ARG59268
anti-PLK2 antibody
anti-PLK2 antibody for Flow cytometry,IHC-Formalin-fixed paraffin-embedded sections,Western blot and Human,Mouse
Overview
| Product Description | Rabbit Polyclonal antibody recognizes PLK2 |
|---|---|
| Tested Reactivity | Hu, Ms |
| Predict Reactivity | Rat |
| Tested Application | FACS, IHC-P, WB |
| Host | Rabbit |
| Clonality | Polyclonal |
| Isotype | IgG |
| Target Name | PLK2 |
| Antigen Species | Human |
| Immunogen | Recombinant protein corresponding to A94-Q188 of Human PLK2. |
| Conjugation | Un-conjugated |
| Alternate Names | Serine/threonine-protein kinase SNK; hSNK; PLK-2; Serum-inducible kinase; SNK; EC 2.7.11.21; Serine/threonine-protein kinase PLK2; hPlk2; Polo-like kinase 2 |
Application Instructions
| Application Suggestion |
|
||||||||
|---|---|---|---|---|---|---|---|---|---|
| Application Note | IHC-P: Antigen Retrieval: Heat mediation was performed in Citrate buffer (pH 6.0) for 20 min. * The dilutions indicate recommended starting dilutions and the optimal dilutions or concentrations should be determined by the scientist. |
Properties
| Form | Liquid |
|---|---|
| Purification | Affinity purification with immunogen. |
| Buffer | 0.9% NaCl, 0.2% Na2HPO4, 0.05% Sodium azide and 4% Trehalose. |
| Preservative | 0.05% Sodium azide |
| Stabilizer | 4% Trehalose |
| Concentration | 0.5 mg/ml |
| Storage Instruction | For continuous use, store undiluted antibody at 2-8°C for up to a week. For long-term storage, aliquot and store at -20°C or below. Storage in frost free freezers is not recommended. Avoid repeated freeze/thaw cycles. Suggest spin the vial prior to opening. The antibody solution should be gently mixed before use. |
| Note | For laboratory research only, not for drug, diagnostic or other use. |
Bioinformation
| Database Links |
Swiss-port # P53351 Mouse Serine/threonine-protein kinase PLK2 Swiss-port # Q9NYY3 Human Serine/threonine-protein kinase PLK2 |
|---|---|
| Gene Symbol | PLK2 |
| Gene Full Name | polo-like kinase 2 |
| Background | The protein encoded by this gene is a member of the polo family of serine/threonine protein kinases that have a role in normal cell division. This gene is most abundantly expressed in testis, spleen and fetal tissues, and its expression is inducible by serum, suggesting that it may also play an important role in cells undergoing rapid cell division. Alternatively spliced transcript variants encoding different isoforms have been found for this gene. [provided by RefSeq, Nov 2011] |
| Function | Tumor suppressor serine/threonine-protein kinase involved in synaptic plasticity, centriole duplication and G1/S phase transition. Polo-like kinases act by binding and phosphorylating proteins are that already phosphorylated on a specific motif recognized by the POLO box domains. Phosphorylates CENPJ, NPM1, RAPGEF2, RASGRF1, SNCA, SIPA1L1 and SYNGAP1. Plays a key role in synaptic plasticity and memory by regulating the Ras and Rap protein signaling: required for overactivity-dependent spine remodeling by phosphorylating the Ras activator RASGRF1 and the Rap inhibitor SIPA1L1 leading to their degradation by the proteasome. Conversely, phosphorylates the Rap activator RAPGEF2 and the Ras inhibitor SYNGAP1, promoting their activity. Also regulates synaptic plasticity independently of kinase activity, via its interaction with NSF that disrupts the interaction between NSF and the GRIA2 subunit of AMPARs, leading to a rapid rundown of AMPAR-mediated current that occludes long term depression. Required for procentriole formation and centriole duplication by phosphorylating CENPJ and NPM1, respectively. Its induction by p53/TP53 suggests that it may participate in the mitotic checkpoint following stress. [UniProt] |
| Cellular Localization | Cytoplasm, cytoskeleton, microtubule organizing center, centrosome, centriole. Cell projection, dendrite. Note=Localizes to centrosomes during early G1 phase where it only associates to the mother centriole and then distributes equally to both mother and daughter centrioles at the onset of S phase. [UniProt] |
| Calculated MW | 78 kDa |
| PTM | Catalytic activity is enhanced by phosphorylation of Thr-239. [UniProt] |
Images (4) Click the Picture to Zoom In
-
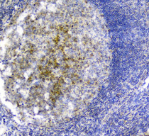
ARG59268 anti-PLK2 antibody IHC-P image
Immunohistochemistry: Paraffin-embedded Human tonsil tissue. Antigen Retrieval: Heat mediation was performed in Citrate buffer (pH 6.0) for 20 min. The tissue section was blocked with 10% goat serum. The tissue section was then stained with ARG59268 anti-PLK2 antibody at 1 µg/ml dilution, overnight at 4°C.
-
ARG59268 anti-PLK2 antibody WB image
Western blot: 50 µg of samples under reducing conditions. MCF-7, HepG2 and Mouse heart lysates stained with ARG59268 anti-PLK2 antibody at 0.5 µg/ml, overnight at 4°C.
-
ARG59268 anti-PLK2 antibody WB image
Western blot: 50 µg of sample under reducing conditions. MCF-7, HepG2 and Mouse heart lysates stained with ARG59268 anti-PLK2 antibody at 0.5 µg/ml dilution, overnight at 4°C.
-
ARG59268 anti-PLK2 antibody FACS image
Flow Cytometry: A549 cells were blocked with 10% normal goat serum and then stained with ARG59268 anti-PLK2 antibody (blue) at 1 µg/10^6 cells for 30 min at 20°C, followed by incubation with DyLight®488 labelled secondary antibody. Isotype control antibody (green) was rabbit IgG (1 µg/10^6 cells) used under the same conditions. Unlabelled sample (red) was also used as a control.
