ARG56710
anti-PLGF1 antibody
anti-PLGF1 antibody for ELISA,IHC-Formalin-fixed paraffin-embedded sections,Western blot and Human
Overview
| Product Description | Rabbit Polyclonal antibody recognizes PLGF1 |
|---|---|
| Tested Reactivity | Hu |
| Tested Application | ELISA, IHC-P, WB |
| Host | Rabbit |
| Clonality | Polyclonal |
| Isotype | IgG |
| Target Name | PLGF1 |
| Antigen Species | Human |
| Immunogen | E.coli derived Recombinant Human PlGF-1. (MLPAVPPQQW ALSAGNGSSE VEVVPFQEVW GRSYCRALER LVDVVSEYPS EVEHMFSPSC VSLLRCTGCC GDENLHCVPV ETANVTMQLL KIRSGDRPSY VELTFSQHVR CECRPLREKM KPERCGDAVP RR) |
| Conjugation | Un-conjugated |
| Alternate Names | PGFL; PlGF; PlGF-2; SHGC-10760; Placenta growth factor; D12S1900; PLGF |
Application Instructions
| Application Suggestion |
|
||||||||
|---|---|---|---|---|---|---|---|---|---|
| Application Note | * The dilutions indicate recommended starting dilutions and the optimal dilutions or concentrations should be determined by the scientist. |
Properties
| Form | Liquid |
|---|---|
| Purification | Affinity purification with immunogen. |
| Buffer | PBS (pH 7.2) |
| Concentration | 1 mg/ml |
| Storage Instruction | For continuous use, store undiluted antibody at 2-8°C for up to a week. For long-term storage, aliquot and store at -20°C or below. Storage in frost free freezers is not recommended. Avoid repeated freeze/thaw cycles. Suggest spin the vial prior to opening. The antibody solution should be gently mixed before use. |
| Note | For laboratory research only, not for drug, diagnostic or other use. |
