ARG54878
anti-PIP5K2A antibody
anti-PIP5K2A antibody for IHC-Formalin-fixed paraffin-embedded sections,Western blot and Human
Signaling Transduction antibody
Overview
| Product Description | Rabbit Polyclonal antibody recognizes PIP5K2A |
|---|---|
| Tested Reactivity | Hu |
| Predict Reactivity | Ms, Rat, Pig |
| Tested Application | IHC-P, WB |
| Host | Rabbit |
| Clonality | Polyclonal |
| Isotype | IgG |
| Target Name | PIP5K2A |
| Antigen Species | Human |
| Immunogen | KLH-conjugated synthetic peptide corresponding to aa. 303-335 (C-terminus) of Human PIP5K2A. |
| Conjugation | Un-conjugated |
| Alternate Names | PtdIns; Phosphatidylinositol 5-phosphate 4-kinase type II alpha; 4; PIP4KII-alpha; Diphosphoinositide kinase 2-alpha; EC 2.7.1.149; 1-phosphatidylinositol 5-phosphate 4-kinase 2-alpha; PIP5K2A; 5; PIPK; PIP5KIII; PI5P4KA; Phosphatidylinositol 5-phosphate 4-kinase type-2 alpha; PI; PIP5KIIA; PIP5KII-alpha |
Application Instructions
| Application Suggestion |
|
||||||
|---|---|---|---|---|---|---|---|
| Application Note | * The dilutions indicate recommended starting dilutions and the optimal dilutions or concentrations should be determined by the scientist. | ||||||
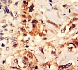
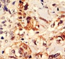
| Positive Control | HL60 |
Properties
| Form | Liquid |
|---|---|
| Purification | Purification with Protein G. |
| Buffer | PBS and 0.09% (W/V) Sodium azide |
| Preservative | 0.09% (W/V) Sodium azide |
| Storage Instruction | For continuous use, store undiluted antibody at 2-8°C for up to a week. For long-term storage, aliquot and store at -20°C or below. Storage in frost free freezers is not recommended. Avoid repeated freeze/thaw cycles. Suggest spin the vial prior to opening. The antibody solution should be gently mixed before use. |
| Note | For laboratory research only, not for drug, diagnostic or other use. |
Bioinformation
| Database Links |
Swiss-port # P48426 Human Phosphatidylinositol 5-phosphate 4-kinase type-2 alpha |
|---|---|
| Gene Symbol | PIP4K2A |
| Gene Full Name | phosphatidylinositol-5-phosphate 4-kinase, type II, alpha |
| Background | Phosphatidylinositol-5,4-bisphosphate, the precursor to second messengers of the phosphoinositide signal transduction pathways, is thought to be involved in the regulation of secretion, cell proliferation, differentiation, and motility. The protein encoded by this gene is one of a family of enzymes capable of catalyzing the phosphorylation of phosphatidylinositol-5-phosphate on the fourth hydroxyl of the myo-inositol ring to form phosphatidylinositol-5,4-bisphosphate. The amino acid sequence of this enzyme does not show homology to other kinases, but the recombinant protein does exhibit kinase activity. This gene is a member of the phosphatidylinositol-5-phosphate 4-kinase family. [provided by RefSeq, Jul 2008] |
| Function | Catalyzes the phosphorylation of phosphatidylinositol 5-phosphate (PtdIns5P) on the fourth hydroxyl of the myo-inositol ring, to form phosphatidylinositol 4,5-bisphosphate (PtdIns(4,5)P2). May exert its function by regulating the levels of PtdIns5P, which functions in the cytosol by increasing AKT activity and in the nucleus signals through ING2. May regulate the pool of cytosolic PtdIns5P in response to the activation of tyrosine phosphorylation. May negatively regulate insulin-stimulated glucose uptake by lowering the levels of PtdIns5P. May be involved in thrombopoiesis, and the terminal maturation of megakaryocytes and regulation of their size. [UniProt] |
| Cellular Localization | Cell membrane. Nucleus. Cytoplasm. Note=May translocate from the cytosol to the cell membrane upon activation of tyrosine phosphorylation. May translocate from the inner to the outer segments of the rod photoreceptor cells in response to light (By similarity). Localization to the nucleus is modulated by the interaction with PIP4K2B. |
| Research Area | Signaling Transduction antibody |
| Calculated MW | 46 kDa |
Images (2) Click the Picture to Zoom In
