ARG45744
anti-PLD3 antibody
anti-PLD3 antibody for ICC/IF,IHC-Formalin-fixed paraffin-embedded sections,Western blot and Human,Mouse,Rat
Overview
| Product Description | Rabbit Polyclonal antibody recognizes PLD3 |
|---|---|
| Tested Reactivity | Hu, Ms, Rat |
| Tested Application | ICC/IF, IHC-P, WB |
| Host | Rabbit |
| Clonality | Polyclonal |
| Isotype | IgG |
| Target Name | PLD3 |
| Antigen Species | Human |
| Immunogen | Recombinant protein containing to human PLD3. |
| Conjugation | Un-conjugated |
| Alternate Names | PLD3; Phospholipase D Family Member 3; HU-K4; (S,S)-Bis(Monoacylglycero)Phosphate Synthase PLD3; 5'-3' Exonuclease PLD3; HindIII K4L Homolog; Phospholipase D3; Phosphatidylcholine-Hydrolyzing Phospholipase D3; Phospholipase D Family, Member 3; Choline Phosphatase 3; EC 3.1.16.1; EC 3.1.4.-; EC 3.1.4.4 47; EC 3.1.4 47; SCA46; Hu-K4; AD19; HUK4 |
Application Instructions
| Application Suggestion |
|
||||||||
|---|---|---|---|---|---|---|---|---|---|
| Application Note | * The dilutions indicate recommended starting dilutions and the optimal dilutions or concentrations should be determined by the scientist. |
Properties
| Form | Liquid |
|---|---|
| Purification | Affinity purified |
| Buffer | 0.2% Na2HPO4, 0.9% NaCl and 4% Trehalose. |
| Stabilizer | 4% Trehalose |
| Concentration | 0.5 mg/ml |
| Storage Instruction | For continuous use, store undiluted antibody at 2-8°C for up to a week. For long-term storage, aliquot and store at -20°C or below. Storage in frost free freezers is not recommended. Avoid repeated freeze/thaw cycles. Suggest spin the vial prior to opening. The antibody solution should be gently mixed before use. |
| Note | For laboratory research only, not for drug, diagnostic or other use. |
Bioinformation
| Database Links | |
|---|---|
| Gene Symbol | PLD3 |
| Gene Full Name | Phospholipase D Family Member 3 |
| Background | This gene encodes a member of the phospholipase D (PLD) family of enzymes that catalyze the hydrolysis of membrane phospholipids. The encoded protein is a single-pass type II membrane protein and contains two PLD phosphodiesterase domains. This protein influences processing of amyloid-beta precursor protein. Mutations in this gene are associated with Alzheimer disease risk. Alternatively spliced transcript variants encoding the same protein have been found for this gene. [provided by RefSeq, Apr 2014] |
| Function | 5'->3' exonuclease that hydrolyzes the phosphodiester bond of single-stranded DNA (ssDNA) and RNA molecules to form nucleoside 3'-monophosphates and 5'-end 5'-hydroxy deoxyribonucleotide/ribonucleotide fragments. [UniProt] |
| Cellular Localization | Endoplasmic reticulum; Endosome; Golgi apparatus; Lysosome; Membrane. [UniProt] |
| Calculated MW | 55 kDa |
| PTM | Disulfide bond; Glycoprotein; Ubl conjugation. [UniProt] |
Images (6) Click the Picture to Zoom In
-
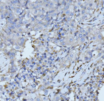
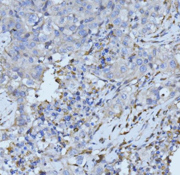
ARG45744 anti-PLD3 antibody IHC-P image
Immunohistochemistry: Human appendiceal adenocarcinoma stained with ARG45744 anti-PLD3 antibody at 2 μg/ml dilution.
-
ARG45744 anti-PLD3 antibody ICC/IF image
Immunofluorescence: A549 stained with ARG45744 anti-PLD3 antibody at 5 μg/ml dilution.
-
ARG45744 anti-PLD3 antibody IHC-P image
Immunohistochemistry: Mouse brain stained with ARG45744 anti-PLD3 antibody at 2 μg/ml dilution.
-
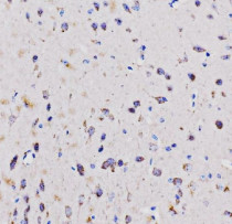
ARG45744 anti-PLD3 antibody IHC-P image
Immunohistochemistry: Rat brain stained with ARG45744 anti-PLD3 antibody at 2 μg/ml dilution.
-
ARG45744 anti-PLD3 antibody WB image
Western blot: Rat brain stained with ARG45744 anti-PLD3 antibody at 0.5 μg/ml dilution.
-
ARG45744 anti-PLD3 antibody WB image
Western blot: Mouse brain stained with ARG45744 anti-PLD3 antibody at 0.5 μg/ml dilution.
