ARG41222
anti-POLR1C antibody
anti-POLR1C antibody for IHC-Formalin-fixed paraffin-embedded sections,Western blot and Human,Mouse
Overview
| Product Description | Rabbit Polyclonal antibody recognizes POLR1C |
|---|---|
| Tested Reactivity | Hu, Ms |
| Tested Application | IHC-P, WB |
| Host | Rabbit |
| Clonality | Polyclonal |
| Isotype | IgG |
| Target Name | POLR1C |
| Antigen Species | Human |
| Immunogen | KLH-conjugated synthetic peptide corresponding to aa. 319-346 of Human POLR1C. |
| Conjugation | Un-conjugated |
| Alternate Names | RPC40; RPA39; DNA-directed RNA polymerase I subunit C; RPA5; RNA polymerases I and III subunit AC1; DNA-directed RNA polymerases I and III subunit RPAC1; AC40; RPA40; RPAC1; DNA-directed RNA polymerases I and III 40 kDa polypeptide; TCS3 |
Application Instructions
| Application Suggestion |
|
||||||
|---|---|---|---|---|---|---|---|
| Application Note | * The dilutions indicate recommended starting dilutions and the optimal dilutions or concentrations should be determined by the scientist. | ||||||
| Positive Control | HeLa | ||||||
| Observed Size | ~ 40 kDa |
Properties
| Form | Liquid |
|---|---|
| Purification | This antibody is prepared by Saturated Ammonium Sulfate (SAS) precipitation followed by dialysis against PBS. |
| Buffer | PBS and 0.09% (W/V) Sodium azide. |
| Preservative | 0.09% (W/V) Sodium azide. |
| Storage Instruction | For continuous use, store undiluted antibody at 2-8°C for up to a week. For long-term storage, aliquot and store at -20°C or below. Storage in frost free freezers is not recommended. Avoid repeated freeze/thaw cycles. Suggest spin the vial prior to opening. The antibody solution should be gently mixed before use. |
| Note | For laboratory research only, not for drug, diagnostic or other use. |
Bioinformation
| Database Links |
Swiss-port # O15160 Human DNA-directed RNA polymerases I and III subunit RPAC1 Swiss-port # P52432 Mouse DNA-directed RNA polymerases I and III subunit RPAC1 |
|---|---|
| Gene Symbol | POLR1C |
| Gene Full Name | polymerase (RNA) I polypeptide C, 30kDa |
| Background | The protein encoded by this gene is a subunit of both RNA polymerase I and RNA polymerase III complexes. The encoded protein is part of the Pol core element. Defects in this gene have been associated with Treacher Collins syndrome (TCS). [provided by RefSeq, Mar 2011] |
| Function | DNA-dependent RNA polymerase catalyzes the transcription of DNA into RNA using the four ribonucleoside triphosphates as substrates. Common component of RNA polymerases I and III which synthesize ribosomal RNA precursors and small RNAs, such as 5S rRNA and tRNAs, respectively. RPAC1 is part of the Pol core element with the central large cleft and probably a clamp element that moves to open and close the cleft (By similarity). [UniProt] |
| Cellular Localization | Nucleus. [UniProt] |
| Calculated MW | 39 kDa |
Images (2) Click the Picture to Zoom In
-
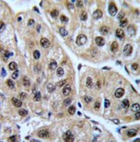
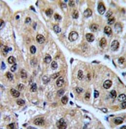
ARG41222 anti-POLR1C antibody IHC-P image
Immunohistochemistry: Formalin-fixed and paraffin-embedded Human hepatocarcinoma tissue stained with ARG41222 anti-POLR1C antibody.
-
ARG41222 anti-POLR1C antibody WB image
Western blot: 20 ug of HeLa whole cell lysate stained with ARG41222 anti-POLR1C antibody at 1:2000 dilution.
