ARG66641
anti-PIK3CD / p110 delta antibody
anti-PIK3CD / p110 delta antibody for IHC-Formalin-fixed paraffin-embedded sections,Western blot and Human,Mouse
Overview
| Product Description | Rabbit Polyclonal antibody recognizes PIK3CD / p110 delta |
|---|---|
| Tested Reactivity | Hu, Ms |
| Tested Application | IHC-P, WB |
| Host | Rabbit |
| Clonality | Polyclonal |
| Isotype | IgG |
| Target Name | PIK3CD / p110 delta |
| Antigen Species | Human |
| Immunogen | Synthetic peptide around the N-terminal region of Human PIK3CD / p110 delta. |
| Conjugation | Un-conjugated |
| Alternate Names | APDS; Phosphatidylinositol 4,5-bisphosphate 3-kinase 110 kDa catalytic subunit delta; PI3K-delta; PI3K; EC 2.7.1.153; Phosphatidylinositol 4,5-bisphosphate 3-kinase catalytic subunit delta isoform; p110D; PI3-kinase subunit delta; P110DELTA; PI3Kdelta; IMD14; PtdIns-3-kinase subunit delta; PtdIns-3-kinase subunit p110-delta; p110delta |
Application Instructions
| Application Suggestion |
|
||||||
|---|---|---|---|---|---|---|---|
| Application Note | * The dilutions indicate recommended starting dilutions and the optimal dilutions or concentrations should be determined by the scientist. | ||||||
| Observed Size | ~ 110 kDa |
Properties
| Form | Liquid |
|---|---|
| Purification | Affinity purification with immunogen. |
| Buffer | PBS, 0.02% Sodium azide, 50% Glycerol and 0.5% BSA. |
| Preservative | 0.02% Sodium azide |
| Stabilizer | 50% Glycerol and 0.5% BSA |
| Concentration | 1 mg/ml |
| Storage Instruction | For continuous use, store undiluted antibody at 2-8°C for up to a week. For long-term storage, aliquot and store at -20°C. Storage in frost free freezers is not recommended. Avoid repeated freeze/thaw cycles. Suggest spin the vial prior to opening. The antibody solution should be gently mixed before use. |
| Note | For laboratory research only, not for drug, diagnostic or other use. |
Bioinformation
| Database Links |
Swiss-port # O00329 Human Phosphatidylinositol 4,5-bisphosphate 3-kinase catalytic subunit delta iso Swiss-port # O35904 Mouse Phosphatidylinositol 4,5-bisphosphate 3-kinase catalytic subunit delta iso |
|---|---|
| Gene Symbol | PIK3CD |
| Gene Full Name | phosphatidylinositol-4,5-bisphosphate 3-kinase, catalytic subunit delta |
| Background | Phosphoinositide 3-kinases (PI3Ks) phosphorylate inositol lipids and are involved in the immune response. The protein encoded by this gene is a class I PI3K found primarily in leukocytes. Like other class I PI3Ks (p110-alpha p110-beta, and p110-gamma), the encoded protein binds p85 adapter proteins and GTP-bound RAS. However, unlike the other class I PI3Ks, this protein phosphorylates itself, not p85 protein.[provided by RefSeq, Jul 2010] |
| Function | Phosphoinositide-3-kinase (PI3K) that phosphorylates PftdIns(4,5)P2 (Phosphatidylinositol 4,5-bisphosphate) to generate phosphatidylinositol 3,4,5-trisphosphate (PIP3). PIP3 plays a key role by recruiting PH domain-containing proteins to the membrane, including AKT1 and PDPK1, activating signaling cascades involved in cell growth, survival, proliferation, motility and morphology. Mediates immune responses. Plays a role in B-cell development, proliferation, migration, and function. Required for B-cell receptor (BCR) signaling. Mediates B-cell proliferation response to anti-IgM, anti-CD40 and IL4 stimulation. Promotes cytokine production in response to TLR4 and TLR9. Required for antibody class switch mediated by TLR9. Involved in the antigen presentation function of B-cells. Involved in B-cell chemotaxis in response to CXCL13 and sphingosine 1-phosphate (S1P). Required for proliferation, signaling and cytokine production of naive, effector and memory T-cells. Required for T-cell receptor (TCR) signaling. Mediates TCR signaling events at the immune synapse. Activation by TCR leads to antigen-dependent memory T-cell migration and retention to antigenic tissues. Together with PIK3CG participates in T-cell development. Contributes to T-helper cell expansion and differentiation. Required for T-cell migration mediated by homing receptors SELL/CD62L, CCR7 and S1PR1 and antigen dependent recruitment of T-cells. Together with PIK3CG is involved in natural killer (NK) cell development and migration towards the sites of inflammation. Participates in NK cell receptor activation. Have a role in NK cell maturation and cytokine production. Together with PIK3CG is involved in neutrophil chemotaxis and extravasation. Together with PIK3CG participates in neutrophil respiratory burst. Have important roles in mast-cell development and mast cell mediated allergic response. Involved in stem cell factor (SCF)-mediated proliferation, adhesion and migration. Required for allergen-IgE-induced degranulation and cytokine release. The lipid kinase activity is required for its biological function. Isoform 2 may be involved in stabilizing total RAS levels, resulting in increased ERK phosphorylation and increased PI3K activity. [UniProt] |
| Cellular Localization | Cytoplasm. [UniProt] |
| Calculated MW | 119 kDa |
| PTM | Autophosphorylation on Ser-1039 results in the almost complete inactivation of the lipid kinase activity. [UniProt] |
Images (2) Click the Picture to Zoom In
-
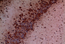
ARG66641 anti-PIK3CD / p110 delta antibody IHC-P image
Immunohistochemistry: Paraffin-embedded Mouse brain tissue stained with ARG66641 anti-PIK3CD / p110 delta antibody at 1:100 dilution.
-
ARG66641 anti-PIK3CD / p110 delta antibody WB image
Western blot: HepG2 cell lysate stained with ARG66641 anti-PIK3CD / p110 delta antibody.
