ARG45161
anti-PPA2 antibody
anti-PPA2 antibody for ICC/IF,IHC-Formalin-fixed paraffin-embedded sections,Western blot and Human,Mouse
Overview
| Product Description | Rabbit Polyclonal antibody recognizes PPA2 |
|---|---|
| Tested Reactivity | Hu, Ms |
| Tested Application | ICC/IF, IHC-P, WB |
| Host | Rabbit |
| Clonality | Polyclonal |
| Isotype | IgG |
| Target Name | PPA2 |
| Antigen Species | Human |
| Immunogen | Recombinant protein containing to human PPA2. |
| Conjugation | Un-conjugated |
| Alternate Names | PPA2; Inorganic Pyrophosphatase 2; Inorganic pyrophosphatase 2, mitochondrial; Pyrophosphatase SID6-306; Pyrophosphate phospho-hydrolase 2; PPase 2; PPA2; HSPC124 |
Application Instructions
| Application Suggestion |
|
||||||||
|---|---|---|---|---|---|---|---|---|---|
| Application Note | * The dilutions indicate recommended starting dilutions and the optimal dilutions or concentrations should be determined by the scientist. | ||||||||
| Observed Size | 38 kDa |
Properties
| Form | Liquid |
|---|---|
| Purification | Affinity purification with immunogen. |
| Buffer | 0.2% Na2HPO4, 0.9% NaCl and 4% Trehalose. |
| Stabilizer | 4% Trehalose |
| Concentration | 0.5 mg/ml |
| Storage Instruction | For continuous use, store undiluted antibody at 2-8°C for up to a week. For long-term storage, aliquot and store at -20°C or below. Storage in frost free freezers is not recommended. Avoid repeated freeze/thaw cycles. Suggest spin the vial prior to opening. The antibody solution should be gently mixed before use. |
| Note | For laboratory research only, not for drug, diagnostic or other use. |
Bioinformation
| Database Links |
Swiss-port # Q91VM9 Mouse Inorganic pyrophosphatase 2, mitochondrial Swiss-port # Q9H2U2 Human Inorganic pyrophosphatase 2, mitochondrial |
|---|---|
| Gene Symbol | PPA2 |
| Gene Full Name | Inorganic Pyrophosphatase 2 |
| Background | The protein encoded by this gene is localized to the mitochondrion, is highly similar to members of the inorganic pyrophosphatase (PPase) family, and contains the signature sequence essential for the catalytic activity of PPase. PPases catalyze the hydrolysis of pyrophosphate to inorganic phosphate, which is important for the phosphate metabolism of cells. Alternate transcriptional splice variants, encoding different isoforms, have been characterized. [provided by RefSeq, Jul 2008] |
| Function | Hydrolyzes inorganic pyrophosphate |
| Cellular Localization | Mitochondrion. [UniProt] |
| Calculated MW | 38 kDa |
| PTM | Acetylation; Phosphoprotein. [UniProt] |
Images (4) Click the Picture to Zoom In
-
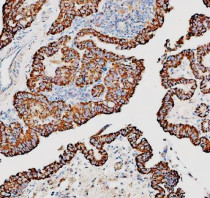
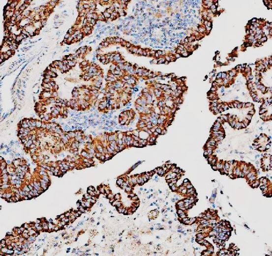
ARG45161 anti-PPA2 antibody IHC-P image
Immunohistochemistry: Human thyroid cancer stained with ARG45161 anti-PPA2 antibody at 2 μg/ml dilution.
-
ARG45161 anti-PPA2 antibody ICC/IF image
Immunofluorescence: U2OS stained with ARG45161 anti-PPA2 antibody at 5 ug/ml dilution.
-
ARG45161 anti-PPA2 antibody WB image
Western blot: 293T, U87, HepG2, and MCF-7 stained with ARG45161 anti-PPA2 antibody at 0.5 μg/ml dilution.
-
ARG45161 anti-PPA2 antibody WB image
Western blot: Mouse heart and mouse kidney stained with ARG45161 anti-PPA2 antibody at 0.5 μg/ml dilution.
