ARG58008
anti-PRAF2 / JM4 antibody
anti-PRAF2 / JM4 antibody for IHC-Formalin-fixed paraffin-embedded sections,Western blot and Human,Mouse,Rat
Overview
| Product Description | Rabbit Polyclonal antibody recognizes PRAF2 / JM4 |
|---|---|
| Tested Reactivity | Hu, Ms, Rat |
| Tested Application | IHC-P, WB |
| Host | Rabbit |
| Clonality | Polyclonal |
| Isotype | IgG |
| Target Name | PRAF2 / JM4 |
| Antigen Species | Human |
| Immunogen | Synthetic peptide corresponding to aa. 141-190 of Human PRAF2 / JM4. |
| Conjugation | Un-conjugated |
| Alternate Names | PRA1 family protein 2; JM4 |
Application Instructions
| Application Suggestion |
|
||||||
|---|---|---|---|---|---|---|---|
| Application Note | * The dilutions indicate recommended starting dilutions and the optimal dilutions or concentrations should be determined by the scientist. |
Properties
| Form | Liquid |
|---|---|
| Purification | Affinity purification with immunogen. |
| Purity | > 95% (by SDS-PAGE) |
| Buffer | PBS (pH 7.2) and 0.05% Sodium azide. |
| Preservative | 0.05% Sodium azide |
| Concentration | 1 mg/ml |
| Storage Instruction | For continuous use, store undiluted antibody at 2-8°C for up to a week. For long-term storage, aliquot and store at -20°C or below. Storage in frost free freezers is not recommended. Avoid repeated freeze/thaw cycles. Suggest spin the vial prior to opening. The antibody solution should be gently mixed before use. |
| Note | For laboratory research only, not for drug, diagnostic or other use. |
Bioinformation
| Database Links | |
|---|---|
| Gene Symbol | PRAF2 |
| Gene Full Name | PRA1 domain family, member 2 |
| Function | May be involved in ER/Golgi transport and vesicular traffic. Plays a proapoptic role in cerulenin-induced neuroblastoma apoptosis. [UniProt] |
| Calculated MW | 19 kDa |
Images (3) Click the Picture to Zoom In
-
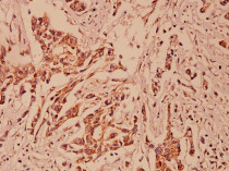
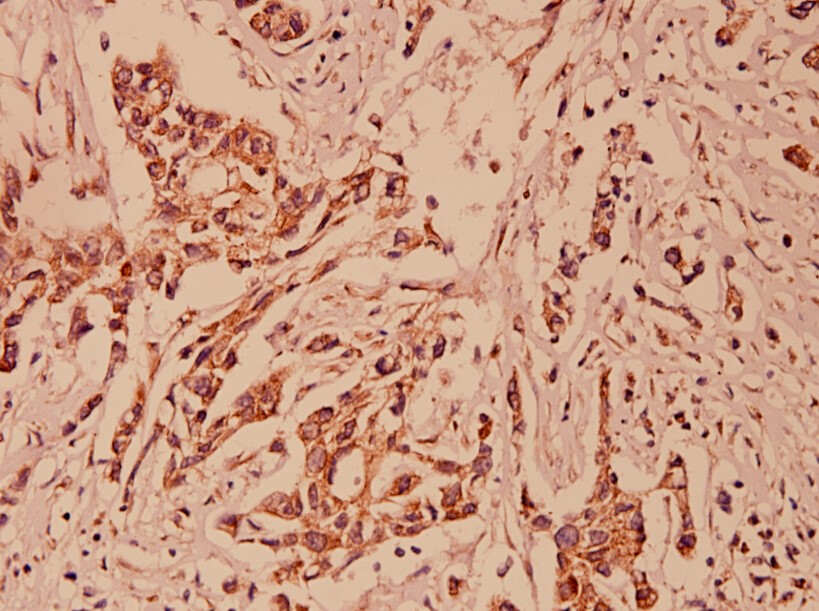
ARG58008 anti-PRAF2 / JM4 antibody IHC-P image
Immunohistochemistry: Paraffin-embedded Human breast carcinoma tissue stained with ARG58008 anti-PRAF2 / JM4 antibody at 1:100 dilution.
-
ARG58008 anti-PRAF2 / JM4 antibody WB image
Western blot: 40 µg of Mouse brain, Rat brain, HCT116, A549 and MCF7 whole cell lysates stained with ARG58008 anti-PRAF2 / JM4 antibody at 1:500 dilution.
-
ARG58008 anti-PRAF2 / JM4 antibody WB image
Western blot: 40 µg of MCF7, HCT116, Mouse brain and Rat brain lysates stained with ARG58008 anti-PRAF2 / JM4 antibody at 1:500 dilution.
