 3-kinase 110 kDa catalytic subunit beta; PIK3C1; PI3Kbeta |
Application Instructions
| Application Suggestion |
|
||||||
|---|---|---|---|---|---|---|---|
| Application Note | IHC-P: Antigen Retrieval: Heat mediation was performed in Citrate buffer (pH 6.0) for 20 min. * The dilutions indicate recommended starting dilutions and the optimal dilutions or concentrations should be determined by the scientist. |
Properties
| Form | Liquid |
|---|---|
| Purification | Affinity purification with immunogen. |
| Buffer | 0.2% Na2HPO4, 0.9% NaCl, 0.05% Sodium azide and 5% BSA. |
| Preservative | 0.05% Sodium azide |
| Stabilizer | 5% BSA |
| Concentration | 0.5 mg/ml |
| Storage Instruction | For continuous use, store undiluted antibody at 2-8°C for up to a week. For long-term storage, aliquot and store at -20°C or below. Storage in frost free freezers is not recommended. Avoid repeated freeze/thaw cycles. Suggest spin the vial prior to opening. The antibody solution should be gently mixed before use. |
| Note | For laboratory research only, not for drug, diagnostic or other use. |
Bioinformation
| Database Links | |
|---|---|
| Gene Symbol | PIK3CB |
| Gene Full Name | phosphatidylinositol-4,5-bisphosphate 3-kinase, catalytic subunit beta |
| Background | This gene encodes an isoform of the catalytic subunit of phosphoinositide 3-kinase (PI3K). These kinases are important in signaling pathways involving receptors on the outer membrane of eukaryotic cells and are named for their catalytic subunit. The encoded protein is the catalytic subunit for PI3Kbeta (PI3KB). PI3KB has been shown to be part of the activation pathway in neutrophils which have bound immune complexes at sites of injury or infection. Alternative splicing results in multiple transcript variants. [provided by RefSeq, Dec 2011] |
| Function | Phosphoinositide-3-kinase (PI3K) that phosphorylates PtdIns (Phosphatidylinositol), PtdIns4P (Phosphatidylinositol 4-phosphate) and PtdIns(4,5)P2 (Phosphatidylinositol 4,5-bisphosphate) to generate phosphatidylinositol 3,4,5-trisphosphate (PIP3). PIP3 plays a key role by recruiting PH domain-containing proteins to the membrane, including AKT1 and PDPK1, activating signaling cascades involved in cell growth, survival, proliferation, motility and morphology. Involved in the activation of AKT1 upon stimulation by G-protein coupled receptors (GPCRs) ligands such as