ARG57500
anti-PPID / Cyclophilin 40 antibody [1B8]
anti-PPID / Cyclophilin 40 antibody [1B8] for ICC/IF,Western blot and Human
Overview
| Product Description | Mouse Monoclonal antibody [1B8] recognizes PPID / Cyclophilin 40 |
|---|---|
| Tested Reactivity | Hu |
| Tested Application | ICC/IF, WB |
| Host | Mouse |
| Clonality | Monoclonal |
| Clone | 1B8 |
| Isotype | IgG2b, kappa |
| Target Name | PPID / Cyclophilin 40 |
| Antigen Species | Human |
| Immunogen | Recombinant Human PPID (aa. 1-370) purified from E. coli. |
| Conjugation | Un-conjugated |
| Alternate Names | CYPD; 40 kDa peptidyl-prolyl cis-trans isomerase; PPIase D; CYP-40; Cyclophilin-40; EC 5.2.1.8; Peptidyl-prolyl cis-trans isomerase D; Rotamase D; Cyclophilin-related protein |
Application Instructions
| Application Suggestion |
|
||||||
|---|---|---|---|---|---|---|---|
| Application Note | * The dilutions indicate recommended starting dilutions and the optimal dilutions or concentrations should be determined by the scientist. |
Properties
| Form | Liquid |
|---|---|
| Purification | Purification with Protein A. |
| Buffer | PBS (pH 7.4), 0.02% Sodium azide and 10% Glycerol. |
| Preservative | 0.02% Sodium azide |
| Stabilizer | 10% Glycerol |
| Concentration | 1 mg/ml |
| Storage Instruction | For continuous use, store undiluted antibody at 2-8°C for up to a week. For long-term storage, aliquot and store at -20°C. Storage in frost free freezers is not recommended. Avoid repeated freeze/thaw cycles. Suggest spin the vial prior to opening. The antibody solution should be gently mixed before use. |
| Note | For laboratory research only, not for drug, diagnostic or other use. |
Bioinformation
| Database Links |
Swiss-port # Q08752 Human Peptidyl-prolyl cis-trans isomerase D |
|---|---|
| Gene Symbol | PPID |
| Gene Full Name | peptidylprolyl isomerase D |
| Background | The protein encoded by this gene is a member of the peptidyl-prolyl cis-trans isomerase (PPIase) family. PPIases catalyze the cis-trans isomerization of proline imidic peptide bonds in oligopeptides and accelerate the folding of proteins. This protein has been shown to possess PPIase activity and, similar to other family members, can bind to the immunosuppressant cyclosporin A. [provided by RefSeq, Jul 2008] |
| Function | PPIases accelerate the folding of proteins. It catalyzes the cis-trans isomerization of proline imidic peptide bonds in oligopeptides. Proposed to act as a co-chaperone in HSP90 complexes such as in unligated steroid receptors heterocomplexes. Different co-chaperones seem to compete for association with HSP90 thus establishing distinct HSP90-co-chaperone-receptor complexes with the potential to exert tissue-specific receptor activity control. May have a preference for estrogen receptor complexes and is not found in glucocorticoid receptor complexes. May be involved in cytoplasmic dynein-dependent movement of the receptor from the cytoplasm to the nucleus. May regulate MYB by inhibiting its DNA-binding activity. Involved in regulation of AHR signaling by promoting the formation of the AHR:ARNT dimer; the function is independent of HSP90 but requires the chaperone activity. Involved in regulation of UV radiation-induced apoptosis. Promotes cell viability in anaplastic lymphoma kinase-positive anaplastic large-cell lymphoma (ALK+ ALCL) cell lines. May be involved in hepatitis C virus (HCV) replication and release. [UniProt] |
| Calculated MW | 41 kDa |
Images (2) Click the Picture to Zoom In
-
ARG57500 anti-PPID / Cyclophilin 40 antibody [1B8] ICC/IF image
Immunoflorescense: Hep3B cells stained with ARG57500 anti-PPID / Cyclophilin 40 antibody [1B8] at 1:100 dilution. The secondary antibody (green) was used Alexa Fluor 488. DAPI was stained the cell nucleus (blue).
-
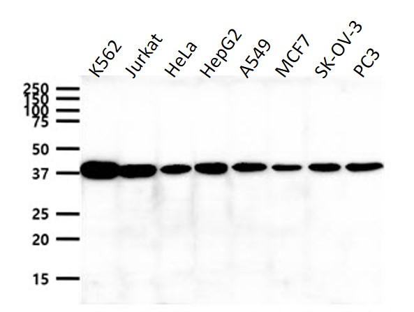
ARG57500 anti-PPID / Cyclophilin 40 antibody [1B8] WB image
Western blot: 40 µg of K562, Jurkat, HeLa, HepG2, A549, MCF7, SK-OV-3 and PC3 cell lysates stained with ARG57500 anti-PPID / Cyclophilin 40 antibody [1B8] at 1:1000 dilution.
