ARG67115
anti-PLEKHG4 antibody
anti-PLEKHG4 antibody for IHC-Formalin-fixed paraffin-embedded sections,Western blot and Human,Monkey
Overview
| Product Description | Rabbit Polyclonal antibody recognizes PLEKHG4 |
|---|---|
| Tested Reactivity | Hu, Mk |
| Tested Application | IHC-P, WB |
| Host | Rabbit |
| Clonality | Polyclonal |
| Isotype | IgG |
| Target Name | PLEKHG4 |
| Antigen Species | Human |
| Immunogen | Human PLEKHG4 Synthesized peptide |
| Conjugation | Un-conjugated |
| Alternate Names | PLEKHG4; Pleckstrin Homology And RhoGEF Domain Containing G4; Puratrophin-1; ARHGEF44; Pleckstrin Homology Domain Containing, Family G (With RhoGef Domain) Member 4; PH Domain-Containing Family G Member 4; DKFZP434I216; PRTPHN1; SCA4; Pleckstrin Homology Domain-Containing Family G Member 4; Purkinje Cell Atrophy Associated Protein 1; Purkinje Cell Atrophy-Associated Protein 1; Spinocerebellar Ataxia 4 |
Application Instructions
| Application Suggestion |
|
||||||
|---|---|---|---|---|---|---|---|
| Application Note | * The dilutions indicate recommended starting dilutions and the optimal dilutions or concentrations should be determined by the scientist. |
Properties
| Form | Liquid |
|---|---|
| Purification | Affinity purification with immunogen. |
| Buffer | PBS (pH 7.4), 0.02% Sodium azide, 50% Glycerol and 0.5% BSA. |
| Preservative | 0.02% Sodium azide |
| Stabilizer | 50% Glycerol and 0.5% BSA |
| Storage Instruction | For continuous use, store undiluted antibody at 2-8°C for up to a week. For long-term storage, aliquot and store at -20°C. Storage in frost free freezers is not recommended. Avoid repeated freeze/thaw cycles. Suggest spin the vial prior to opening. The antibody solution should be gently mixed before use. |
| Note | For laboratory research only, not for drug, diagnostic or other use. |
Bioinformation
| Database Links | |
|---|---|
| Gene Symbol | PLEKHG4 |
| Gene Full Name | Pleckstrin Homology And RhoGEF Domain Containing G4 |
| Background | The protein encoded by this gene can function as a guanine nucleotide exchange factor (GEF) and may play a role in intracellular signaling and cytoskeleton dynamics at the Golgi apparatus. Polymorphisms in the region of this gene have been found to be associated with spinocerebellar ataxia in some study populations. Alternative splicing results in multiple transcript variants. |
| Calculated MW | 131 kDa |
| PTM | Phosphoprotein |
Images (4) Click the Picture to Zoom In
-
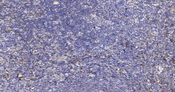
ARG67115 anti-PLEKHG4 antibody IHC-P image
Immunohistochemistry: Human tonsil stained with ARG67115 anti-PLEKHG4 antibody at 1:200 dilution.
-
ARG67115 anti-PLEKHG4 antibody WB image
Western blot: HUVEC stained with ARG67115 anti-PLEKHG4 antibody.
-
ARG67115 anti-PLEKHG4 antibody WB image
Western blot: K562 stained with ARG67115 anti-PLEKHG4 antibody.
-
ARG67115 anti-PLEKHG4 antibody WB image
Western blot: COS7 stained with ARG67115 anti-PLEKHG4 antibody.
