ARG66721
anti-POFUT1 antibody
anti-POFUT1 antibody for ICC/IF,IHC-Formalin-fixed paraffin-embedded sections,Western blot and Human
Overview
| Product Description | Rabbit Polyclonal antibody recognizes POFUT1 |
|---|---|
| Tested Reactivity | Hu |
| Tested Application | ICC/IF, IHC-P, WB |
| Host | Rabbit |
| Clonality | Polyclonal |
| Isotype | IgG |
| Target Name | POFUT1 |
| Antigen Species | Human |
| Immunogen | Synthetic peptide corresponding to aa. 331-380 of Human POFUT1. |
| Conjugation | Un-conjugated |
| Alternate Names | FUT12; DDD2; GDP-fucose protein O-fucosyltransferase 1; O-FUT; Peptide-O-fucosyltransferase 1; OFUCT1; O-FucT-1; EC 2.4.1.221; O-Fuc-T |
Application Instructions
| Application Suggestion |
|
||||||||
|---|---|---|---|---|---|---|---|---|---|
| Application Note | * The dilutions indicate recommended starting dilutions and the optimal dilutions or concentrations should be determined by the scientist. | ||||||||
| Observed Size | ~ 41 kDa |
Properties
| Form | Liquid |
|---|---|
| Purification | Affinity purification with immunogen. |
| Buffer | PBS, 0.02% Sodium azide, 50% Glycerol and 0.5% BSA. |
| Preservative | 0.02% Sodium azide |
| Stabilizer | 50% Glycerol and 0.5% BSA |
| Concentration | 1 mg/ml |
| Storage Instruction | For continuous use, store undiluted antibody at 2-8°C for up to a week. For long-term storage, aliquot and store at -20°C. Storage in frost free freezers is not recommended. Avoid repeated freeze/thaw cycles. Suggest spin the vial prior to opening. The antibody solution should be gently mixed before use. |
| Note | For laboratory research only, not for drug, diagnostic or other use. |
Bioinformation
| Database Links |
Swiss-port # Q9H488 Human GDP-fucose protein O-fucosyltransferase 1 |
|---|---|
| Gene Symbol | POFUT1 |
| Gene Full Name | protein O-fucosyltransferase 1 |
| Background | This gene encodes a member of the glycosyltransferase O-Fuc family. This enzyme adds O-fucose through an O-glycosidic linkage to conserved serine or threonine residues in the epidermal growth factor-like repeats of a number of cell surface and secreted proteins. O-fucose glycans are involved in ligand-induced receptor signaling. Alternative splicing of this gene results in two transcript variants encoding different isoforms. [provided by RefSeq, Jul 2008] |
| Function | Catalyzes the reaction that attaches fucose through an O-glycosidic linkage to a conserved serine or threonine residue found in the consensus sequence C2-X(4,5)-[S/T]-C3 of EGF domains, where C2 and C3 are the second and third conserved cysteines. Specifically uses GDP-fucose as donor substrate and proper disulfide pairing of the substrate EGF domains is required for fucose transfer. Plays a crucial role in NOTCH signaling. Initial fucosylation of NOTCH by POFUT1 generates a substrate for FRINGE/RFNG, an acetylglucosaminyltransferase that can then extend the fucosylation on the NOTCH EGF repeats. This extended fucosylation is required for optimal ligand binding and canonical NOTCH signaling induced by DLL1 or JAGGED1. Fucosylates AGRN and determines its ability to cluster acetylcholine receptors (AChRs). [UniProt] |
| Cellular Localization | Endoplasmic reticulum. [UniProt] |
| Calculated MW | 44 kDa |
| PTM | N-glycosylated. [UniProt] |
Images (2) Click the Picture to Zoom In
-
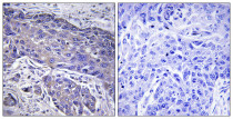
ARG66721 anti-POFUT1 antibody IHC-P image
Immunohistochemistry: Paraffin-embedded Human lung carcinoma tissue stained with ARG66721 anti-POFUT1 antibody. The picture on the right is blocked with the synthetic peptide.
-
ARG66721 anti-POFUT1 antibody WB image
Western blot: HeLa, Jurkat and HepG2 cell lysates stained with ARG66721 anti-POFUT1 antibody. The lane on the right is blocked with the synthetic peptide.
