ARG66619
anti-PSMF1 antibody
anti-PSMF1 antibody for IHC-Formalin-fixed paraffin-embedded sections,Western blot and Human,Mouse
Overview
| Product Description | Rabbit Polyclonal antibody recognizes PSMF1 |
|---|---|
| Tested Reactivity | Hu, Ms |
| Tested Application | IHC-P, WB |
| Host | Rabbit |
| Clonality | Polyclonal |
| Isotype | IgG |
| Target Name | PSMF1 |
| Antigen Species | Human |
| Immunogen | Recombinant full length protein of Human PSMF1. |
| Conjugation | Un-conjugated |
| Alternate Names | hPI31; PI31; Proteasome inhibitor PI31 subunit |
Application Instructions
| Application Suggestion |
|
||||||
|---|---|---|---|---|---|---|---|
| Application Note | IHC-P: Antigen Retrieval: Heat mediation was performed in Sodium citrate buffer (pH 6.0). * The dilutions indicate recommended starting dilutions and the optimal dilutions or concentrations should be determined by the scientist. |
||||||
| Observed Size | ~ 30 kDa |
Properties
| Form | Liquid |
|---|---|
| Purification | Affinity purification with immunogen. |
| Buffer | 0.42% Potassium phosphate (pH 7.3), 0.87% NaCl, 0.01% Sodium azide and 30% Glycerol. |
| Preservative | 0.01% Sodium azide |
| Stabilizer | 30% Glycerol |
| Storage Instruction | For continuous use, store undiluted antibody at 2-8°C for up to a week. For long-term storage, aliquot and store at -20°C. Storage in frost free freezers is not recommended. Avoid repeated freeze/thaw cycles. Suggest spin the vial prior to opening. The antibody solution should be gently mixed before use. |
| Note | For laboratory research only, not for drug, diagnostic or other use. |
Bioinformation
| Database Links | |
|---|---|
| Gene Symbol | PSMF1 |
| Gene Full Name | proteasome inhibitor subunit 1 |
| Background | The 26S proteasome is a multicatalytic proteinase complex with a highly ordered structure composed of 2 complexes, a 20S core and a 19S regulator. The 20S core is composed of 4 rings of 28 non-identical subunits; 2 rings are composed of 7 alpha subunits and 2 rings are composed of 7 beta subunits. The 19S regulator is composed of a base, which contains 6 ATPase subunits and 2 non-ATPase subunits, and a lid, which contains up to 10 non-ATPase subunits. Proteasomes are distributed throughout eukaryotic cells at a high concentration and cleave peptides in an ATP/ubiquitin-dependent process in a non-lysosomal pathway. An essential function of a modified proteasome, the immunoproteasome, is the processing of class I MHC peptides. This gene encodes a protein that inhibits the activation of the proteasome by the 11S and 19S regulators. Alternative transcript variants have been identified for this gene. [provided by RefSeq, Jul 2008] |
| Function | Plays an important role in control of proteasome function. Inhibits the hydrolysis of protein and peptide substrates by the 20S proteasome. Also inhibits the activation of the proteasome by the proteasome regulatory proteins PA700 and PA28. [UniProt] |
| Cellular Localization | Cytoplasm. Endoplasmic reticulum. [UniProt] |
| Calculated MW | 30 kDa |
Images (2) Click the Picture to Zoom In
-
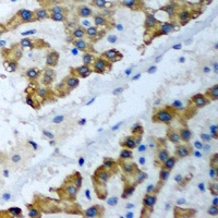
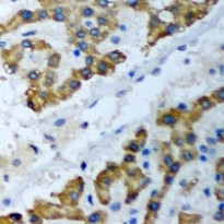
ARG66619 anti-PSMF1 antibody IHC-P image
Immunohistochemistry: Formalin-fixed and paraffin-embedded Human liver cancer tissue section. Antigen Retrieval: Heat mediation was performed in Sodium citrate buffer (pH 6.0). The section was then stained with ARG66619 anti-PSMF1 antibody at room temperature and detected using an HRP conjugated compact polymer system. DAB was used as the chromogen. The section was then counterstained with haematoxylin and mounted with DPX.
-
ARG66619 anti-PSMF1 antibody WB image
Western blot: A549, K562, Mouse liver and Mouse testis lysates stained with ARG66619 anti-PSMF1 antibody.
