ARG43094
anti-POMT2 antibody
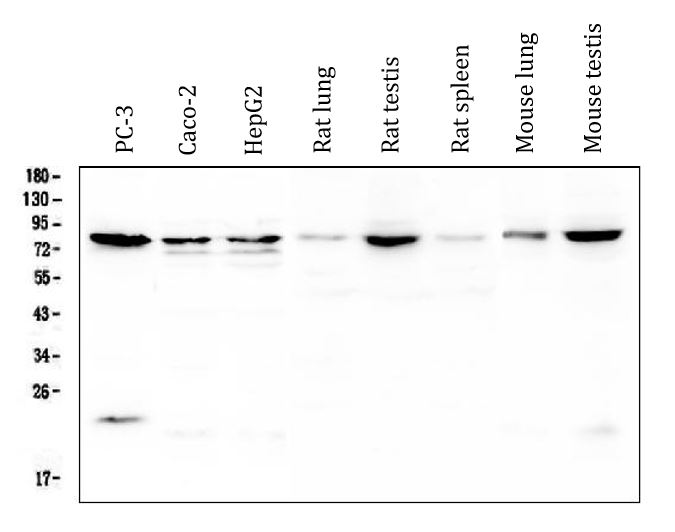
anti-POMT2 antibody for Western blot and Human,Mouse,Rat
Overview
| Product Description | Rabbit Polyclonal antibody recognizes POMT2 |
|---|---|
| Tested Reactivity | Hu, Ms, Rat |
| Tested Application | WB |
| Host | Rabbit |
| Clonality | Polyclonal |
| Isotype | IgG |
| Target Name | POMT2 |
| Antigen Species | Human |
| Immunogen | Synthetic peptide corresponding to a sequence of Human POMT2. (QAARAAGRDVAAEAVARSPKR) |
| Conjugation | Un-conjugated |
| Alternate Names | Dolichyl-phosphate-mannose--protein mannosyltransferase 2; EC 2.4.1.109; MDDGB2; LGMD2N; MDDGA2; MDDGC2; Protein O-mannosyl-transferase 2 |
Application Instructions
| Application Suggestion |
|
||||
|---|---|---|---|---|---|
| Application Note | * The dilutions indicate recommended starting dilutions and the optimal dilutions or concentrations should be determined by the scientist. | ||||
| Observed Size | ~ 84 kDa |
Properties
| Form | Liquid |
|---|---|
| Purification | Affinity purification with immunogen. |
| Buffer | 0.2% Na2HPO4, 0.9% NaCl, 0.05% Sodium azide and 4% Trehalose. |
| Preservative | 0.05% Sodium azide |
| Stabilizer | 4% Trehalose |
| Concentration | 0.5 mg/ml |
| Storage Instruction | For continuous use, store undiluted antibody at 2-8°C for up to a week. For long-term storage, aliquot and store at -20°C or below. Storage in frost free freezers is not recommended. Avoid repeated freeze/thaw cycles. Suggest spin the vial prior to opening. The antibody solution should be gently mixed before use. |
| Note | For laboratory research only, not for drug, diagnostic or other use. |
Bioinformation
| Database Links | |
|---|---|
| Gene Symbol | POMT2 |
| Gene Full Name | protein-O-mannosyltransferase 2 |
| Background | The protein encoded by this gene is an O-mannosyltransferase that requires interaction with the product of the POMT1 gene for enzymatic function. The encoded protein is found in the membrane of the endoplasmic reticulum. Defects in this gene are a cause of Walker-Warburg syndrome (WWS). [provided by RefSeq, Oct 2008] |
| Function | Transfers mannosyl residues to the hydroxyl group of serine or threonine residues. Coexpression of both POMT1 and POMT2 is necessary for enzyme activity, expression of either POMT1 or POMT2 alone is insufficient (PubMed:14699049, PubMed:28512129). Essentially dedicated to O-mannosylation of alpha-DAG1 and few other proteins but not of cadherins and protocaherins (PubMed:28512129). [UniProt] |
| Cellular Localization | Endoplasmic reticulum membrane; Multi-pass membrane protein. [UniProt] |
| Calculated MW | 84 kDa |
| PTM | N-glycosylated. [UniProt] |
Images (1) Click the Picture to Zoom In