CXCL12, sphingosine 1-phosphate, and lysophosphatidic acid. May also act downstream receptor tyrosine kinases. Required in different signaling pathways for stable platelet adhesion and aggregation. Plays a role in platelet activation signaling triggered by GPCRs, alpha-IIb/beta-3 integrins (ITGA2B/ ITGB3) and ITAM (immunoreceptor tyrosine-based activation motif)-bearing receptors such as GP6. Regulates the strength of adhesion of ITGA2B/ ITGB3 activated receptors necessary for the cellular transmission of contractile forces. Required for platelet aggregation induced by F2 (thrombin) and thromboxane A2 (TXA2). Has a role in cell survival. May have a role in cell migration. Involved in the early stage of autophagosome formation. Modulates the intracellular level of PtdIns3P (Phosphatidylinositol 3-phosphate) and activates PIK3C3 kinase activity. May act as a scaffold, independently of its lipid kinase activity to positively regulate autophagy. May have a role in insulin signaling as scaffolding protein in which the lipid kinase activity is not required. May have a kinase-independent function in regulating cell proliferation and in clathrin-mediated endocytosis. Mediator of oncogenic signal in cell lines lacking PTEN. The lipid kinase activity is necessary for its role in oncogenic transformation. Required for the growth of ERBB2 and RAS driven tumors. [UniProt] |
| Cellular Localization | Cytoplasm. Nucleus. Note=Interaction with PIK3R2 is required for nuclear localization and export. [UniProt] |
| Calculated MW | 123 kDa |
| PTM | Phosphorylation at Ser-1070 down-regulates lipid kinase activity. [UniProt] |
Images (3) Click the Picture to Zoom In
-
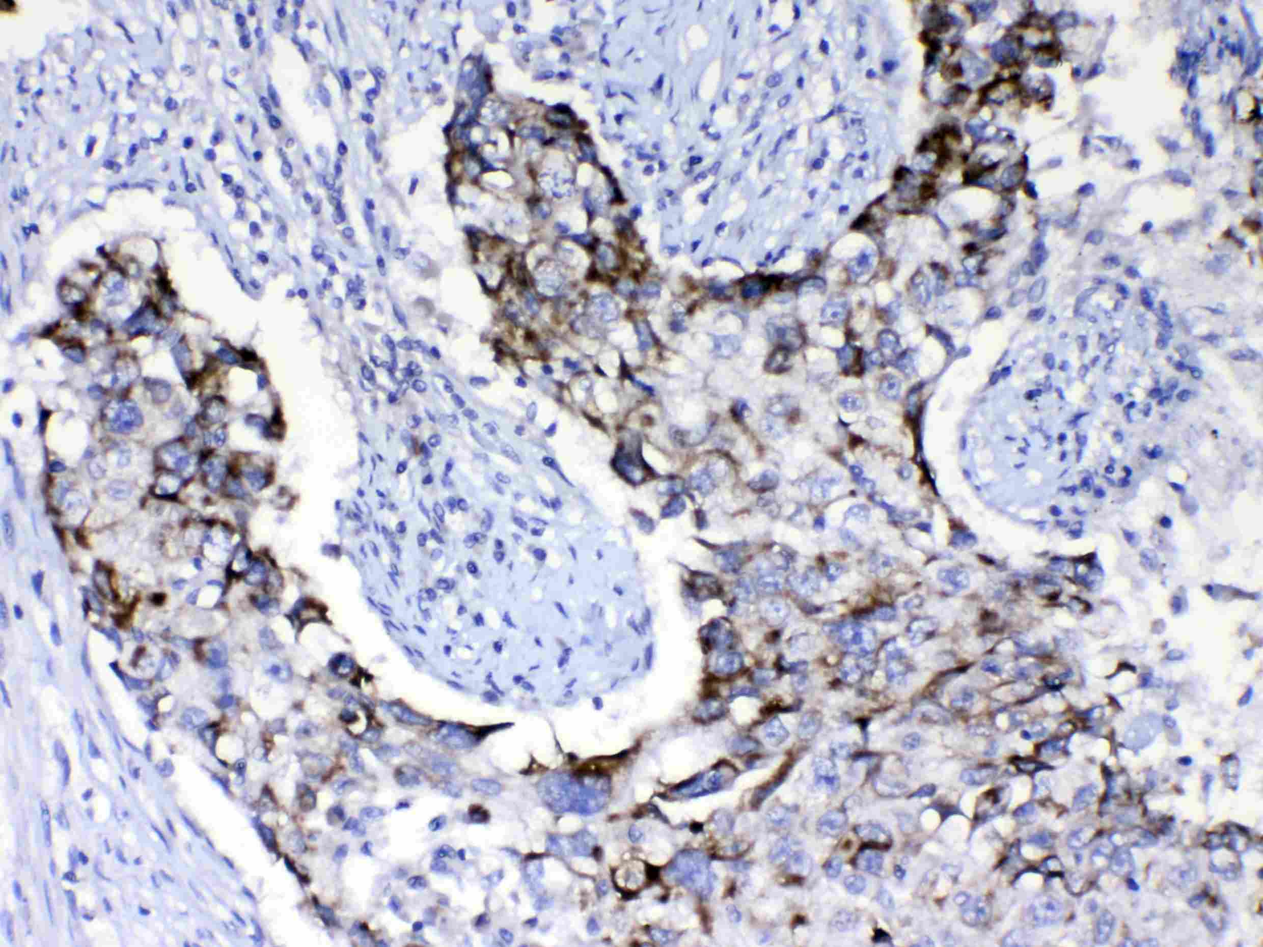
ARG59884 anti-PIK3CB / p110 beta antibody IHC-P image
Immunohistochemistry: Paraffin-embedded Human lung cancer tissue. Antigen Retrieval: Heat mediation was performed in Citrate buffer (pH 6.0, epitope retrieval solution) for 20 min. The tissue section was blocked with 10% goat serum. The tissue section was then stained with ARG59884 anti-PIK3CB / p110 beta antibody at 1 μg/ml, overnight at 4°C.
-
ARG59884 anti-PIK3CB / p110 beta antibody WB image
Western blot: 50 µg of samples under reducing conditions. Rat liver, Rat kidney, Mouse spleen, Mouse thymus, MCF7 and K562 whole cell lysates stained with ARG59884 anti-PIK3CB / p110 beta antibody at 0.5 µg/ml, overnight at 4°C.
