ARG42069
anti-PRKRA antibody
anti-PRKRA antibody for Flow cytometry,IHC-Formalin-fixed paraffin-embedded sections,Western blot and Human
Overview
| Product Description | Rabbit Polyclonal antibody recognizes PRKRA |
|---|---|
| Tested Reactivity | Hu |
| Predict Reactivity | Bov, Rat |
| Tested Application | FACS, IHC-P, WB |
| Host | Rabbit |
| Clonality | Polyclonal |
| Isotype | IgG |
| Target Name | PRKRA |
| Antigen Species | Human |
| Immunogen | KLH-conjugated synthetic peptide between aa. 225-252 of Human PRKRA. |
| Conjugation | Un-conjugated |
| Alternate Names | PACT; DYT16; Protein kinase, interferon-inducible double-stranded RNA-dependent activator; HSD14; Interferon-inducible double-stranded RNA-dependent protein kinase activator A; PKR-associating protein X; Protein activator of the interferon-induced protein kinase; PKR-associated protein X; RAX |
Application Instructions
| Application Suggestion |
|
||||||||
|---|---|---|---|---|---|---|---|---|---|
| Application Note | * The dilutions indicate recommended starting dilutions and the optimal dilutions or concentrations should be determined by the scientist. | ||||||||
| Positive Control | HL-60 | ||||||||
| Observed Size | ~ 34 kDa |
Properties
| Form | Liquid |
|---|---|
| Purification | Purification with Protein A and immunogen peptide. |
| Buffer | PBS and 0.09% (W/V) Sodium azide. |
| Preservative | 0.09% (W/V) Sodium azide. |
| Storage Instruction | For continuous use, store undiluted antibody at 2-8°C for up to a week. For long-term storage, aliquot and store at -20°C or below. Storage in frost free freezers is not recommended. Avoid repeated freeze/thaw cycles. Suggest spin the vial prior to opening. The antibody solution should be gently mixed before use. |
| Note | For laboratory research only, not for drug, diagnostic or other use. |
Bioinformation
| Database Links |
Swiss-port # O75569 Human Interferon-inducible double-stranded RNA-dependent protein kinase activato |
|---|---|
| Gene Symbol | PRKRA |
| Gene Full Name | protein kinase, interferon-inducible double stranded RNA dependent activator |
| Background | This gene encodes a protein kinase activated by double-stranded RNA which mediates the effects of interferon in response to viral infection. Mutations in this gene have been associated with dystonia. Alternative splicing results in multiple transcript variants. [provided by RefSeq, Nov 2008] |
| Function | Activates EIF2AK2/PKR in the absence of double-stranded RNA (dsRNA), leading to phosphorylation of EIF2S1/EFI2-alpha and inhibition of translation and induction of apoptosis. Required for siRNA production by DICER1 and for subsequent siRNA-mediated post-transcriptional gene silencing. Does not seem to be required for processing of pre-miRNA to miRNA by DICER1. Promotes UBC9-p53/TP53 association and sumoylation and phosphorylation of p53/TP53 at 'Lys-386' at 'Ser-392' respectively and enhances its activity in a EIF2AK2/PKR-dependent manner (By similarity). [UniProt] |
| Cellular Localization | Cytoplasm, perinuclear region. Cytoplasm. [UniProt] |
| Calculated MW | 34 kDa |
| PTM | Phosphorylated at Ser-246 in unstressed cells and at Ser-287 in stressed cells. Phosphorylation at Ser-246 appears to be a prerequisite for subsequent phosphorylation at Ser-287. Phosphorylation at Ser-246 and Ser-287 are necessary for activation of EIF2AK2/PKR under conditions of stress. [UniProt] |
Images (3) Click the Picture to Zoom In
-
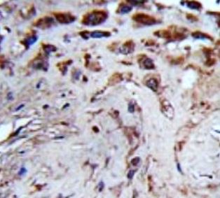
ARG42069 anti-PRKRA antibody IHC-P image
Immunohistochemistry: Formalin-fixed and paraffin-embedded Human placenta tissue stained with ARG42069 anti-PRKRA antibody.
-
ARG42069 anti-PRKRA antibody WB image
Western blot: 35 µg of HL-60 cell lysate stained with ARG42069 anti-PRKRA antibody.
-
ARG42069 anti-PRKRA antibody FACS image
Flow Cytometry: HL-60 cells stained with ARG42069 anti-PRKRA antibody (bottom histogram) or without primary antibody as control (top histogram), followed by incubation with FITC labelled secondary antibody.
