ARG65588
anti-PMPCB antibody
anti-PMPCB antibody for IHC-Formalin-fixed paraffin-embedded sections,Western blot and Human
Cancer antibody; Cell Biology and Cellular Response antibody; Controls and Markers antibody; Metabolism antibody
Overview
| Product Description | Rabbit Polyclonal antibody recognizes PMPCB |
|---|---|
| Tested Reactivity | Hu |
| Tested Application | IHC-P, WB |
| Host | Rabbit |
| Clonality | Polyclonal |
| Isotype | IgG |
| Target Name | PMPCB |
| Antigen Species | Human |
| Immunogen | Fusion protein of human PMPCB |
| Conjugation | Un-conjugated |
| Alternate Names | EC 3.4.24.64; Beta-MPP; P-52; Mitochondrial-processing peptidase subunit beta; MPPB; MPPP52; MPP11 |
Application Instructions
| Application Suggestion |
|
||||||
|---|---|---|---|---|---|---|---|
| Application Note | * The dilutions indicate recommended starting dilutions and the optimal dilutions or concentrations should be determined by the scientist. | ||||||
| Positive Control | HepG2 cell |
Properties
| Form | Liquid |
|---|---|
| Purification | Purified by antigen-affinity chromatography. |
| Buffer | 1XPBS (pH 7.4), 0.05% Sodium azide and 40% Glycerol |
| Preservative | 0.05% Sodium azide |
| Stabilizer | 40% Glycerol |
| Concentration | 1.3 mg/ml |
| Storage Instruction | For continuous use, store undiluted antibody at 2-8°C for up to a week. For long-term storage, aliquot and store at -20°C. Storage in frost free freezers is not recommended. Avoid repeated freeze/thaw cycles. Suggest spin the vial prior to opening. The antibody solution should be gently mixed before use. |
| Note | For laboratory research only, not for drug, diagnostic or other use. |
Bioinformation
| Database Links |
Swiss-port # O75439 Human Mitochondrial-processing peptidase subunit beta |
|---|---|
| Gene Symbol | PMPCB |
| Gene Full Name | peptidase (mitochondrial processing) beta |
| Background | This gene is a member of the peptidase M16 family and encodes a protein with a zinc-binding motif. This protein is located in the mitochondrial matrix and catalyzes the cleavage of the leader peptides of precursor proteins newly imported into the mitochondria, though it only functions as part of a heterodimeric complex. |
| Function | Cleaves presequences (transit peptides) from mitochondrial protein precursors. [UniProt] |
| Highlight | Related products: Anti-Rabbit IgG secondary antibodies; Related poster download: The Structure & Functions of Mitochondria.pdf |
| Research Area | Cancer antibody; Cell Biology and Cellular Response antibody; Controls and Markers antibody; Metabolism antibody |
| Calculated MW | 54 kDa |
Images (3) Click the Picture to Zoom In
-
ARG65588 anti-PMPCB antibody WB image
Western blot: 40 μg of HepG2 cell lysate stained with ARG65588 anti-PMPCB antibody at 1:300 dilution. Exporsure time: 5 seconds.
-
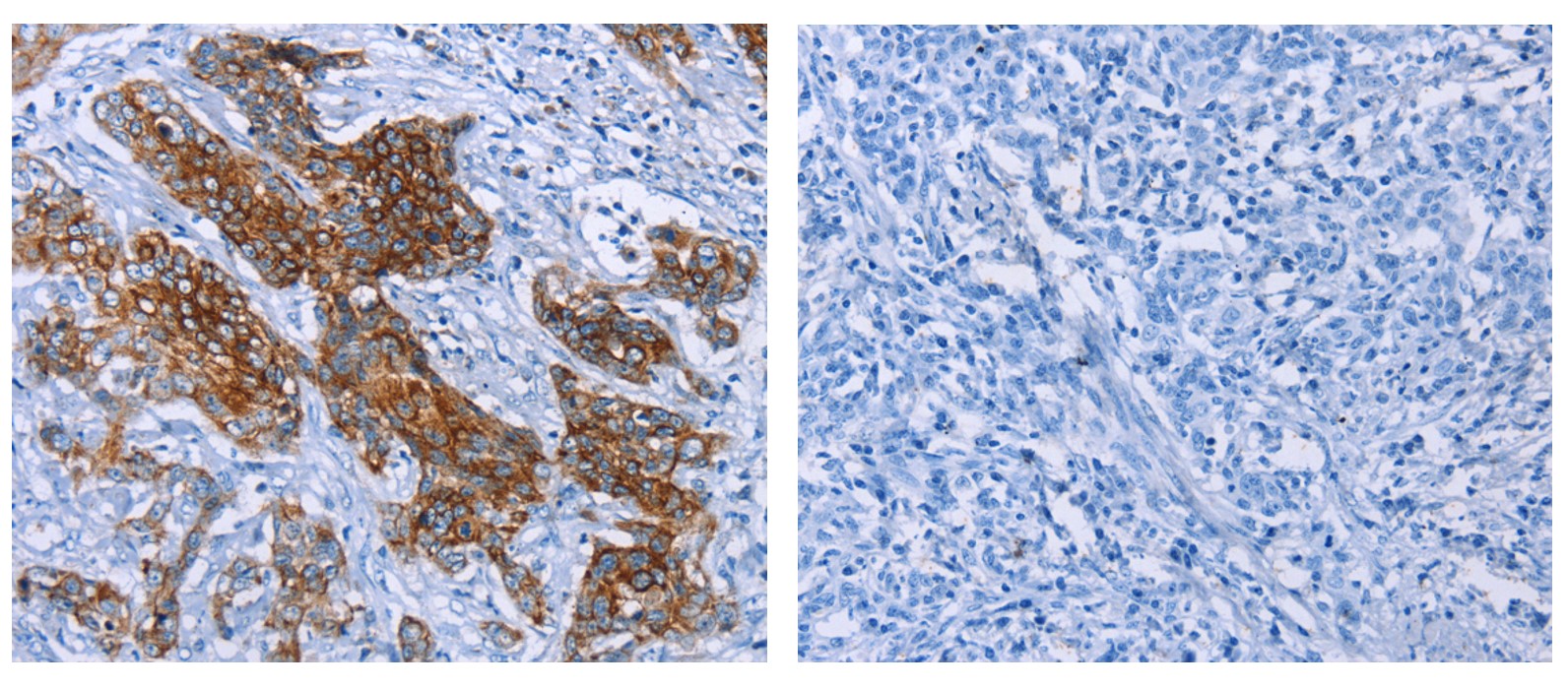
ARG65588 anti-PMPCB antibody IHC-P image
Immunohistochemistry: Paraffin-embedded Human esophagus cancer tissue stained with ARG65588 anti-PMPCB antibody (left) at 1:25 dilution, or the same antibody preincubated with fusion protein (right). (Original magnification: ×200).
-
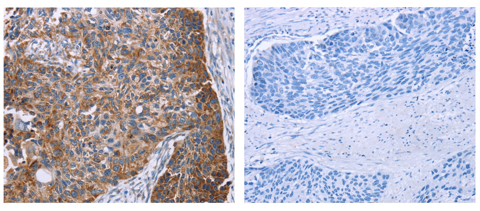
ARG65588 anti-PMPCB antibody IHC-P image
Immunohistochemistry: Paraffin-embedded Human esophagus cancer tissue stained with ARG65588 anti-PMPCB antibody (left) at 1:25 dilution, or the same antibody preincubated with fusion protein (right). (Original magnification: ×200).
