ARG58137
anti-PU.1 antibody
anti-PU.1 antibody for IHC-Formalin-fixed paraffin-embedded sections and Human,Mouse,Rat
Overview
| Product Description | Rabbit Polyclonal antibody recognizes PU.1 |
|---|---|
| Tested Reactivity | Hu, Ms, Rat |
| Tested Application | IHC-P |
| Host | Rabbit |
| Clonality | Polyclonal |
| Isotype | IgG |
| Target Name | PU.1 |
| Antigen Species | Human |
| Immunogen | Synthetic peptide corresponding to aa. 18-196 of Human PU.1. |
| Conjugation | Un-conjugated |
| Alternate Names | Transcription factor PU.1; SPI-1; OF; SPI-A; PU.1; SFPI1; 31 kDa-transforming protein |
Application Instructions
| Application Suggestion |
|
||||
|---|---|---|---|---|---|
| Application Note | IHC-P: Antigen Retrieval: Boil tissue section in 10mM Citrate buffer (pH 6.0) for 20 min followed by cooling at RT. * The dilutions indicate recommended starting dilutions and the optimal dilutions or concentrations should be determined by the scientist. |
Properties
| Form | Liquid |
|---|---|
| Purification | Affinity purification with immunogen. |
| Buffer | PBS, 0.025% Sodium azide and 2.5% BSA. |
| Preservative | 0.025% Sodium azide |
| Stabilizer | 2.5% BSA |
| Concentration | 0.5 mg/ml |
| Storage Instruction | For continuous use, store undiluted antibody at 2-8°C for up to a week. For long-term storage, aliquot and store at -20°C or below. Storage in frost free freezers is not recommended. Avoid repeated freeze/thaw cycles. Suggest spin the vial prior to opening. The antibody solution should be gently mixed before use. |
| Note | For laboratory research only, not for drug, diagnostic or other use. |
Bioinformation
| Database Links | |
|---|---|
| Gene Symbol | SPI1 |
| Gene Full Name | Spi-1 proto-oncogene |
| Background | This gene encodes an ETS-domain transcription factor that activates gene expression during myeloid and B-lymphoid cell development. The nuclear protein binds to a purine-rich sequence known as the PU-box found near the promoters of target genes, and regulates their expression in coordination with other transcription factors and cofactors. The protein can also regulate alternative splicing of target genes. Multiple transcript variants encoding different isoforms have been found for this gene. [provided by RefSeq, Jul 2008] |
| Function | Binds to the PU-box, a purine-rich DNA sequence (5'-GAGGAA-3') that can act as a lymphoid-specific enhancer. This protein is a transcriptional activator that may be specifically involved in the differentiation or activation of macrophages or B-cells. Also binds RNA and may modulate pre-mRNA splicing (By similarity). [UniProt] |
| Cellular Localization | Nuclear. [UniProt] |
| Calculated MW | 31 kDa |
Images (3) Click the Picture to Zoom In
-
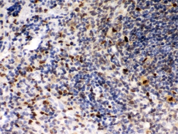
ARG58137 anti-PU.1 antibody IHC-P image
Immunohistochemistry: Formalin-fixed and paraffin-embedded Human tonsil stained with ARG58137 anti-PU.1 antibody. Antigen Retrieval: Boil tissue section in 10mM Citrate buffer (pH 6.0) for 20 min followed by cooling at RT.
-
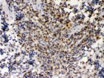
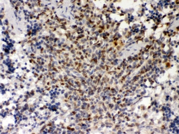
ARG58137 anti-PU.1 antibody IHC-P image
Immunohistochemistry: Formalin-fixed and paraffin-embedded Mouse spleen stained with ARG58137 anti-PU.1 antibody. Antigen Retrieval: Boil tissue section in 10mM Citrate buffer (pH 6.0) for 20 min followed by cooling at RT.
-
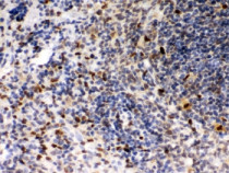
ARG58137 anti-PU.1 antibody IHC-P image
Immunohistochemistry: Formalin-fixed and paraffin-embedded Rat spleen stained with ARG58137 anti-PU.1 antibody. Antigen Retrieval: Boil tissue section in 10mM Citrate buffer (pH 6.0) for 20 min followed by cooling at RT.
