ARG45124
anti-PTCH2 antibody
anti-PTCH2 antibody for ICC/IF,IHC-Formalin-fixed paraffin-embedded sections,Western blot and Human
Overview
| Product Description | Rabbit Polyclonal antibody recognizes PTCH2 |
|---|---|
| Tested Reactivity | Hu |
| Tested Application | ICC/IF, IHC-P, WB |
| Host | Rabbit |
| Clonality | Polyclonal |
| Isotype | IgG |
| Target Name | PTCH2 |
| Antigen Species | Human |
| Immunogen | Synthetic peptide derived from Human PTCH2 |
| Conjugation | Un-conjugated |
| Alternate Names | PTCH2; Patched 2; Protein Patched Homolog 2; PTC2; Patched (Drosophila) Homolog 2; Patched Homolog 2 (Drosophila); Patched Homolog 2 |
Application Instructions
| Application Suggestion |
|
||||||||
|---|---|---|---|---|---|---|---|---|---|
| Application Note | * The dilutions indicate recommended starting dilutions and the optimal dilutions or concentrations should be determined by the scientist. |
Properties
| Form | Liquid |
|---|---|
| Purification | Affinity purification with immunogen. |
| Buffer | 0.9% NaCl, 0.2% Na2HPO4, 0.05% Sodium azide and 4% Trehalose. |
| Preservative | 0.05% Sodium azide |
| Stabilizer | 4% Trehalose |
| Storage Instruction | For continuous use, store undiluted antibody at 2-8°C for up to a week. For long-term storage, aliquot and store at -20°C or below. Storage in frost free freezers is not recommended. Avoid repeated freeze/thaw cycles. Suggest spin the vial prior to opening. The antibody solution should be gently mixed before use. |
| Note | For laboratory research only, not for drug, diagnostic or other use. |
Bioinformation
| Database Links | |
|---|---|
| Gene Symbol | PTCH2 |
| Gene Full Name | Patched 2 |
| Background | This gene encodes a transmembrane receptor of the patched gene family. The encoded protein may function as a tumor suppressor in the hedgehog signaling pathway. Alterations in this gene have been associated with nevoid basal cell carcinoma syndrome, basal cell carcinoma, medulloblastoma, and susceptibility to congenital macrostomia. Alternatively spliced transcript variants have been described.[provided by RefSeq, Oct 2009] |
| Function | May have a role in epidermal development. May act as a receptor for Sonic hedgehog (SHH) [Uniprot] |
| Cellular Localization | Membrane. [Uniprot] |
| Calculated MW | 131 kDa |
| PTM | Glycoprotein. [Uniprot] |
Images (3) Click the Picture to Zoom In
-
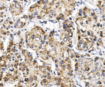
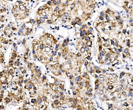
ARG45124 anti-PTCH2 antibody IHC-P image
Immunohistochemistry: Human liver cancer stained with ARG45124 anti-PTCH2 antibody at 2 μg/ml dilution.
-
ARG45124 anti-PTCH2 antibody ICC/IF image
Immunofluorescence: U20S stained with ARG45124 anti-PTCH2 antibody at 5 μg/ml dilution.
-
ARG45124 anti-PTCH2 antibody WB image
Western blot: THP-1 stained with ARG45124 anti-PTCH2 antibody at 0.5 μg/ml dilution.
