ARG59434
anti-PRX / Periaxin antibody
anti-PRX / Periaxin antibody for Flow cytometry,Western blot and Human,Mouse,Rat
Overview
| Product Description | Rabbit Polyclonal antibody recognizes PRX / Periaxin |
|---|---|
| Tested Reactivity | Hu, Ms, Rat |
| Tested Application | FACS, WB |
| Host | Rabbit |
| Clonality | Polyclonal |
| Isotype | IgG |
| Target Name | PRX / Periaxin |
| Antigen Species | Human |
| Immunogen | Recombinant protein corresponding to M1-K91 of Human PRX / Periaxin. |
| Conjugation | Un-conjugated |
| Alternate Names | Periaxin; CMT4F |
Application Instructions
| Application Suggestion |
|
||||||
|---|---|---|---|---|---|---|---|
| Application Note | * The dilutions indicate recommended starting dilutions and the optimal dilutions or concentrations should be determined by the scientist. |
Properties
| Form | Liquid |
|---|---|
| Purification | Affinity purification with immunogen. |
| Buffer | 0.9% NaCl, 0.2% Na2HPO4, 0.05% Sodium azide and 4% Trehalose. |
| Preservative | 0.05% Sodium azide |
| Stabilizer | 4% Trehalose |
| Concentration | 0.5 mg/ml |
| Storage Instruction | For continuous use, store undiluted antibody at 2-8°C for up to a week. For long-term storage, aliquot and store at -20°C or below. Storage in frost free freezers is not recommended. Avoid repeated freeze/thaw cycles. Suggest spin the vial prior to opening. The antibody solution should be gently mixed before use. |
| Note | For laboratory research only, not for drug, diagnostic or other use. |
Bioinformation
| Database Links | |
|---|---|
| Gene Symbol | PRX |
| Gene Full Name | periaxin |
| Background | This gene encodes a protein involved in peripheral nerve myelin upkeep. The encoded protein contains 2 PDZ domains which were named after PSD95 (post synaptic density protein), DlgA (Drosophila disc large tumor suppressor), and ZO1 (a mammalian tight junction protein). Two alternatively spliced transcript variants have been described for this gene which encode different protein isoforms and which are targeted differently in the Schwann cell. Mutations in this gene cause Charcot-Marie-Tooth neuoropathy, type 4F and Dejerine-Sottas neuropathy. [provided by RefSeq, Jul 2008] |
| Function | Seems to be required for maintenance of peripheral nerve myelin sheath. May have a role in axon-glial interactions, possibly by interacting with the cytoplasmic domains of integral membrane proteins such as myelin-associated glycoprotein in the periaxonal regions of the Schwann cell plasma membrane. May have a role in the early phases of myelin deposition. [UniProt] |
| Cellular Localization | Isoform 1: Cell membrane; Peripheral membrane protein; Cytoplasmic side. Nucleus. Cytoplasm. Note=Detected in the Schwann cell nucleus prior to the onset of myelination. Detected in Schwann cells at periaxonal myelin membranes. Associated with the cell membrane during myelination. Isoform 2: Cytoplasm. Cell membrane. Cell junction. Note=Colocalizes with ACTB at tricellular junctions between eye lens fiber cells. [UniProt] |
| Calculated MW | 155 kDa |
Images (3) Click the Picture to Zoom In
-
ARG59434 anti-PRX / Periaxin antibody FACS image
Flow Cytometry: A549 cells were blocked with 10% normal goat serum and then stained with ARG59434 anti-PRX / Periaxin antibody (blue) at 1 µg/10^6 cells for 30 min at 20°C, followed by DyLight®488 labelled secondary antibody. Isotype control antibody (green) was rabbit IgG (1 µg/10^6 cells) used under the same conditions. Unlabelled sample (red) was also used as a control.
-
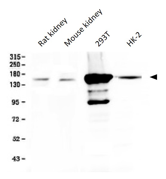
ARG59434 anti-PRX / Periaxin antibody WB image
Western blot: 50 µg of samples under reducing conditions. Rat kidney, Mouse kidney, 293T and HK-2 whole cell lysates stained with ARG59434 anti-PRX / Periaxin antibody at 0.5 µg/ml, overnight at 4°C.
-
ARG59434 anti-PRX / Periaxin antibody FACS image
Flow Cytometry: K562 cells were blocked with 10% normal goat serum and then stained with ARG59434 anti-PRX / Periaxin antibody (blue) at 1 µg/10^6 cells for 30 min at 20°C, followed by DyLight®488 labelled secondary antibody. Isotype control antibody (green) was rabbit IgG (1 µg/10^6 cells) used under the same conditions. Unlabelled sample (red) was also used as a control.