Bioinformation
| Database Links | |
|---|---|
| Gene Symbol | PGF |
| Gene Full Name | placental growth factor |
| Background | This gene encodes a growth factor found in placenta which is homologous to vascular endothelial growth factor. Alternatively spliced transcripts encoding different isoforms have been found for this gene.[provided by RefSeq, Jun 2011] |
| Function | Growth factor active in angiogenesis and endothelial cell growth, stimulating their proliferation and migration. It binds to the receptor FLT1/VEGFR-1. Isoform PlGF-2 binds NRP1/neuropilin-1 and NRP2/neuropilin-2 in a heparin-dependent manner. Also promotes cell tumor growth. [UniProt] |
| Highlight | Related products: PLGF1 antibodies; Anti-Rabbit IgG secondary antibodies; Related news: The role of HDGF in tumor angiogenesis |
| Calculated MW | 25 kDa |
| PTM | N-glycosylated. |
Images (5) Click the Picture to Zoom In
-
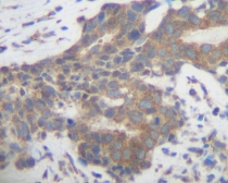
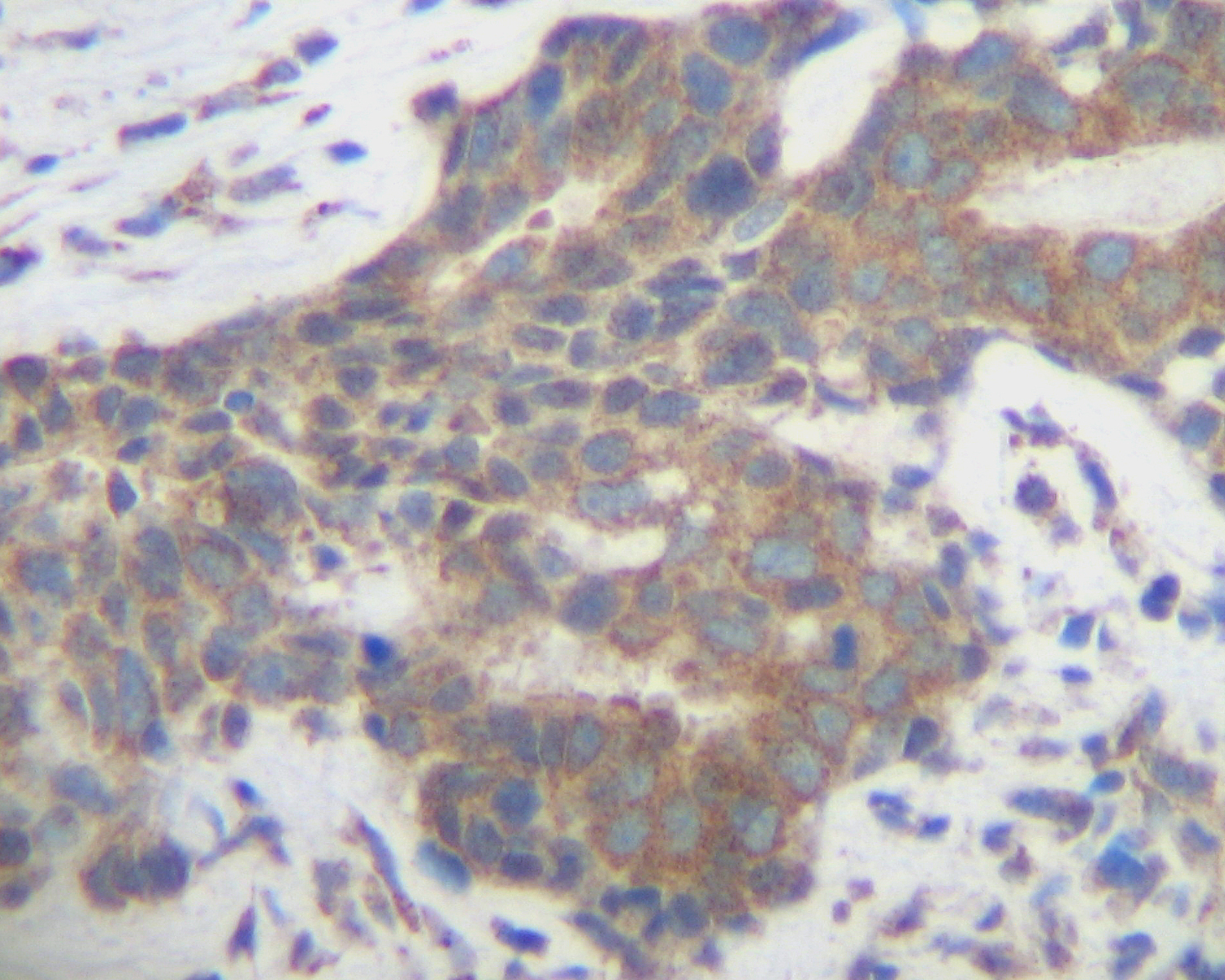
ARG56710 anti-PLGF1 antibody IHC-P image
Immunohistochemistry: Formalin-fixed and paraffin-embedded sections of Human breast invasive ductal carcinoma. The recommended ARG56710 anti-PLGF1 antibody concentration is 2.0 µg/ml with an overnight incubation at 4°C. An HRP-labeled polymer detection system was used with a DAB chromogen. Antigen Retrieval: Boil tissue section in Sodium Citrate buffer (pH 6.0) followed by cooling at RT for 20 min.
-
ARG56710 anti-PLGF1 antibody WB image
Western blot: 250 - 0.24 ng of Human PlGF stained with ARG56710 anti-PLGF1 antibody, under reducing conditions.
