ARG45674
anti-POGLUT1 antibody
anti-POGLUT1 antibody for ICC/IF,IHC-Formalin-fixed paraffin-embedded sections,Western blot and Human,Mouse
Overview
| Product Description | Rabbit Polyclonal antibody recognizes POGLUT1 |
|---|---|
| Tested Reactivity | Hu, Ms |
| Tested Application | ICC/IF, IHC-P, WB |
| Host | Rabbit |
| Clonality | Polyclonal |
| Isotype | IgG |
| Target Name | POGLUT1 |
| Antigen Species | Human |
| Immunogen | Synthetic peptide corresponding to C-terminal region of human POGLUT1. |
| Conjugation | Un-conjugated |
| Alternate Names | POGLUT1; Protein O-Glucosyltransferase 1; HCLP46; MDSRP; 9630046K23Rik; KDELCL1; MDS010; C3orf9; KTELC1; Rumi; Myelodysplastic Syndromes Relative Protein; Protein O-Xylosyltransferase POGLUT1; KTEL (Lys-Tyr-Glu-Leu) Containing 1; O-Glucosyltransferase Rumi Homolog; KTEL Motif-Containing Protein 1; CAP10-Like 46 KDa Protein; KDELC Family Like 1; MGC32995; CLP46; HRumi; Chromosome 3 Open Reading Frame 9; X 010 Protein; EC 2.4.1.376; EC 2.4.2.63; LGMDR21; LGMD2Z |
Application Instructions
| Application Suggestion |
|
||||||||
|---|---|---|---|---|---|---|---|---|---|
| Application Note | * The dilutions indicate recommended starting dilutions and the optimal dilutions or concentrations should be determined by the scientist. |
Properties
| Form | Liquid |
|---|---|
| Purification | Affinity purified |
| Buffer | 0.2% Na2HPO4, 0.9% NaCl and 4% Trehalose. |
| Stabilizer | 4% Trehalose |
| Concentration | 0.5 mg/ml |
| Storage Instruction | For continuous use, store undiluted antibody at 2-8°C for up to a week. For long-term storage, aliquot and store at -20°C or below. Storage in frost free freezers is not recommended. Avoid repeated freeze/thaw cycles. Suggest spin the vial prior to opening. The antibody solution should be gently mixed before use. |
| Note | For laboratory research only, not for drug, diagnostic or other use. |
Bioinformation
| Database Links | |
|---|---|
| Gene Symbol | POGLUT1 |
| Gene Full Name | Protein O-Glucosyltransferase 1 |
| Background | This gene encodes a protein with both O-glucosyltransferase and O-xylosyltransferase activity which localizes to the lumen of the endoplasmic reticulum. This protein has a carboxy-terminal KTEL motif which is predicted to function as an endoplasmic reticulum retention signal. This gene is an essential regulator of Notch signalling and likely plays a role in cell fate and tissue formation during development. It may also play a role in the pathogenesis of leukemia. Mutations in this gene have been associated with the autosomal dominant genodermatosis Dowling-Degos disease 4. Alternative splicing results in multiple transcript variants. [provided by RefSeq, Apr 2014] |
| Function | Dual specificity glycosyltransferase that catalyzes the transfer of glucose and xylose from UDP-glucose and UDP-xylose, respectively, to a serine residue found in the consensus sequence of C-X-S-X-P-C. [UniProt] |
| Cellular Localization | Endoplasmic reticulum. [UniProt] |
| Calculated MW | 46 kDa |
| PTM | Disulfide bond; Glycoprotein. [UniProt] |
Images (4) Click the Picture to Zoom In
-
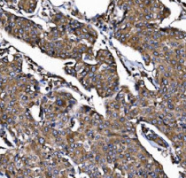
ARG45674 anti-POGLUT1 antibody IHC-P image
Immunohistochemistry: Human breast cancer stained with ARG45674 anti-POGLUT1 antibody at 2 μg/ml dilution.
-
ARG45674 anti-POGLUT1 antibody ICC/IF image
Immunofluorescence: T-47D stained with ARG45674 anti-POGLUT1 antibody at 5 μg/ml dilution.
-
ARG45674 anti-POGLUT1 antibody WB image
Western blot: HL-60 and HepG2 stained with ARG45674 anti-POGLUT1 antibody at 0.5 μg/ml dilution.
-
ARG45674 anti-POGLUT1 antibody WB image
Western blot: Mouse thymus stained with ARG45674 anti-POGLUT1 antibody at 0.5 μg/ml dilution.
