ARG67273
anti-Pentraxin 3 antibody
anti-Pentraxin 3 antibody for ICC/IF,IHC-Formalin-fixed paraffin-embedded sections,Western blot and Human,Mouse
Overview
| Product Description | Rabbit Monoclonal antibody recognizes Pentraxin 3 |
|---|---|
| Tested Reactivity | Hu, Ms |
| Tested Application | ICC/IF, IHC-P, WB |
| Host | Rabbit |
| Clonality | Monoclonal |
| Isotype | IgG |
| Target Name | Pentraxin 3 |
| Antigen Species | Human |
| Immunogen | Synthetic peptide within a.a. 1-50 of human Pentraxin 3. |
| Conjugation | Un-conjugated |
| Alternate Names | PTX3; Pentraxin 3; TNFAIP5; TSG-14; Tumor necrosis factor alpha-induced protein 5; Pentaxin-related protein PTX3; Pentraxin-related protein PTX3; Tumor necrosis factor-inducible gene 14 protein; TNF alpha-induced protein 5 |
Application Instructions
| Application Suggestion |
|
||||||||
|---|---|---|---|---|---|---|---|---|---|
| Application Note | * The dilutions indicate recommended starting dilutions and the optimal dilutions or concentrations should be determined by the scientist. |
Properties
| Form | Liquid |
|---|---|
| Purification | Affinity chromatography purified |
| Buffer | PBS, 0.02% sodium azide, 50% glycerol, 0.5% BSA |
| Preservative | 0.02% sodium azide |
| Stabilizer | 50% glycerol, 0.5% BSA |
| Concentration | 1 mg/ml |
| Storage Instruction | For continuous use, store undiluted antibody at 2-8°C for up to a week. For long-term storage, aliquot and store at -22°C or below. Storage in frost free freezers is not recommended. Avoid repeated freeze/thaw cycles. Suggest spin the vial prior to opening. The antibody solution should be gently mixed before use. |
| Note | For laboratory research only, not for drug, diagnostic or other use. |
Bioinformation
| Database Links | |
|---|---|
| Gene Symbol | PTX3 |
| Gene Full Name | Pentraxin 3 |
| Background | This gene encodes a member of the pentraxin protein family. The expression of this protein is induced by inflammatory cytokines in response to inflammatory stimuli in several mesenchymal and epithelial cell types, particularly endothelial cells and mononuclear phagocytes. The protein promotes fibrocyte differentiation and is involved in regulating inflammation and complement activation. It also plays a role in angiogenesis and tissue remodeling. The protein serves as a biomarker for several inflammatory conditions. [provided by RefSeq, Jun 2016] |
| Function | Plays a role in the regulation of innate resistance to pathogens, inflammatory reactions, possibly clearance of self-components and female fertility. [UniProt] |
| Cellular Localization | Secreted. [UniProt] |
| Calculated MW | 42 kDa |
| PTM | Disulfide bond; Glycoprotein. [UniProt] |
Images (3) Click the Picture to Zoom In
-
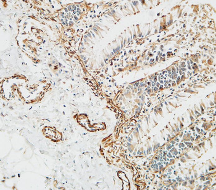
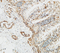
ARG67273 anti-Pentraxin 3 antibody IHC-P image
Immunohistochemistry: Human colon stained with ARG67273 anti-Pentraxin 3 antibody at 1:100 dilution.
-
ARG67273 anti-Pentraxin 3 antibody ICC/IF image
Immunofluorescence: HUVEC stained with ARG67273 anti-Pentraxin 3 antibody.
-
ARG67273 anti-Pentraxin 3 antibody WB image
Western blot: 293T stained with ARG67273 anti-Pentraxin 3 antibody.
