ARG59302
anti-POLI / DNA Polymerase Iota antibody
anti-POLI / DNA Polymerase Iota antibody for Western blot and Human,Mouse,Rat
Overview
| Product Description | Rabbit Polyclonal antibody recognizes POLI / DNA Polymerase Iota |
|---|---|
| Tested Reactivity | Hu, Ms, Rat |
| Tested Application | WB |
| Host | Rabbit |
| Clonality | Polyclonal |
| Isotype | IgG |
| Target Name | POLI / DNA Polymerase Iota |
| Antigen Species | Human |
| Immunogen | Synthetic peptide corresponding to a sequence of Human POLI / DNA Polymerase Iota. (DIDPQVFYELPEAVQKELLAEWKRAGSDFHIGHK) |
| Conjugation | Un-conjugated |
| Alternate Names | RAD30B; Eta2; RAD3OB; DNA polymerase iota; EC 2.7.7.7; RAD30 homolog B |
Application Instructions
| Application Suggestion |
|
||||
|---|---|---|---|---|---|
| Application Note | * The dilutions indicate recommended starting dilutions and the optimal dilutions or concentrations should be determined by the scientist. |
Properties
| Form | Liquid |
|---|---|
| Purification | Affinity purification with immunogen. |
| Buffer | 0.9% NaCl, 0.2% Na2HPO4, 0.05% Sodium azide and 4% Trehalose. |
| Preservative | 0.05% Sodium azide |
| Stabilizer | 4% Trehalose |
| Concentration | 0.5 mg/ml |
| Storage Instruction | For continuous use, store undiluted antibody at 2-8°C for up to a week. For long-term storage, aliquot and store at -20°C or below. Storage in frost free freezers is not recommended. Avoid repeated freeze/thaw cycles. Suggest spin the vial prior to opening. The antibody solution should be gently mixed before use. |
| Note | For laboratory research only, not for drug, diagnostic or other use. |
Bioinformation
| Database Links | |
|---|---|
| Gene Symbol | POLI |
| Gene Full Name | polymerase (DNA directed) iota |
| Function | Error-prone DNA polymerase specifically involved in DNA repair. Plays an important role in translesion synthesis, where the normal high-fidelity DNA polymerases cannot proceed and DNA synthesis stalls. Favors Hoogsteen base-pairing in the active site. Inserts the correct base with high-fidelity opposite an adenosine template. Exhibits low fidelity and efficiency opposite a thymidine template, where it will preferentially insert guanosine. May play a role in hypermutation of immunogobulin genes. Forms a Schiff base with 5'-deoxyribose phosphate at abasic sites, but may not have lyase activity. [UniProt] |
| Cellular Localization | Nucleus. Note=Accumulates at replication forks after DNA damage. [UniProt] |
| Calculated MW | 83 kDa |
Images (2) Click the Picture to Zoom In
-
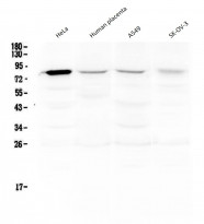
ARG59302 anti-POLI / DNA Polymerase Iota antibody WB image
Western blot: 50 µg of samples under reducing conditions. HeLa, Human placenta, A549 and SK-OV-3 cell lysates stained with ARG59302 anti-POLI / DNA Polymerase Iota antibody at 0.5 µg/ml, overnight at 4°C.
-
ARG59302 anti-POLI / DNA Polymerase Iota antibody WB image
Western blot: 50 µg of samples under reducing conditions. Rat testis, Rat testis, Rat kidney, Rat stomach, Mouse testis, Mouse testis, Mouse kidney and Mouse stomach lysates stained with ARG59302 anti-POLI / DNA Polymerase Iota antibody at 0.5 µg/ml, overnight at 4°C.
