ARG63356
anti-PTBP1 / PTB antibody
anti-PTBP1 / PTB antibody for IHC-Formalin-fixed paraffin-embedded sections,Western blot and Human,Mouse,Rat
Gene Regulation antibody
Overview
| Product Description | Goat Polyclonal antibody recognizes PTBP1 / PTB |
|---|---|
| Tested Reactivity | Hu, Ms, Rat |
| Predict Reactivity | Cow, Dog, Pig |
| Tested Application | IHC-P, WB |
| Specificity | This antibody is expected to recognise all 4 reported isoforms (represented by NP_002810.1; NP_114367.1; NP_114368.1; NP_787041.1). |
| Host | Goat |
| Clonality | Polyclonal |
| Isotype | IgG |
| Target Name | PTBP1 / PTB |
| Antigen Species | Human |
| Immunogen | DGIVPDIAVGTKR-C |
| Conjugation | Un-conjugated |
| Alternate Names | PTB-1; PTB-T; HNRPI; PTB; PTB3; HNRNPI; Heterogeneous nuclear ribonucleoprotein I; hnRNP I; HNRNP-I; Polypyrimidine tract-binding protein 1; PTB4; PTB2; pPTB; 57 kDa RNA-binding protein PPTB-1 |
Application Instructions
| Application Suggestion |
|
||||||
|---|---|---|---|---|---|---|---|
| Application Note | WB: Recommend incubate at RT for 1h. IHC-P: Antigen Retrieval: Steam tissue section in Tris/EDTA buffer (pH 9.0). * The dilutions indicate recommended starting dilutions and the optimal dilutions or concentrations should be determined by the scientist. |
Properties
| Form | Liquid |
|---|---|
| Purification | Purified from goat serum by antigen affinity chromatography. |
| Buffer | Tris saline (pH 7.3), 0.02% Sodium azide and 0.5% BSA. |
| Preservative | 0.02% Sodium azide |
| Stabilizer | 0.5% BSA |
| Concentration | 0.5 mg/ml |
| Storage Instruction | For continuous use, store undiluted antibody at 2-8°C for up to a week. For long-term storage, aliquot and store at -20°C or below. Storage in frost free freezers is not recommended. Avoid repeated freeze/thaw cycles. Suggest spin the vial prior to opening. The antibody solution should be gently mixed before use. |
| Note | For laboratory research only, not for drug, diagnostic or other use. |
Bioinformation
| Database Links |
Swiss-port # P26599 Human Polypyrimidine tract-binding protein 1 |
|---|---|
| Gene Symbol | PTBP1 |
| Gene Full Name | polypyrimidine tract binding protein 1 |
| Background | This gene belongs to the subfamily of ubiquitously expressed heterogeneous nuclear ribonucleoproteins (hnRNPs). The hnRNPs are RNA-binding proteins and they complex with heterogeneous nuclear RNA (hnRNA). These proteins are associated with pre-mRNAs in the nucleus and appear to influence pre-mRNA processing and other aspects of mRNA metabolism and transport. While all of the hnRNPs are present in the nucleus, some seem to shuttle between the nucleus and the cytoplasm. The hnRNP proteins have distinct nucleic acid binding properties. The protein encoded by this gene has four repeats of quasi-RNA recognition motif (RRM) domains that bind RNAs. This protein binds to the intronic polypyrimidine tracts that requires pre-mRNA splicing and acts via the protein degradation ubiquitin-proteasome pathway. It may also promote the binding of U2 snRNP to pre-mRNAs. This protein is localized in the nucleoplasm and it is also detected in the perinucleolar structure. Alternatively spliced transcript variants encoding different isoforms have been described. [provided by RefSeq, Jul 2008] |
| Function | Plays a role in pre-mRNA splicing and in the regulation of alternative splicing events. Activates exon skipping of its own pre-mRNA during muscle cell differentiation. Binds to the polypyrimidine tract of introns. May promote RNA looping when bound to two separate polypyrimidine tracts in the same pre-mRNA. May promote the binding of U2 snRNP to pre-mRNA. Cooperates with RAVER1 to modulate switching between mutually exclusive exons during maturation of the TPM1 pre-mRNA. Represses the splicing of MAPT/Tau exon 10. [UniProt] |
| Research Area | Gene Regulation antibody |
| Calculated MW | 57 kDa |
Images (5) Click the Picture to Zoom In
-
ARG63356 anti-PTBP1 / PTB antibody WB image
Western Blot: Human Ovary lysate (35 µg protein in RIPA buffer) stained with ARG63356 anti-PTBP1 / PTB antibody at 0.1 µg/ml dilution.
