ARG59906
anti-PSMC3 / TBP1 antibody
anti-PSMC3 / TBP1 antibody for IHC-Formalin-fixed paraffin-embedded sections,Western blot and Human,Mouse,Rat
Overview
| Product Description | Rabbit Polyclonal antibody recognizes PSMC3 / TBP1 |
|---|---|
| Tested Reactivity | Hu, Ms, Rat |
| Tested Application | IHC-P, WB |
| Host | Rabbit |
| Clonality | Polyclonal |
| Isotype | IgG |
| Target Name | PSMC3 / TBP1 |
| Antigen Species | Human |
| Immunogen | Recombinant fusion protein corresponding to aa. 1-180 of Human PSMC3 (NP_002799.3). |
| Conjugation | Un-conjugated |
| Alternate Names | Proteasome 26S subunit ATPase 3; Proteasome subunit P50; TBP1; TBP-1; 26S protease regulatory subunit 6A; Tat-binding protein 1; 26S proteasome AAA-ATPase subunit RPT5 |
Application Instructions
| Application Suggestion |
|
||||||
|---|---|---|---|---|---|---|---|
| Application Note | * The dilutions indicate recommended starting dilutions and the optimal dilutions or concentrations should be determined by the scientist. | ||||||
| Positive Control | Mouse testis | ||||||
| Observed Size | 49 kDa |
Properties
| Form | Liquid |
|---|---|
| Purification | Affinity purified. |
| Buffer | PBS (pH 7.3), 0.02% Sodium azide and 50% Glycerol. |
| Preservative | 0.02% Sodium azide |
| Stabilizer | 50% Glycerol |
| Storage Instruction | For continuous use, store undiluted antibody at 2-8°C for up to a week. For long-term storage, aliquot and store at -20°C. Storage in frost free freezers is not recommended. Avoid repeated freeze/thaw cycles. Suggest spin the vial prior to opening. The antibody solution should be gently mixed before use. |
| Note | For laboratory research only, not for drug, diagnostic or other use. |
Bioinformation
| Database Links | |
|---|---|
| Gene Symbol | PSMC3 |
| Gene Full Name | proteasome 26S subunit, ATPase 3 |
| Background | The 26S proteasome is a multicatalytic proteinase complex with a highly ordered structure composed of 2 complexes, a 20S core and a 19S regulator. The 20S core is composed of 4 rings of 28 non-identical subunits; 2 rings are composed of 7 alpha subunits and 2 rings are composed of 7 beta subunits. The 19S regulator is composed of a base, which contains 6 ATPase subunits and 2 non-ATPase subunits, and a lid, which contains up to 10 non-ATPase subunits. Proteasomes are distributed throughout eukaryotic cells at a high concentration and cleave peptides in an ATP/ubiquitin-dependent process in a non-lysosomal pathway. An essential function of a modified proteasome, the immunoproteasome, is the processing of class I MHC peptides. This gene encodes one of the ATPase subunits, a member of the triple-A family of ATPases that have chaperone-like activity. This subunit may compete with PSMC2 for binding to the HIV tat protein to regulate the interaction between the viral protein and the transcription complex. A pseudogene has been identified on chromosome 9. [provided by RefSeq, Jul 2008] |
| Function | The 26S protease is involved in the ATP-dependent degradation of ubiquitinated proteins. The regulatory (or ATPase) complex confers ATP dependency and substrate specificity to the 26S complex (By similarity). In case of HIV-1 infection, suppresses Tat-mediated transactivation. [UniProt] |
| Cellular Localization | Cytoplasm. Nucleus. Note=Colocalizes with TRIM5 in the cytoplasmic bodies. [UniProt] |
| Calculated MW | 49 kDa |
| PTM | Sumoylated by UBE2I in response to MEKK1-mediated stimuli. [UniProt] |
Images (3) Click the Picture to Zoom In
-
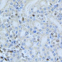
ARG59906 anti-PSMC3 / TBP1 antibody IHC-P image
Immunohistochemistry: Paraffin-embedded Rat liver stained with ARG59906 anti-PSMC3 / TBP1 antibody at 1:100 dilution.
-
ARG59906 anti-PSMC3 / TBP1 antibody WB image
Western blot: 25 µg of Mouse testis lysate stained with ARG59906 anti-PSMC3 / TBP1 antibody at 1:1000 dilution.
-
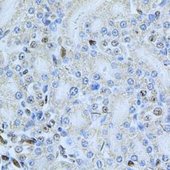
ARG59906 anti-PSMC3 / TBP1 antibody IHC-P image
Immunohistochemistry: Paraffin-embedded Rat kidney stained with ARG59906 anti-PSMC3 / TBP1 antibody at 1:100 dilution.
