ARG45162
anti-PYROXD1 antibody
anti-PYROXD1 antibody for IHC-Formalin-fixed paraffin-embedded sections,Western blot and Human,Mouse,Rat
Overview
| Product Description | Rabbit Polyclonal antibody recognizes PYROXD1 |
|---|---|
| Tested Reactivity | Hu, Ms, Rat |
| Tested Application | IHC-P, WB |
| Host | Rabbit |
| Clonality | Polyclonal |
| Isotype | IgG |
| Target Name | PYROXD1 |
| Antigen Species | Human |
| Immunogen | Recombinant protein containing to human PYROXD1. |
| Conjugation | Un-conjugated |
| Alternate Names | PYROXD1; pyridine nucleotide-disulphide oxidoreductase domain 1; Pyridine nucleotide-disulfide oxidoreductase domain-containing protein 1; PYROXD1 |
Application Instructions
| Application Suggestion |
|
||||||
|---|---|---|---|---|---|---|---|
| Application Note | * The dilutions indicate recommended starting dilutions and the optimal dilutions or concentrations should be determined by the scientist. | ||||||
| Observed Size | 50-56 kDa |
Properties
| Form | Liquid |
|---|---|
| Purification | Affinity purification with immunogen. |
| Buffer | 0.2% Na2HPO4, 0.9% NaCl, 0.05% Sodium azide and 4% Trehalose. |
| Preservative | 0.05% Sodium azide |
| Stabilizer | 4% Trehalose |
| Concentration | 0.5 mg/ml |
| Storage Instruction | For continuous use, store undiluted antibody at 2-8°C for up to a week. For long-term storage, aliquot and store at -20°C or below. Storage in frost free freezers is not recommended. Avoid repeated freeze/thaw cycles. Suggest spin the vial prior to opening. The antibody solution should be gently mixed before use. |
| Note | For laboratory research only, not for drug, diagnostic or other use. |
Bioinformation
| Database Links | |
|---|---|
| Gene Symbol | PYROXD1 |
| Gene Full Name | pyridine nucleotide-disulphide oxidoreductase domain 1 |
| Background | This gene encodes a nuclear-cytoplasmic pyridine nucleotide-disulphide reductase (PNDR). PNDRs are flavoproteins that catalyze the pyridine nucleotide-dependent reduction of thiol residues in other proteins. The encoded protein belongs to the class I pyridine nucleotide-disulphide oxidoreductase family but lacks the C-terminal dimerization domain found in other family members and instead has a C-terminal nitrile reductase domain. It localizes to the nucleus and to striated sarcomeric compartments. Naturally occurring mutations in this gene cause early-onset myopathy with internalized nuclei and myofibrillar disorganization. A pseudogene of this gene has been defined on chromosome 11. [provided by RefSeq, Apr 2017] |
| Function | Probable FAD-dependent oxidoreductase; involved in the cellular oxidative stress response. [UniProt] |
| Cellular Localization | Nucleus; Cytoplasm. [UniProt] |
| Calculated MW | 56 kDa |
| PTM | Probable FAD-dependent oxidoreductase; involved in the cellular oxidative stress response. [UniProt] |
Images (5) Click the Picture to Zoom In
-
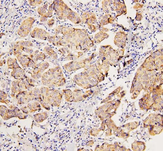
ARG45161 anti-PPA2 antibody IHC-P image
Immunohistochemistry: Human mammary cancer stained with ARG45161 anti-PPA2 antibody at 1 μg/ml dilution.
-
ARG45162 anti-PYROXD1 antibody WB image
Western blot: Human placenta, U-87MG, HL-60, THP-1, and PC-3 stained with ARG45162 anti-PYROXD1 antibody at 0.5 μg/ml dilution.
-
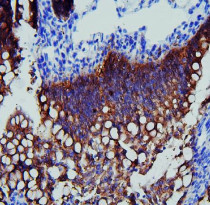
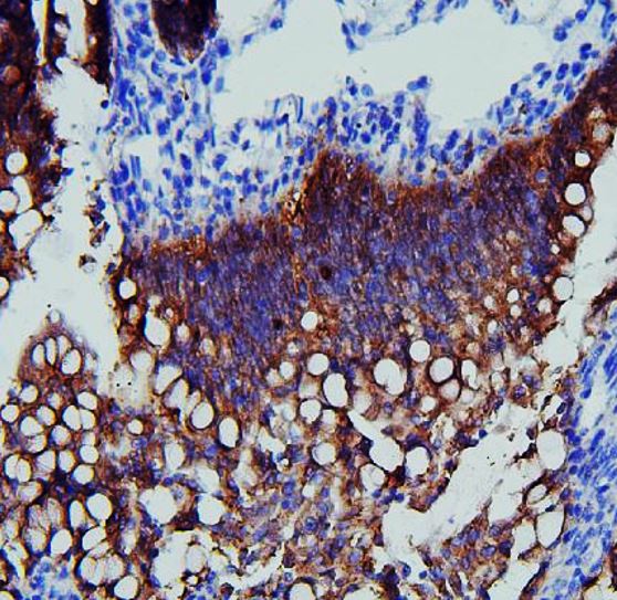
ARG45162 anti-PYROXD1 antibody IHC-P image
Immunohistochemistry: Rat intestine stained with ARG45162 anti-PYROXD1 antibody at 1 μg/ml dilution.
-
ARG45162 anti-PYROXD1 antibody WB image
Western blot: Rat kidney stained with ARG45162 anti-PYROXD1 antibody at 0.5 μg/ml dilution.
-
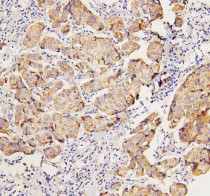
ARG45161 anti-PPA2 antibody IHC-P image
Immunohistochemistry: Mouse intestine stained with ARG45161 anti-PPA2 antibody at 1 μg/ml dilution.
