ARG55442
anti-PON2 antibody
anti-PON2 antibody for ICC/IF,IHC-Formalin-fixed paraffin-embedded sections,Western blot and Human,Mouse
Cell Biology and Cellular Response antibody; Metabolism antibody; Neuroscience antibody; Signaling Transduction antibody
Overview
| Product Description | Rabbit Polyclonal antibody recognizes PON2 |
|---|---|
| Tested Reactivity | Hu, Ms |
| Tested Application | ICC/IF, IHC-P, WB |
| Host | Rabbit |
| Clonality | Polyclonal |
| Isotype | IgG |
| Target Name | PON2 |
| Antigen Species | Human |
| Immunogen | KLH-conjugated synthetic peptide corresponding to aa. 74-101 (Center) of Human PON2. |
| Conjugation | Un-conjugated |
| Alternate Names | Aromatic esterase 2; EC 3.1.1.81; A-esterase 2; Serum paraoxonase/arylesterase 2; Serum aryldialkylphosphatase 2; PON 2; EC 3.1.1.2 |
Application Instructions
| Application Suggestion |
|
||||||||
|---|---|---|---|---|---|---|---|---|---|
| Application Note | * The dilutions indicate recommended starting dilutions and the optimal dilutions or concentrations should be determined by the scientist. | ||||||||
| Positive Control | HepG2 |
Properties
| Form | Liquid |
|---|---|
| Purification | Purification with Protein A and immunogen peptide. |
| Buffer | PBS and 0.09% (W/V) Sodium azide |
| Preservative | 0.09% (W/V) Sodium azide |
| Storage Instruction | For continuous use, store undiluted antibody at 2-8°C for up to a week. For long-term storage, aliquot and store at -20°C or below. Storage in frost free freezers is not recommended. Avoid repeated freeze/thaw cycles. Suggest spin the vial prior to opening. The antibody solution should be gently mixed before use. |
| Note | For laboratory research only, not for drug, diagnostic or other use. |
Bioinformation
| Database Links | |
|---|---|
| Gene Symbol | PON2 |
| Gene Full Name | paraoxonase 2 |
| Background | This gene encodes a member of the paraoxonase gene family, which includes three known members located adjacent to each other on the long arm of chromosome 7. The encoded protein is ubiquitously expressed in human tissues, membrane-bound, and may act as a cellular antioxidant, protecting cells from oxidative stress. Hydrolytic activity against acylhomoserine lactones, important bacterial quorum-sensing mediators, suggests the encoded protein may also play a role in defense responses to pathogenic bacteria. Mutations in this gene may be associated with vascular disease and a number of quantitative phenotypes related to diabetes. Alternatively spliced transcript variants encoding different isoforms have been described. [provided by RefSeq, Jul 2008] |
| Function | Capable of hydrolyzing lactones and a number of aromatic carboxylic acid esters. Has antioxidant activity. Is not associated with high density lipoprotein. Prevents LDL lipid peroxidation, reverses the oxidation of mildly oxidized LDL, and inhibits the ability of MM-LDL to induce monocyte chemotaxis. [UniProt] |
| Cellular Localization | Membrane; Peripheral membrane protein |
| Research Area | Cell Biology and Cellular Response antibody; Metabolism antibody; Neuroscience antibody; Signaling Transduction antibody |
| Calculated MW | 39 kDa |
| PTM | The signal sequence is not cleaved. |
Images (3) Click the Picture to Zoom In
-
ARG55442 anti-PON2 antibody ICC/IF image
Immunofluorescence: HepG2 cells stained with ARG55442 anti-PON2 antibody (green). DAPI (blue) for nuclear staining.
-
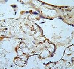
ARG55442 anti-PON2 antibody IHC-P image
Immunohistochemistry: Formalin-fixed and paraffin-embedded Human placenta tissue stained with ARG55442 anti-PON2 antibody.
-
ARG55442 anti-PON2 antibody WB image
Western blot: 15 µg of HepG2 cell lysate stained with ARG55442 anti-PON2 antibody.