-
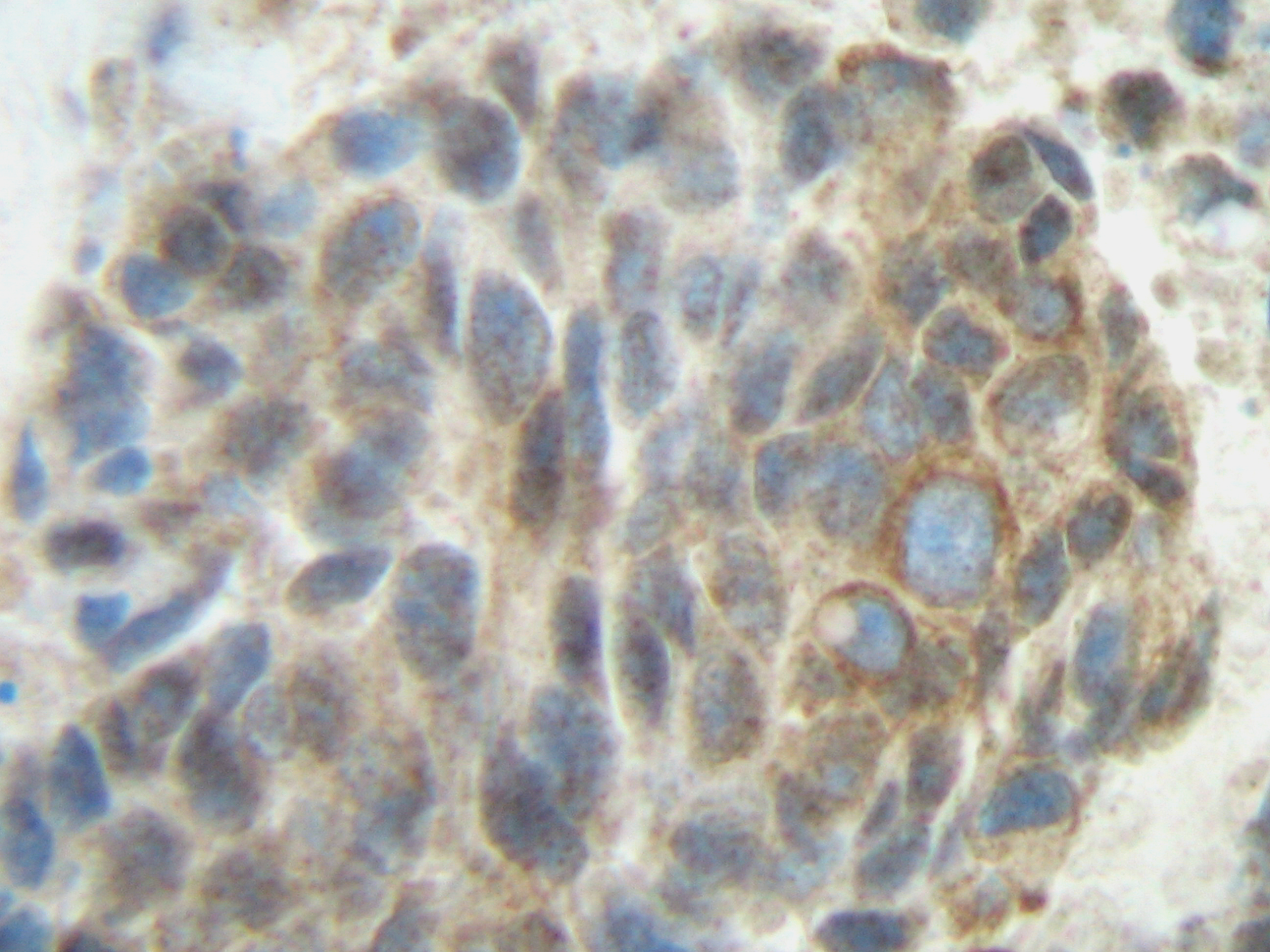
ARG56710 anti-PLGF1 antibody IHC-P image
Immunohistochemistry: Formalin-fixed and paraffin-embedded sections of Human breast invasive ductal carcinoma. The recommended ARG56710 anti-PLGF1 antibody concentration is 2.0 µg/ml with an overnight incubation at 4°C. An HRP-labeled polymer detection system was used with a DAB chromogen. Antigen Retrieval: Boil tissue section in Sodium Citrate buffer (pH 6.0) followed by cooling at RT for 20 min.
-
ARG56710 anti-PLGF1 antibody WB image
Western blot: 250 - 0.24 ng of Human PlGF stained with ARG56710 anti-PLGF1 antibody, under non-reducing conditions.
-
ARG56710 anti-PLGF1 antibody standard curve image
Sandwich ELISA: ARG56710 anti-PLGF1 antibody as a capture antibody at 0.5 - 2.0 µg/ml combined with ARG56819 anti-PLGF1 antibody (Biotin) as a detection antibody. Results of a typical standard run with optical density.
