ARG45760
anti-PNP / Purine nucleoside phosphorylase antibody [7G5]
anti-PNP / Purine nucleoside phosphorylase antibody [7G5] for ICC/IF,IHC-Formalin-fixed paraffin-embedded sections,Western blot and Human
Overview
| Product Description | Mouse Monoclonal antibody [7G5] recognizes PNP / Purine nucleoside phosphorylase |
|---|---|
| Tested Reactivity | Hu |
| Tested Application | ICC/IF, IHC-P, WB |
| Host | Mouse |
| Clonality | Monoclonal |
| Clone | 7G5 |
| Isotype | IgG2b |
| Target Name | PNP / Purine nucleoside phosphorylase |
| Antigen Species | Human |
| Immunogen | Synthetic peptide corresponding to middle region of human PNP / Purine nucleoside phosphorylase. |
| Conjugation | Un-conjugated |
| Alternate Names | EC 2.4.2.1; Purine nucleoside phosphorylase; Inosine-guanosine phosphorylase; PNP; PRO1837; Inosine phosphorylase; PUNP; NP |
Application Instructions
| Application Suggestion |
|
||||||||
|---|---|---|---|---|---|---|---|---|---|
| Application Note | * The dilutions indicate recommended starting dilutions and the optimal dilutions or concentrations should be determined by the scientist. | ||||||||
| Observed Size | 32 kDa |
Properties
| Form | Liquid |
|---|---|
| Purification | Affinity purified |
| Buffer | 0.2% Na2HPO4, 0.9% NaCl and 4% Trehalose. |
| Stabilizer | 4% Trehalose |
| Concentration | 0.5 mg/ml |
| Storage Instruction | For continuous use, store undiluted antibody at 2-8°C for up to a week. For long-term storage, aliquot and store at -20°C or below. Storage in frost free freezers is not recommended. Avoid repeated freeze/thaw cycles. Suggest spin the vial prior to opening. The antibody solution should be gently mixed before use. |
| Note | For laboratory research only, not for drug, diagnostic or other use. |
Bioinformation
| Database Links | |
|---|---|
| Gene Symbol | PNP |
| Gene Full Name | purine nucleoside phosphorylase |
| Background | This gene encodes an enzyme which reversibly catalyzes the phosphorolysis of purine nucleosides. The enzyme is trimeric, containing three identical subunits. Mutations which result in nucleoside phosphorylase deficiency result in defective T-cell (cell-mediated) immunity but can also affect B-cell immunity and antibody responses. Neurologic disorders may also be apparent in patients with immune defects. A known polymorphism at aa position 51 that does not affect enzyme activity has been described. A pseudogene has been identified on chromosome 2. [provided by RefSeq, Jul 2008] |
| Function | The purine nucleoside phosphorylases catalyze the phosphorolytic breakdown of the N-glycosidic bond in the beta-(deoxy)ribonucleoside molecules, with the formation of the corresponding free purine bases and pentose-1-phosphate. [UniProt] |
| Cellular Localization | Cytoplasm; Cytoskeleton; Cytoplasm. [UniProt] |
| Calculated MW | 32 kDa |
| PTM | Acetylation; Phosphoprotein. [UniProt] |
Images (3) Click the Picture to Zoom In
-
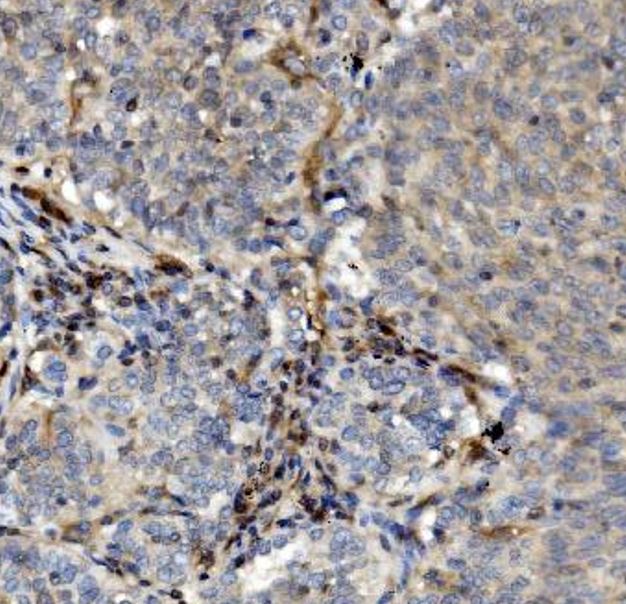
ARG45760 anti-PNP / Purine nucleoside phosphorylase antibody [7G5] IHC-P image
Immunohistochemistry: Human lung cancer stained with ARG45760 anti-PNP / Purine nucleoside phosphorylase antibody [7G5] at 2 μg/ml dilution.
-
ARG45760 anti-PNP / Purine nucleoside phosphorylase antibody [7G5] ICC/IF image
Immunofluorescence: A431 stained with ARG45760 anti-PNP / Purine nucleoside phosphorylase antibody [7G5] at 5 μg/ml dilution.
-
ARG45760 anti-PNP / Purine nucleoside phosphorylase antibody [7G5] WB image
Western blot: A549 stained with ARG45760 anti-PNP / Purine nucleoside phosphorylase antibody [7G5] at 0.5 μg/ml dilution.
