ARG45607
anti-PPP2R5E antibody
anti-PPP2R5E antibody for Flow cytometry,IHC-Formalin-fixed paraffin-embedded sections,Western blot and Human,Mouse,Rat
Overview
| Product Description | Rabbit Polyclonal antibody recognizes PPP2R5E |
|---|---|
| Tested Reactivity | Hu, Ms, Rat |
| Tested Application | FACS, IHC-P, WB |
| Host | Rabbit |
| Clonality | Polyclonal |
| Isotype | IgG |
| Target Name | PPP2R5E |
| Antigen Species | Human |
| Immunogen | Recombinant protein containing to human PPP2R5E. |
| Conjugation | Un-conjugated |
| Alternate Names | PPP2R5E; Protein Phosphatase 2 Regulatory Subunit B'Epsilon; PP2A B subunit isoform R5-epsilon; PP2A B subunit isoform PR61-epsilon; PP2A B subunit isoform B56-epsilon; PP2A B subunit isoform B'-epsilon; Serine/threonine-protein phosphatase 2A 56 kDa regulatory subunit epsilon isoform |
Application Instructions
| Application Suggestion |
|
||||||||
|---|---|---|---|---|---|---|---|---|---|
| Application Note | * The dilutions indicate recommended starting dilutions and the optimal dilutions or concentrations should be determined by the scientist. |
Properties
| Form | Liquid |
|---|---|
| Purification | Affinity purified |
| Buffer | 0.2% Na2HPO4, 0.9% NaCl and 4% Trehalose. |
| Stabilizer | 4% Trehalose |
| Concentration | 0.5 mg/ml |
| Storage Instruction | For continuous use, store undiluted antibody at 2-8°C for up to a week. For long-term storage, aliquot and store at -20°C or below. Storage in frost free freezers is not recommended. Avoid repeated freeze/thaw cycles. Suggest spin the vial prior to opening. The antibody solution should be gently mixed before use. |
| Note | For laboratory research only, not for drug, diagnostic or other use. |
Bioinformation
| Database Links |
Swiss-port # Q14157 Human Ubiquitin-associated protein 2-like Swiss-port # Q80X50 Mouse Ubiquitin-associated protein 2-like |
|---|---|
| Gene Symbol | PPP2R5E |
| Gene Full Name | Protein Phosphatase 2 Regulatory Subunit B'Epsilon |
| Background | The product of this gene belongs to the phosphatase 2A regulatory subunit B family. Protein phosphatase 2A is one of the four major Ser/Thr phosphatases, and it is implicated in the negative control of cell growth and division. It consists of a common heteromeric core enzyme, which is composed of a catalytic subunit and a constant regulatory subunit, that associates with a variety of regulatory subunits. The B regulatory subunit might modulate substrate selectivity and catalytic activity. This gene encodes an epsilon isoform of the regulatory subunit B56 subfamily. [provided by RefSeq, Jul 2008] |
| Function | The B regulatory subunit might modulate substrate selectivity and catalytic activity, and also might direct the localization of the catalytic enzyme to a particular subcellular compartment. [UniProt] |
| Cellular Localization | Cytoplasm. [UniProt] |
| Calculated MW | 55 kDa |
| PTM | Phosphorylated on serine residues.. [UniProt] |
Images (4) Click the Picture to Zoom In
-
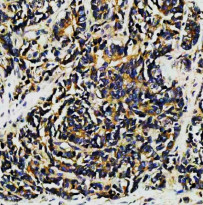
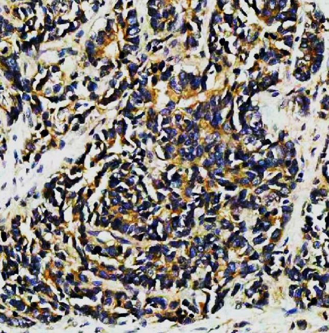
ARG45607 anti-PPP2R5E antibody IHC-P image
Immunohistochemistry: Human colon cancer stained with ARG45607 anti-PPP2R5E antibody at 2 μg/ml dilution.
-
ARG45607 anti-PPP2R5E antibody FACS image
Flow Cytometry: A431 stained with ARG45607 anti-PPP2R5E antibody at 1 µg/10^6 cells dilution.
-
ARG45607 anti-PPP2R5E antibody WB image
Western blot: Rat brain stained with ARG45607 anti-PPP2R5E antibody at 0.5 μg/ml dilution.
-
ARG45607 anti-PPP2R5E antibody WB image
Western blot: Mouse brain stained with ARG45607 anti-PPP2R5E antibody at 0.5 μg/ml dilution.
