ARG59265
anti-PLK2 antibody
anti-PLK2 antibody for IHC-Formalin-fixed paraffin-embedded sections,Western blot and Human
Overview
| Product Description | Rabbit Polyclonal antibody recognizes PLK2 |
|---|---|
| Tested Reactivity | Hu |
| Tested Application | IHC-P, WB |
| Host | Rabbit |
| Clonality | Polyclonal |
| Isotype | IgG |
| Target Name | PLK2 |
| Antigen Species | Human |
| Immunogen | KLH-conjugated synthetic peptide corresponding to aa. 375-406 of Human PLK2. |
| Conjugation | Un-conjugated |
| Alternate Names | Serine/threonine-protein kinase SNK; hSNK; PLK-2; Serum-inducible kinase; SNK; EC 2.7.11.21; Serine/threonine-protein kinase PLK2; hPlk2; Polo-like kinase 2 |
Application Instructions
| Application Suggestion |
|
||||||
|---|---|---|---|---|---|---|---|
| Application Note | * The dilutions indicate recommended starting dilutions and the optimal dilutions or concentrations should be determined by the scientist. | ||||||
| Positive Control | 293T/17 | ||||||
| Observed Size | ~ 85 kDa |
Properties
| Form | Liquid |
|---|---|
| Purification | Purification with Protein G. |
| Buffer | PBS and 0.09% (W/V) Sodium azide. |
| Preservative | 0.09% (W/V) Sodium azide |
| Storage Instruction | For continuous use, store undiluted antibody at 2-8°C for up to a week. For long-term storage, aliquot and store at -20°C or below. Storage in frost free freezers is not recommended. Avoid repeated freeze/thaw cycles. Suggest spin the vial prior to opening. The antibody solution should be gently mixed before use. |
| Note | For laboratory research only, not for drug, diagnostic or other use. |
Bioinformation
| Database Links |
Swiss-port # Q9NYY3 Human Serine/threonine-protein kinase PLK2 |
|---|---|
| Gene Symbol | PLK2 |
| Gene Full Name | polo-like kinase 2 |
| Background | The protein encoded by this gene is a member of the polo family of serine/threonine protein kinases that have a role in normal cell division. This gene is most abundantly expressed in testis, spleen and fetal tissues, and its expression is inducible by serum, suggesting that it may also play an important role in cells undergoing rapid cell division. Alternatively spliced transcript variants encoding different isoforms have been found for this gene. [provided by RefSeq, Nov 2011] |
| Function | Tumor suppressor serine/threonine-protein kinase involved in synaptic plasticity, centriole duplication and G1/S phase transition. Polo-like kinases act by binding and phosphorylating proteins are that already phosphorylated on a specific motif recognized by the POLO box domains. Phosphorylates CENPJ, NPM1, RAPGEF2, RASGRF1, SNCA, SIPA1L1 and SYNGAP1. Plays a key role in synaptic plasticity and memory by regulating the Ras and Rap protein signaling: required for overactivity-dependent spine remodeling by phosphorylating the Ras activator RASGRF1 and the Rap inhibitor SIPA1L1 leading to their degradation by the proteasome. Conversely, phosphorylates the Rap activator RAPGEF2 and the Ras inhibitor SYNGAP1, promoting their activity. Also regulates synaptic plasticity independently of kinase activity, via its interaction with NSF that disrupts the interaction between NSF and the GRIA2 subunit of AMPARs, leading to a rapid rundown of AMPAR-mediated current that occludes long term depression. Required for procentriole formation and centriole duplication by phosphorylating CENPJ and NPM1, respectively. Its induction by p53/TP53 suggests that it may participate in the mitotic checkpoint following stress. [UniProt] |
| Cellular Localization | Cytoplasm, cytoskeleton, microtubule organizing center, centrosome, centriole. Cell projection, dendrite. Note=Localizes to centrosomes during early G1 phase where it only associates to the mother centriole and then distributes equally to both mother and daughter centrioles at the onset of S phase. [UniProt] |
| Calculated MW | 78 kDa |
| PTM | Catalytic activity is enhanced by phosphorylation of Thr-239. [UniProt] |
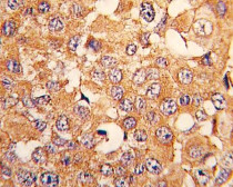
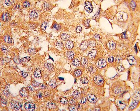
Images (2) Click the Picture to Zoom In
-
ARG59265 anti-PLK2 antibody IHC-P image
Immunohistochemistry: Formalin-fixed and paraffin-embedded Human breast carcinoma stained with ARG59265 anti-PLK2 antibody.
-
ARG59265 anti-PLK2 antibody WB image
Western blot: 20 µg of 293T/17 cell lysate stained with ARG59265 anti-PLK2 antibody at 1:1000 dilution.