-
ARG63356 anti-PTBP1 / PTB antibody WB image
Western Blot: HeLa (A), HepG2 (B), Jurkat (C) and HEK293 (D) nuclear lysates (35 µg protein in RIPA buffer) stained with ARG63356 anti-PTBP1 / PTB antibody at 0.01 µg/ml dilution.
-
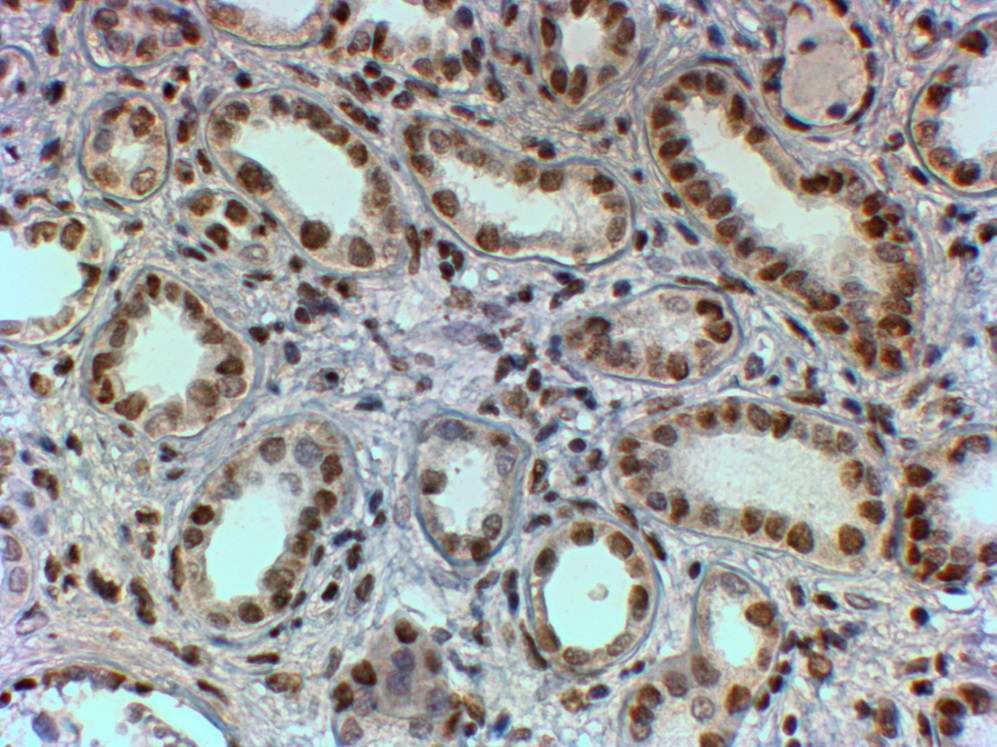
ARG63356 anti-PTBP1 / PTB antibody IHC-P image
Immunohistochemistry: Paraffin-embedded Human kidney tissue. Antigen Retrieval: Steam tissue section in Tris/EDTA buffer (pH 9.0). The tissue section was stained with ARG63356 anti-PTBP1 / PTB antibody at 2 µg/ml dilution followed by HRP-staining.
-
ARG63356 anti-PTBP1 / PTB antibody WB image
Western blot: 35 µg of NIH/3T3 cell lysate (in RIPA buffer) stained with ARG63356 anti-PTBP1 / PTB antibody at 0.03 µg/ml dilution and incubated at RT for 1 hour.
-
ARG63356 anti-PTBP1 / PTB antibody WB image
Western blot: 35 µg of Mouse ovary (A) and Rat ovary (B) lysates (in RIPA buffer) stained with ARG63356 anti-PTBP1 / PTB antibody at 0.1-0.3 µg/ml dilution and incubated at RT for 1 hour.
