ARG63788
anti-PPY / Pancreatic Polypeptide antibody
anti-PPY / Pancreatic Polypeptide antibody for Flow cytometry,ICC/IF,IHC-Formalin-fixed paraffin-embedded sections,Western blot and Human,Rat
Signaling Transduction antibody
Overview
| Product Description | Goat Polyclonal antibody recognizes PPY / Pancreatic Polypeptide |
|---|---|
| Tested Reactivity | Hu, Rat |
| Predict Reactivity | Ms, Dog |
| Tested Application | FACS, ICC/IF, IHC-P, WB |
| Host | Goat |
| Clonality | Polyclonal |
| Isotype | IgG |
| Target Name | PPY / Pancreatic Polypeptide |
| Antigen Species | Human |
| Immunogen | C-TRPRYGKRHKEDT |
| Conjugation | Un-conjugated |
| Alternate Names | PP; Obinepitide; Pancreatic polypeptide; PNP; Pancreatic prohormone; PI; PH |
Application Instructions
| Application Suggestion |
|
||||||||||
|---|---|---|---|---|---|---|---|---|---|---|---|
| Application Note | IHC-P: Antigen Retrieval: Steam tissue section in Citrate buffer (pH 6.0) or microwave tissue section in Tris/EDTA buffer (pH 9.0). * The dilutions indicate recommended starting dilutions and the optimal dilutions or concentrations should be determined by the scientist. |
Properties
| Form | Liquid |
|---|---|
| Purification | Purified from goat serum by antigen affinity chromatography. |
| Buffer | Tris saline (pH 7.3), 0.02% Sodium azide and 0.5% BSA. |
| Preservative | 0.02% Sodium azide |
| Stabilizer | 0.5% BSA |
| Concentration | 0.5 mg/ml |
| Storage Instruction | For continuous use, store undiluted antibody at 2-8°C for up to a week. For long-term storage, aliquot and store at -20°C or below. Storage in frost free freezers is not recommended. Avoid repeated freeze/thaw cycles. Suggest spin the vial prior to opening. The antibody solution should be gently mixed before use. |
| Note | For laboratory research only, not for drug, diagnostic or other use. |
Bioinformation
| Database Links | |
|---|---|
| Background | This gene belongs to the NPY family and it encodes a protein that is synthesized as a 95 aa polypeptide precursor in the pancreatic islets of Langerhans. It is cleaved into two peptide products; the active hormone of 36 aa and an icosapeptide of unknown function. The hormone acts as a regulator of pancreatic and gastrointestinal functions and may be important in the regulation of food intake. Plasma level of this hormone has been shown to be reduced in conditions associated with increased food intake and elevated in anorexia nervosa. In addition, infusion of this hormone in obese rodents has shown to decrease weight gain. [provided by RefSeq, Jul 2008] |
| Research Area | Signaling Transduction antibody |
| Calculated MW | 10 kDa |
Images (4) Click the Picture to Zoom In
-
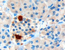
ARG63788 anti-PPY / Pancreatic Polypeptide antibody IHC-P image
Immunohistochemistry: Paraffin-embedded Human pancreas tissue. Antigen Retrieval: Steam tissue section in Citrate buffer (pH 6.0). The tissue section was stained with ARG63788 anti-PPY / Pancreatic Polypeptide antibody at 5 µg/ml dilution followed by AP-staining.
-
ARG63788 anti-PPY / Pancreatic Polypeptide antibody FACS image
Flow Cytometry: Paraformaldehyde-fixed U2OS cells permeabilized with 0.5% Triton. Cells were stained with ARG63788 anti-PPY / Pancreatic Polypeptide antibody (blue line) at 10 µg/ml for 1 hour, followed by incubation with Alexa Fluor® 488 labelled secondary antibody. IgG control: Unimmunized Goat IgG (black line), followed by incubation with Alexa Fluor® 488 labelled secondary antibody.
-
ARG63788 anti-PPY / Pancreatic Polypeptide antibody IHC-P image
Immunohistochemistry: Paraffin-embedded Human intestine tissue. Antigen Retrieval: Steam tissue section in Citrate buffer (pH 6.0). The tissue section was stained with ARG63788 anti-PPY / Pancreatic Polypeptide antibody at 5 µg/ml dilution followed by AP-staining.
-
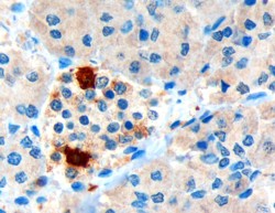
ARG63788 anti-PPY / Pancreatic Polypeptide antibody IHC-P image
Immunohistochemistry: Paraffin embedded Human pancreas tissue. Antigen Retrieval: Microwaved tissue section in Tris/EDTA buffer (pH 9.0). The tissue section was stained with ARG63788 anti-PPY / Pancreatic Polypeptide antibody at 3 µg/ml dilution followed by HRP-staining.
