ARG43323
anti-PKM1 antibody
anti-PKM1 antibody for ICC/IF,IHC-Formalin-fixed paraffin-embedded sections,Western blot and Human,Mouse,Rat
Overview
| Product Description | Rabbit Polyclonal antibody recognizes PKM1 |
|---|---|
| Tested Reactivity | Hu, Ms, Rat |
| Tested Application | ICC/IF, IHC-P, WB |
| Host | Rabbit |
| Clonality | Polyclonal |
| Isotype | IgG |
| Target Name | PKM1 |
| Antigen Species | Human |
| Immunogen | Recombinant protein of Human PKM1. |
| Conjugation | Un-conjugated |
| Alternate Names | PK3; PKM2; OIP3; Pyruvate kinase muscle isozyme; CTHBP; HEL-S-30; THBP1; OIP-3; Pyruvate kinase 2/3; Tumor M2-PK; Cytosolic thyroid hormone-binding protein; EC 2.7.1.40; Opa-interacting protein 3; p58; TCB; Pyruvate kinase PKM; Thyroid hormone-binding protein 1 |
Application Instructions
| Application Suggestion |
|
||||||||
|---|---|---|---|---|---|---|---|---|---|
| Application Note | * The dilutions indicate recommended starting dilutions and the optimal dilutions or concentrations should be determined by the scientist. | ||||||||
| Positive Control | Mouse heart | ||||||||
| Observed Size | ~ 58 kDa |
Properties
| Form | Liquid |
|---|---|
| Purification | Affinity purified. |
| Buffer | PBS (pH 7.3), 0.02% Sodium azide and 50% Glycerol. |
| Preservative | 0.02% Sodium azide |
| Stabilizer | 50% Glycerol |
| Storage Instruction | For continuous use, store undiluted antibody at 2-8°C for up to a week. For long-term storage, aliquot and store at -20°C. Storage in frost free freezers is not recommended. Avoid repeated freeze/thaw cycles. Suggest spin the vial prior to opening. The antibody solution should be gently mixed before use. |
| Note | For laboratory research only, not for drug, diagnostic or other use. |
Bioinformation
| Database Links | |
|---|---|
| Gene Symbol | PKM |
| Gene Full Name | pyruvate kinase, muscle |
| Background | This gene encodes a protein involved in glycolysis. The encoded protein is a pyruvate kinase that catalyzes the transfer of a phosphoryl group from phosphoenolpyruvate to ADP, generating ATP and pyruvate. This protein has been shown to interact with thyroid hormone and may mediate cellular metabolic effects induced by thyroid hormones. This protein has been found to bind Opa protein, a bacterial outer membrane protein involved in gonococcal adherence to and invasion of human cells, suggesting a role of this protein in bacterial pathogenesis. Several alternatively spliced transcript variants encoding a few distinct isoforms have been reported. [provided by RefSeq, May 2011] |
| Function | Glycolytic enzyme that catalyzes the transfer of a phosphoryl group from phosphoenolpyruvate (PEP) to ADP, generating ATP. Stimulates POU5F1-mediated transcriptional activation. Plays a general role in caspase independent cell death of tumor cells. The ratio between the highly active tetrameric form and nearly inactive dimeric form determines whether glucose carbons are channeled to biosynthetic processes or used for glycolytic ATP production. The transition between the 2 forms contributes to the control of glycolysis and is important for tumor cell proliferation and survival (PubMed:17308100, PubMed:18191611, PubMed:21620138). Promotes in a STAT1-dependent manner, the expression of the immune checkpoint protein CD274 in ARNTL/BMAL1-deficient macrophages (By similarity). [UniProt] |
| Cellular Localization | Cytoplasm. Nucleus. Note=Translocates to the nucleus in response to different apoptotic stimuli. Nuclear translocation is sufficient to induce cell death that is caspase independent, isoform-specific and independent of its enzymatic activity. [UniProt] |
| Calculated MW | 58 kDa |
| PTM | ISGylated. Under hypoxia, hydroxylated by EGLN3. Acetylation at Lys-305 is stimulated by high glucose concentration, it decreases enzyme activity and promotes its lysosomal-dependent degradation via chaperone-mediated autophagy. FGFR1-dependent tyrosine phosphorylation is reduced by interaction with TRIM35. [UniProt] |
Images (3) Click the Picture to Zoom In
-
ARG43323 anti-PKM1 antibody ICC/IF image
Immunofluorescence: HeLa cells stained with ARG43323 anti-PKM1 antibody at 1:100 dilution.
-
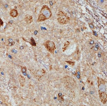
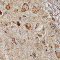
ARG43323 anti-PKM1 antibody IHC-P image
Immunohistochemistry: Paraffin-embedded Rat brain tissue stained with ARG43323 anti-PKM1 antibody at 1:100 dilution.
-
ARG43323 anti-PKM1 antibody WB image
Western blot: 25 µg of Mouse heart lysate stained with ARG43323 anti-PKM1 antibody at 1:1000 dilution.
