ARG46404
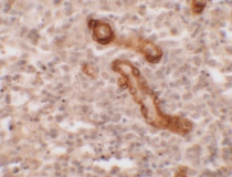
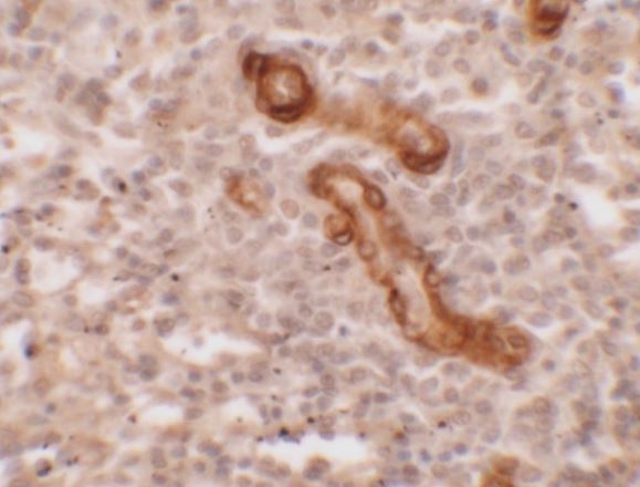
anti-PRKCDBP antibody
anti-PRKCDBP antibody for Western blot,IHC-Formalin-fixed paraffin-embedded sections and Human,Mouse
Overview
| Product Description | Rabbit Polyclonal antibody recognizes PRKCDBP |
|---|---|
| Tested Reactivity | Hu, Ms |
| Tested Application | IHC-P, WB |
| Host | Rabbit |
| Clonality | Polyclonal |
| Isotype | IgG |
| Target Name | PRKCDBP |
| Antigen Species | Human |
| Immunogen | A 17 amino acid synthetic peptide within the last 50 amino acids of human PRKCDBP. |
| Conjugation | Un-conjugated |
| Alternate Names | CAVIN3; CAVIN3; Serum deprivation response factor-related gene product that binds to C-kinase; cavin-3; hSRBC; SRBC; Protein kinase C delta-binding protein; HSRBC; Cavin-3 |
Application Instructions
| Application Suggestion |
|
||||||
|---|---|---|---|---|---|---|---|
| Application Note | * The dilutions indicate recommended starting dilutions and the optimal dilutions or concentrations should be determined by the scientist. |
Properties
| Purification | Affinity chromatography purified |
|---|---|
| Buffer | PBS and 0.02% Sodium azide. |
| Preservative | 0.02% Sodium azide |
| Concentration | 1 mg/ml |
| Storage Instruction | For continuous use, store undiluted antibody at 2-8°C for up to a week. For long-term storage, aliquot and store at -20°C. Storage in frost free freezers is not recommended. Avoid repeated freeze/thaw cycles. Suggest spin the vial prior to opening. The antibody solution should be gently mixed before use. |
| Note | For laboratory research only, not for drug, diagnostic or other use. |
Bioinformation
| Database Links |
Swiss-port # Q91VJ2 Mouse Protein kinase C delta-binding protein Swiss-port # Q969G5 Human Protein kinase C delta-binding protein |
|---|---|
| Gene Symbol | CAVIN3 |
| Gene Full Name | protein kinase C, delta binding protei |
| Background | The protein encoded by this gene was identified as a binding protein of the protein kinase C, delta (PRKCD). The expression of this gene in cultured cell lines is strongly induced by serum starvation. The expression of this protein was found to be down-regulated in various cancer cell lines, suggesting the possible tumor suppressor function of this protein. [provided by RefSeq, Jul 2008] |
| Calculated MW | 28 kDa |
| PTM | In vitro, phosphorylated by PRKCD. |
Images (2) Click the Picture to Zoom In
