ARG67111
anti-PIK3R5 antibody
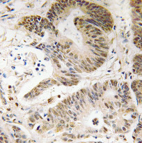
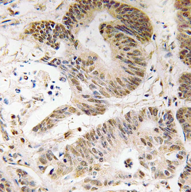
anti-PIK3R5 antibody for ICC/IF,IHC-Formalin-fixed paraffin-embedded sections,Western blot and Human,Mouse
Overview
| Product Description | Rabbit Polyclonal antibody recognizes PIK3R5 |
|---|---|
| Tested Reactivity | Hu, Ms |
| Tested Application | ICC/IF, IHC-P, WB |
| Host | Rabbit |
| Clonality | Polyclonal |
| Isotype | IgG |
| Target Name | PIK3R5 |
| Antigen Species | Human |
| Immunogen | Human PIK3R5 Synthesized peptide |
| Conjugation | Un-conjugated |
| Alternate Names | PIK3R5; Phosphoinositide-3-Kinase Regulatory Subunit 5; P101-PI3K; P101; Phosphatidylinositol 4,5-Bisphosphate 3-Kinase Regulatory Subunit; Phosphoinositide 3-Kinase Regulatory Subunit 5; PI3-Kinase P101 Subunit; PtdIns-3-Kinase P101; Protein FOAP-2; Phosphoinositide-3-Kinase, Regulatory Subunit 5; PtdIns-3-Kinase Regulatory Subunit; PI3-Kinase Regulatory Subunit 5; F730038I15Rik; FOAP-2 |
Application Instructions
| Application Suggestion |
|
||||||||
|---|---|---|---|---|---|---|---|---|---|
| Application Note | * The dilutions indicate recommended starting dilutions and the optimal dilutions or concentrations should be determined by the scientist. |
Properties
| Form | Liquid |
|---|---|
| Purification | Affinity purification with immunogen. |
| Buffer | PBS (pH 7.4), 0.02% Sodium azide, 50% Glycerol and 0.5% BSA. |
| Preservative | 0.02% Sodium azide |
| Stabilizer | 50% Glycerol and 0.5% BSA |
| Storage Instruction | For continuous use, store undiluted antibody at 2-8°C for up to a week. For long-term storage, aliquot and store at -20°C. Storage in frost free freezers is not recommended. Avoid repeated freeze/thaw cycles. Suggest spin the vial prior to opening. The antibody solution should be gently mixed before use. |
Bioinformation
| Database Links |
Swiss-port # Q5SW28 Mouse Phosphoinositide 3-kinase regulatory subunit 5 Swiss-port # Q8WYR1 Human Phosphoinositide 3-kinase regulatory subunit 5 |
|---|---|
| Gene Symbol | PIK3R5 |
| Gene Full Name | Phosphoinositide-3-Kinase Regulatory Subunit 5 |
| Background | Phosphatidylinositol 3-kinases (PI3Ks) phosphorylate the inositol ring of phosphatidylinositol at the 3-prime position, and play important roles in cell growth, proliferation, differentiation, motility, survival and intracellular trafficking. The PI3Ks are divided into three classes: I, II and III, and only the class I PI3Ks are involved in oncogenesis. This gene encodes the 101 kD regulatory subunit of the class I PI3K gamma complex, which is a dimeric enzyme, consisting of a 110 kD catalytic subunit gamma and a regulatory subunit of either 55, 87 or 101 kD. This protein recruits the catalytic subunit from the cytosol to the plasma membrane through high-affinity interaction with G-beta-gamma proteins. Multiple alternatively spliced transcript variants encoding two distinct isoforms have been found. |
| Function | Regulatory subunit of the PI3K gamma complex. Required for recruitment of the catalytic subunit to the plasma membrane via interaction with beta-gamma G protein dimers. Required for G protein-mediated activation of PIK3CG. |
| Cellular Localization | Cell membrane, Cytoplasm, Membrane, Nucleus |
| Calculated MW | 97 kDa |
| PTM | Acetylation, Phosphoprotein |
Images (1) Click the Picture to Zoom In
