ARG43923
anti-POLR1B antibody
anti-POLR1B antibody for ELISA,Flow cytometry,ICC/IF,IHC-Formalin-fixed paraffin-embedded sections,Western blot and Human
Overview
| Product Description | Rabbit Polyclonal antibody recognizes POLR1B |
|---|---|
| Tested Reactivity | Hu |
| Tested Application | ELISA, FACS, ICC/IF, IHC-P, WB |
| Host | Rabbit |
| Clonality | Polyclonal |
| Isotype | IgG |
| Target Name | POLR1B |
| Antigen Species | Human |
| Immunogen | Human POLR1B recombinant protein |
| Expression System | E.coli |
| Conjugation | Un-conjugated |
| Protein Full Name | DNA-directed RNA polymerase I subunit RPA2 |
| Alternate Names | POLR1B; RNA Polymerase I Subunit B; RPA135; Rpo1-2; RPA2; DNA-Directed RNA Polymerase I 135 KDa Polypeptide; DNA-Directed RNA Polymerase I Subunit RPA2; Polymerase (RNA) I Polypeptide B, 128kDa; RNA Polymerase I Subunit 2; EC 2.7.7.6; FLJ21921; FLJ10816; DNA-Directed RNA Polymerase I 135kDa Polypeptide; Polymerase (RNA) I Subunit B; A135; TCS4 |
Application Instructions
| Application Suggestion |
|
||||||||||||
|---|---|---|---|---|---|---|---|---|---|---|---|---|---|
| Application Note | * The dilutions indicate recommended starting dilutions and the optimal dilutions or concentrations should be determined by the scientist. |
Properties
| Form | Liquid |
|---|---|
| Purification | Affinity purified with Immunogen. |
| Buffer | 0.9% NaCl, 0.2% Na2HPO4 and 4% Trehalose. |
| Stabilizer | 4% Trehalose |
| Concentration | 0.5 mg/ml |
| Storage Instruction | For continuous use, store undiluted antibody at 2-8°C for up to a week. For long-term storage, aliquot and store at -20°C or below. Storage in frost free freezers is not recommended. Avoid repeated freeze/thaw cycles. Suggest spin the vial prior to opening. The antibody solution should be gently mixed before use. |
| Note | For laboratory research only, not for drug, diagnostic or other use. |
Bioinformation
| Database Links |
Swiss-port # Q9H9Y6 Human DNA-directed RNA polymerase I subunit RPA2 |
|---|---|
| Gene Symbol | POLR1B |
| Gene Full Name | RNA Polymerase I Subunit B |
| Background | Eukaryotic RNA polymerase I (pol I) is responsible for the transcription of ribosomal RNA (rRNA) genes and production of rRNA, the primary component of ribosomes. Pol I is a multisubunit enzyme composed of 6 to 14 polypeptides, depending on the species. Most of the mass of the pol I complex derives from the 2 largest subunits, Rpa1 and Rpa2 in yeast. POLR1B is homologous to Rpa2. |
| Function | DNA-dependent RNA polymerase catalyzes the transcription of DNA into RNA using the four ribonucleoside triphosphates as substrates. Second largest core component of RNA polymerase I which synthesizes ribosomal RNA precursors. Proposed to contribute to the polymerase catalytic activity and forms the polymerase active center together with the largest subunit. Pol I is composed of mobile elements and RPA2 is part of the core element with the central large cleft and probably a clamp element that moves to open and close the cleft. |
| Cellular Localization | Chromosome, DNA-directed RNA polymerase, Nucleus |
| Calculated MW | 128 kDa |
| PTM | Phosphoprotein |
Images (4) Click the Picture to Zoom In
-
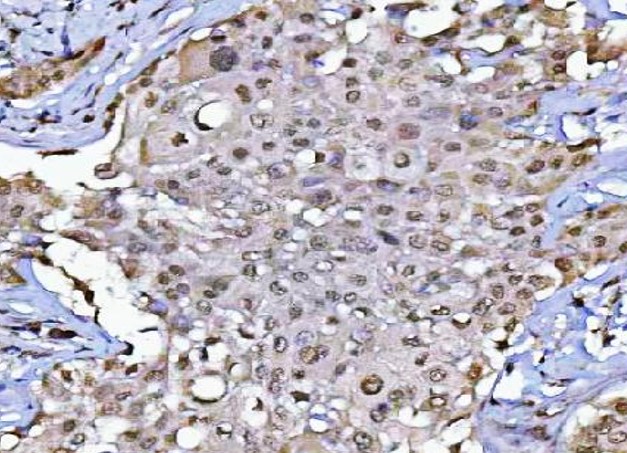
ARG43923 anti-POLR1B antibody IHC-P image
Immunohistochemistry: Human lymphoma stained with ARG43923 anti-POLR1B antibody at 2 μg/ml dilution.
-
ARG43923 anti-POLR1B antibody ICC/IF image
Immunofluorescence: PC-3 cells stained with ARG43923 anti-POLR1B antibody at 5 μg/ml dilution.
-
ARG43923 anti-POLR1B antibody WB image
Western blot: K562, HepG2 and 293T stained with ARG43923 anti-POLR1B antibody at 0.5 μg/mL dilution.
-
ARG43923 anti-POLR1B antibody FACS FACS image
Flow Cytometry: A431 cells stained with ARG43923 anti-POLR1B antibody (blue) at 1 μg/1x10^6 cells dilution.
