ARG56218
anti-PPP2R2A antibody
anti-PPP2R2A antibody for ICC/IF,IHC-Formalin-fixed paraffin-embedded sections,Western blot and Human
Overview
| Product Description | Rabbit Polyclonal antibody recognizes PPP2R2A |
|---|---|
| Tested Reactivity | Hu |
| Predict Reactivity | Ms, Rat, Mk, Pig, Rb |
| Tested Application | ICC/IF, IHC-P, WB |
| Host | Rabbit |
| Clonality | Polyclonal |
| Isotype | IgG |
| Target Name | PPP2R2A |
| Antigen Species | Human |
| Immunogen | KLH-conjugated synthetic peptide corresponding to aa. 43-71 (N-terminus) of Human PPP2R2A. |
| Conjugation | Un-conjugated |
| Alternate Names | PR55A; B55A; Serine/threonine-protein phosphatase 2A 55 kDa regulatory subunit B alpha isoform; PP2A subunit B isoform B55-alpha; PR52A; PP2A subunit B isoform R2-alpha; PP2A subunit B isoform alpha; B55ALPHA; PP2A subunit B isoform PR55-alpha |
Application Instructions
| Application Suggestion |
|
||||||||
|---|---|---|---|---|---|---|---|---|---|
| Application Note | * The dilutions indicate recommended starting dilutions and the optimal dilutions or concentrations should be determined by the scientist. | ||||||||
| Positive Control | ZR-75-1 |
Properties
| Form | Liquid |
|---|---|
| Purification | Purification with Protein A and immunogen peptide. |
| Buffer | PBS and 0.09% (W/V) Sodium azide. |
| Preservative | 0.09% (W/V) Sodium azide. |
| Storage Instruction | For continuous use, store undiluted antibody at 2-8°C for up to a week. For long-term storage, aliquot and store at -20°C. Storage in frost free freezers is not recommended. Avoid repeated freeze/thaw cycles. Suggest spin the vial prior to opening. The antibody solution should be gently mixed before use. |
| Note | For laboratory research only, not for drug, diagnostic or other use. |
Bioinformation
| Database Links |
Swiss-port # P63151 Human Serine/threonine-protein phosphatase 2A 55 kDa regulatory subunit B alpha |
|---|---|
| Gene Symbol | PPP2R2A |
| Gene Full Name | protein phosphatase 2, regulatory subunit B, alpha |
| Background | The product of this gene belongs to the phosphatase 2 regulatory subunit B family. Protein phosphatase 2 is one of the four major Ser/Thr phosphatases, and it is implicated in the negative control of cell growth and division. It consists of a common heteromeric core enzyme, which is composed of a catalytic subunit and a constant regulatory subunit, that associates with a variety of regulatory subunits. The B regulatory subunit might modulate substrate selectivity and catalytic activity. This gene encodes an alpha isoform of the regulatory subunit B55 subfamily. Alternatively spliced transcript variants have been described. [provided by RefSeq, Apr 2010] |
| Function | The B regulatory subunit might modulate substrate selectivity and catalytic activity, and also might direct the localization of the catalytic enzyme to a particular subcellular compartment. [UniProt] |
| Calculated MW | 52 kDa |
Images (3) Click the Picture to Zoom In
-
ARG56218 anti-PPP2R2A antibody ICC/IF image
Immunofluorescence: HeLa cells stained with ARG56218 anti-PPP2R2A antibody (green) at 1:25 dilution. Cytoplasmic actin was counterstained with Alexa Fluor® 555 conjugated with Phalloidin (red).
-
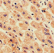
ARG56218 anti-PPP2R2A antibody IHC-P image
Immunohistochemistry: Paraffin-embedded Human liver tissue stained with ARG56218 anti-PPP2R2A antibody at 1:25 dilution.
-
ARG56218 anti-PPP2R2A antibody WB image
Western blot: 35 µg of ZR-75-1 cell lysate stained with ARG56218 anti-PPP2R2A antibody.
