ARG56214
anti-PPT1 antibody [1117CT11.2.1.4]
anti-PPT1 antibody [1117CT11.2.1.4] for Flow cytometry,IHC-Formalin-fixed paraffin-embedded sections,Western blot and Human,Mouse,Rat
Overview
| Product Description | Mouse Monoclonal antibody recognizes PPT1 |
|---|---|
| Tested Reactivity | Hu, Ms, Rat |
| Tested Application | FACS, IHC-P, WB |
| Host | Mouse |
| Clonality | Monoclonal |
| Clone | 1117CT11.2.1.4 |
| Isotype | IgG1 |
| Target Name | PPT1 |
| Antigen Species | Human |
| Immunogen | Recombinant protein from Human PPT1. |
| Conjugation | Un-conjugated |
| Alternate Names | EC 3.1.2.22; Palmitoyl-protein thioesterase 1; PPT-1; Palmitoyl-protein hydrolase 1; CLN1; PPT; INCL |
Application Instructions
| Application Suggestion |
|
||||||||
|---|---|---|---|---|---|---|---|---|---|
| Application Note | * The dilutions indicate recommended starting dilutions and the optimal dilutions or concentrations should be determined by the scientist. | ||||||||
| Positive Control | HeLa |
Properties
| Form | Liquid |
|---|---|
| Purification | Purification with Protein G. |
| Buffer | PBS and 0.09% (W/V) Sodium azide. |
| Preservative | 0.09% (W/V) Sodium azide. |
| Storage Instruction | For continuous use, store undiluted antibody at 2-8°C for up to a week. For long-term storage, aliquot and store at -20°C. Storage in frost free freezers is not recommended. Avoid repeated freeze/thaw cycles. Suggest spin the vial prior to opening. The antibody solution should be gently mixed before use. |
| Note | For laboratory research only, not for drug, diagnostic or other use. |
Bioinformation
| Database Links | |
|---|---|
| Gene Symbol | PPT1 |
| Gene Full Name | palmitoyl-protein thioesterase 1 |
| Background | The protein encoded by this gene is a small glycoprotein involved in the catabolism of lipid-modified proteins during lysosomal degradation. The encoded enzyme removes thioester-linked fatty acyl groups such as palmitate from cysteine residues. Defects in this gene are a cause of infantile neuronal ceroid lipofuscinosis 1 (CLN1, or INCL) and neuronal ceroid lipofuscinosis 4 (CLN4). Two transcript variants encoding different isoforms have been found for this gene.[provided by RefSeq, Dec 2008] |
| Function | Removes thioester-linked fatty acyl groups such as palmitate from modified cysteine residues in proteins or peptides during lysosomal degradation. Prefers acyl chain lengths of 14 to 18 carbons. [UniProt] |
| Cellular Localization | Lysosome. |
| Calculated MW | 34 kDa |
| PTM | Glycosylated. |
Images (3) Click the Picture to Zoom In
-
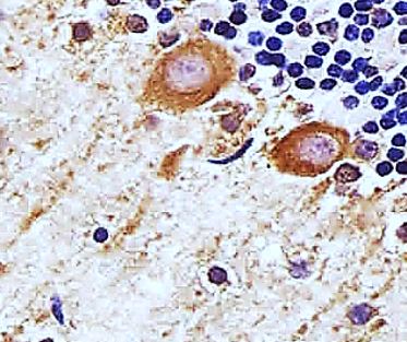
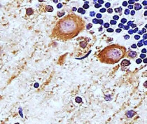
ARG56214 anti-PPT1 antibody IHC-P image
Immunohistochemistry: Paraffin-embedded Mouse cerebellum tissue stained with ARG56214 anti-PPT1 antibody at 1:25 dilution.
-
ARG56214 anti-PPT1 antibody WB image
Western blot: 20 µg of HeLa cell lysate stained with ARG56214 anti-PPT1 antibody at 1:2000 dilution.
-
ARG56214 anti-PPT1 antibody FACS image
Flow Cytometry: HepG2 cells stained with ARG56214 anti-PPT1 antibody (right histogram) at 1:25 dilution or isotype control antibody (left histogram), followed by incubation with Alexa Fluor® 488 labelled secondary antibody.