-
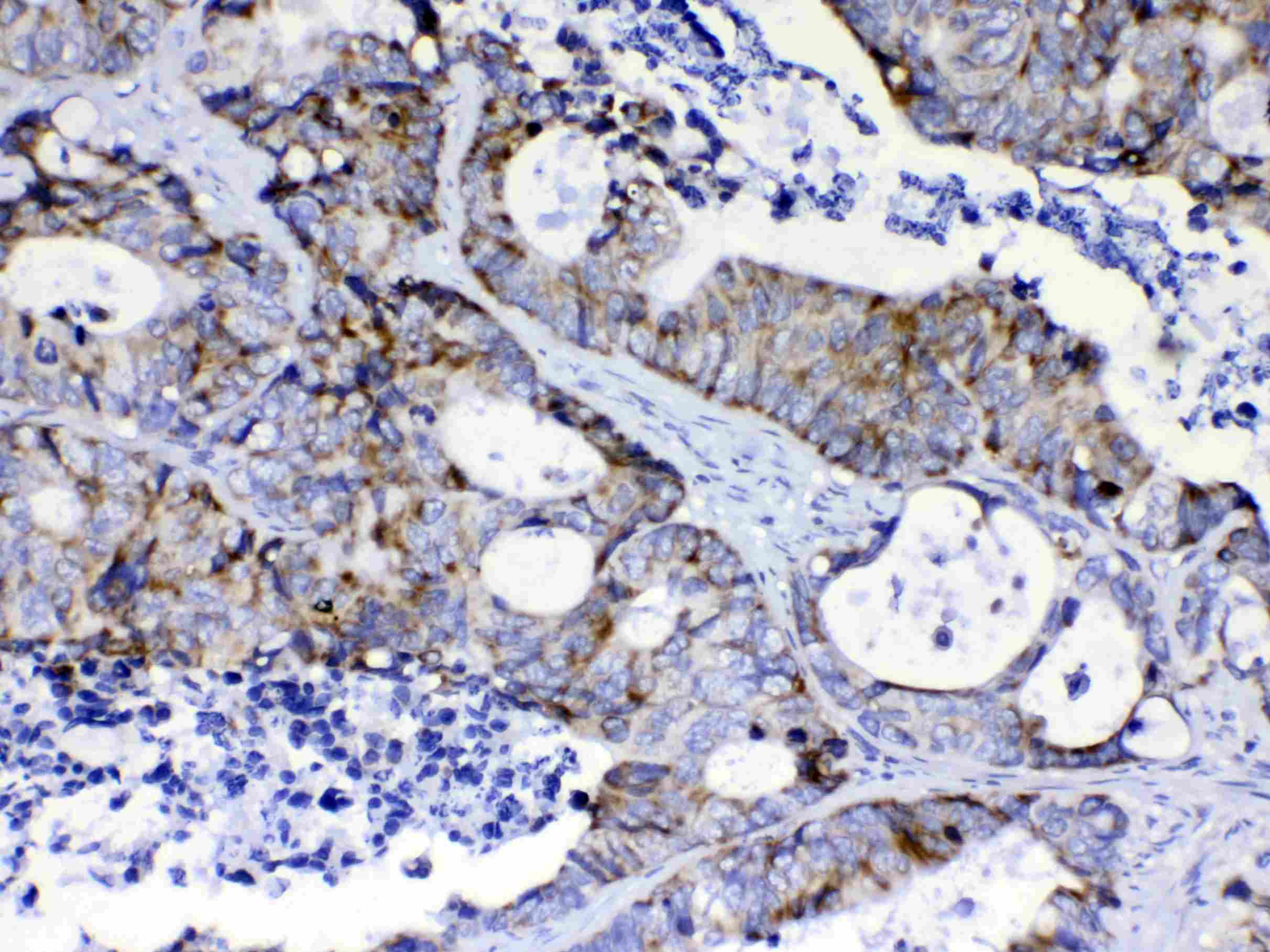
ARG59884 anti-PIK3CB / p110 beta antibody IHC-P image
Immunohistochemistry: Paraffin-embedded Human intestinal cancer tissue. Antigen Retrieval: Heat mediation was performed in Citrate buffer (pH 6.0, epitope retrieval solution) for 20 min.The tissue section was blocked with 10% goat serum. The tissue section was then stained with ARG59884 anti-PIK3CB / p110 beta antibody at 1 μg/ml, overnight at 4°C.
