ARG55715
anti-PIP4K2A antibody
anti-PIP4K2A antibody for Flow cytometry,ICC/IF,IHC-Formalin-fixed paraffin-embedded sections,Western blot and Human
Overview
| Product Description | Rabbit Polyclonal antibody recognizes PIP4K2A |
|---|---|
| Tested Reactivity | Hu |
| Tested Application | FACS, ICC/IF, IHC-P, WB |
| Host | Rabbit |
| Clonality | Polyclonal |
| Isotype | IgG |
| Target Name | PIP4K2A |
| Antigen Species | Human |
| Immunogen | KLH-conjugated synthetic peptide corresponding to aa. 329-363 (C-terminus) of Human PIP4K2A. |
| Conjugation | Un-conjugated |
| Alternate Names | PtdIns; Phosphatidylinositol 5-phosphate 4-kinase type II alpha; 4; PIP4KII-alpha; Diphosphoinositide kinase 2-alpha; EC 2.7.1.149; 1-phosphatidylinositol 5-phosphate 4-kinase 2-alpha; PIP5K2A; 5; PIPK; PIP5KIII; PI5P4KA; Phosphatidylinositol 5-phosphate 4-kinase type-2 alpha; PI; PIP5KIIA; PIP5KII-alpha |
Application Instructions
| Application Suggestion |
|
||||||||||
|---|---|---|---|---|---|---|---|---|---|---|---|
| Application Note | * The dilutions indicate recommended starting dilutions and the optimal dilutions or concentrations should be determined by the scientist. | ||||||||||
| Positive Control | Human brain |
Properties
| Form | Liquid |
|---|---|
| Purification | Purification with Protein A and immunogen peptide. |
| Buffer | PBS and 0.09% (W/V) sodium azide. |
| Preservative | 0.09% (W/V) sodium azide. |
| Storage Instruction | For continuous use, store undiluted antibody at 2-8°C for up to a week. For long-term storage, aliquot and store at -20°C or below. Storage in frost free freezers is not recommended. Avoid repeated freeze/thaw cycles. Suggest spin the vial prior to opening. The antibody solution should be gently mixed before use. |
| Note | For laboratory research only, not for drug, diagnostic or other use. |
Bioinformation
| Database Links |
Swiss-port # P48426 Human Phosphatidylinositol 5-phosphate 4-kinase type-2 alpha |
|---|---|
| Gene Symbol | PIP4K2A |
| Gene Full Name | phosphatidylinositol-5-phosphate 4-kinase, type II, alpha |
| Background | Phosphatidylinositol-5,4-bisphosphate, the precursor to second messengers of the phosphoinositide signal transduction pathways, is thought to be involved in the regulation of secretion, cell proliferation, differentiation, and motility. The protein encoded by this gene is one of a family of enzymes capable of catalyzing the phosphorylation of phosphatidylinositol-5-phosphate on the fourth hydroxyl of the myo-inositol ring to form phosphatidylinositol-5,4-bisphosphate. The amino acid sequence of this enzyme does not show homology to other kinases, but the recombinant protein does exhibit kinase activity. This gene is a member of the phosphatidylinositol-5-phosphate 4-kinase family. [provided by RefSeq, Jul 2008] |
| Function | Catalyzes the phosphorylation of phosphatidylinositol 5-phosphate (PtdIns5P) on the fourth hydroxyl of the myo-inositol ring, to form phosphatidylinositol 4,5-bisphosphate (PtdIns(4,5)P2). May exert its function by regulating the levels of PtdIns5P, which functions in the cytosol by increasing AKT activity and in the nucleus signals through ING2. May regulate the pool of cytosolic PtdIns5P in response to the activation of tyrosine phosphorylation. May negatively regulate insulin-stimulated glucose uptake by lowering the levels of PtdIns5P. May be involved in thrombopoiesis, and the terminal maturation of megakaryocytes and regulation of their size. [UniProt] |
| Cellular Localization | Cell membrane. Nucleus. Cytoplasm. Note=May translocate from the cytosol to the cell membrane upon activation of tyrosine phosphorylation. May translocate from the inner to the outer segments of the rod photoreceptor cells in response to light (By similarity). Localization to the nucleus is modulated by the interaction with PIP4K2B. |
| Calculated MW | 46 kDa |
Images (3) Click the Picture to Zoom In
-
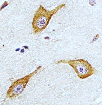
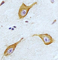
ARG55715 anti-PIP4K2A antibody IHC-P image
Immunohistochemistry: Paraffin-embedded Human brain tissue stained with ARG55715 anti-PIP4K2A antibody at 1:25 dilution.
-
ARG55715 anti-PIP4K2A antibody WB image
Western blot: 20 µg of Human brain lysate stained with ARG55715 anti-PIP4K2A antibody at 1:1000 dilution.
-
ARG55715 anti-PIP4K2A antibody FACS image
Flow Cytometry: HeLa cells stained with ARG55715 anti-PIP4K2A antibody (right histogram) at 1:25 dilution or isotype control antibody (left histogram), followed by incubation with Alexa Fluor® 488 labelled secondary antibody.
