ARG63448
anti-PPP2R5A antibody
anti-PPP2R5A antibody for IHC-Formalin-fixed paraffin-embedded sections,Western blot and Human
Neuroscience antibody; Signaling Transduction antibody
Overview
| Product Description | Goat Polyclonal antibody recognizes PPP2R5A |
|---|---|
| Tested Reactivity | Hu |
| Predict Reactivity | Cow, Rat, Dog, Pig |
| Tested Application | IHC-P, WB |
| Host | Goat |
| Clonality | Polyclonal |
| Isotype | IgG |
| Target Name | PPP2R5A |
| Antigen Species | Human |
| Immunogen | C-AYNMHSILSNTSAE |
| Conjugation | Un-conjugated |
| Alternate Names | PR61A; B56A; PP2A B subunit isoform R5-alpha; PR61alpha; PP2A B subunit isoform PR61-alpha; PP2A B subunit isoform B'-alpha; Serine/threonine-protein phosphatase 2A 56 kDa regulatory subunit alpha isoform; PP2A B subunit isoform B56-alpha |
Application Instructions
| Application Suggestion |
|
||||||
|---|---|---|---|---|---|---|---|
| Application Note | IHC-P: Antigen Retrieval: Steam tissue section in Citrate buffer (pH 6.0). WB: Recommend incubate at RT for 1h. * The dilutions indicate recommended starting dilutions and the optimal dilutions or concentrations should be determined by the scientist. |
Properties
| Form | Liquid |
|---|---|
| Purification | Purified from goat serum by antigen affinity chromatography. |
| Buffer | Tris saline (pH 7.3), 0.02% Sodium azide and 0.5% BSA. |
| Preservative | 0.02% Sodium azide |
| Stabilizer | 0.5% BSA |
| Concentration | 0.5 mg/ml |
| Storage Instruction | For continuous use, store undiluted antibody at 2-8°C for up to a week. For long-term storage, aliquot and store at -20°C or below. Storage in frost free freezers is not recommended. Avoid repeated freeze/thaw cycles. Suggest spin the vial prior to opening. The antibody solution should be gently mixed before use. |
| Note | For laboratory research only, not for drug, diagnostic or other use. |
Bioinformation
| Database Links |
Swiss-port # Q15172 Human Serine/threonine-protein phosphatase 2A 56 kDa regulatory subunit alpha is |
|---|---|
| Background | The product of this gene belongs to the phosphatase 2A regulatory subunit B family. Protein phosphatase 2A is one of the four major Ser/Thr phosphatases, and it is implicated in the negative control of cell growth and division. It consists of a common heteromeric core enzyme, which is composed of a catalytic subunit and a constant regulatory subunit, that associates with a variety of regulatory subunits. The B regulatory subunit might modulate substrate selectivity and catalytic activity. This gene encodes an alpha isoform of the regulatory subunit B56 subfamily. Alternative transcript variants encoding distinct isoforms have been found for this gene. [provided by RefSeq, Dec 2010] |
| Research Area | Neuroscience antibody; Signaling Transduction antibody |
| Calculated MW | 56 kDa |
| PTM | Phosphorylated on serine residues. |
Images (2) Click the Picture to Zoom In
-
ARG63448 anti-PPP2R5A antibody WB image
Western Blot: human muscle lysate (RIPA buffer, 35 µg total protein per lane) stained with ARG63448 anti-PPP2R5A antibody at 0.5 µg/ml dilution.
-
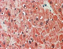
ARG63448 anti-PPP2R5A antibody IHC-P image
Immunohistochemistry: paraffin embedded Human Heart. (Steamed antigen retrieval with citrate buffer pH 6) stained with ARG63448 anti-PPP2R5A antibody at 5 µg/ml dilution followed by AP-staining.
