ARG57089
anti-PON3 antibody
anti-PON3 antibody for Flow cytometry,IHC-Formalin-fixed paraffin-embedded sections,Western blot and Human
Overview
| Product Description | Rabbit Polyclonal antibody recognizes PON3 |
|---|---|
| Tested Reactivity | Hu |
| Tested Application | FACS, IHC-P, WB |
| Host | Rabbit |
| Clonality | Polyclonal |
| Isotype | IgG |
| Target Name | PON3 |
| Antigen Species | Human |
| Immunogen | KLH-conjugated synthetic peptide corresponding to aa. 10-38 (N-terminus) of Human PON3. |
| Conjugation | Un-conjugated |
| Alternate Names | EC 3.1.8.1; EC 3.1.1.2; Serum paraoxonase/lactonase 3; EC 3.1.1.81 |
Application Instructions
| Application Suggestion |
|
||||||||
|---|---|---|---|---|---|---|---|---|---|
| Application Note | * The dilutions indicate recommended starting dilutions and the optimal dilutions or concentrations should be determined by the scientist. | ||||||||
| Positive Control | HepG2 |
Properties
| Form | Liquid |
|---|---|
| Purification | Purification with Protein A and immunogen peptide. |
| Buffer | PBS and 0.09% (W/V) Sodium azide. |
| Preservative | 0.09% (W/V) Sodium azide. |
| Storage Instruction | For continuous use, store undiluted antibody at 2-8°C for up to a week. For long-term storage, aliquot and store at -20°C or below. Storage in frost free freezers is not recommended. Avoid repeated freeze/thaw cycles. Suggest spin the vial prior to opening. The antibody solution should be gently mixed before use. |
| Note | For laboratory research only, not for drug, diagnostic or other use. |
Bioinformation
| Database Links | |
|---|---|
| Gene Symbol | PON3 |
| Gene Full Name | paraoxonase 3 |
| Background | This gene is a member of the paraoxonase family and lies in a cluster on chromosome 7 with the other two family members. The encoded protein is secreted into the bloodstream and associates with high-density lipoprotein (HDL). The protein also rapidly hydrolyzes lactones and can inhibit the oxidation of low-density lipoprotein (LDL), a function that is believed to slow the initiation and progression of atherosclerosis. Alternatively spliced variants which encode different protein isoforms have been described; however, only one has been fully characterized. [provided by RefSeq, Jul 2008] |
| Function | Has low activity towards the organophosphate paraxon and aromatic carboxylic acid esters. Rapidly hydrolyzes lactones such as statin prodrugs (e.g. lovastatin). Hydrolyzes aromatic lactones and 5- or 6-member ring lactones with aliphatic substituents but not simple lactones or those with polar substituents. [UniProt] |
| Cellular Localization | Secreted, extracellular space. |
| Calculated MW | 40 kDa |
| PTM | The signal sequence is not cleaved. |
Images (3) Click the Picture to Zoom In
-
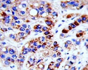
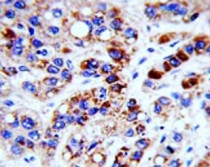
ARG57089 anti-PON3 antibody IHC-P image
Immunohistochemistry: Formalin-fixed and paraffin-embedded Human hepatocarcinoma tissue stained with ARG57089 anti-PON3 antibody.
-
ARG57089 anti-PON3 antibody WB image
Western blot: 35 µg of HepG2 cell lysate stained with ARG57089 anti-PON3 antibody.
-
ARG57089 anti-PON3 antibody FACS image
Flow Cytometry: HepG2 cells stained with ARG57089 anti-PON3 antibody (bottom histogram) or without primary antibody control (top histogram), followed by incubation with FITC labelled secondary antibody.
