ARG40991
anti-Peptide YY antibody
anti-Peptide YY antibody for IHC-Formalin-fixed paraffin-embedded sections,Western blot and Mouse,Rat
Overview
| Product Description | Rabbit Polyclonal antibody recognizes Peptide YY |
|---|---|
| Tested Reactivity | Ms, Rat |
| Tested Application | IHC-P, WB |
| Host | Rabbit |
| Clonality | Polyclonal |
| Isotype | IgG |
| Target Name | Peptide YY |
| Antigen Species | Mouse |
| Immunogen | Synthetic peptide corresponding to aa. 29-64 of Mouse Peptide YY (YPAKPEAPGEDASPEELSRYYASLRHYLNLVTRQRY). |
| Conjugation | Un-conjugated |
| Alternate Names | Peptide tyrosine tyrosine; PYY; PYY-I; PYY1; Peptide YY; PYY-II; 3-36 |
Application Instructions
| Application Suggestion |
|
||||||
|---|---|---|---|---|---|---|---|
| Application Note | IHC-P: Antigen Retrieval: Heat mediation was performed in Citrate buffer (pH 6.0, epitope retrieval solution) for 20 min. * The dilutions indicate recommended starting dilutions and the optimal dilutions or concentrations should be determined by the scientist. |
Properties
| Form | Liquid |
|---|---|
| Purification | Affinity purification with immunogen. |
| Buffer | 0.2% Na2HPO4, 0.9% NaCl, 0.05% Sodium azide and 5% BSA. |
| Preservative | 0.05% Sodium azide |
| Stabilizer | 5% BSA |
| Concentration | 0.5 mg/ml |
| Storage Instruction | For continuous use, store undiluted antibody at 2-8°C for up to a week. For long-term storage, aliquot and store at -20°C or below. Storage in frost free freezers is not recommended. Avoid repeated freeze/thaw cycles. Suggest spin the vial prior to opening. The antibody solution should be gently mixed before use. |
| Note | For laboratory research only, not for drug, diagnostic or other use. |
Bioinformation
| Database Links | |
|---|---|
| Gene Symbol | PYY |
| Gene Full Name | peptide YY |
| Background | The protein encoded by this gene is proteolytically processed to release a peptide that inhibits pancreatic secretion and mobility in the gut. Rare variations in this gene could increase susceptibility to obesity. [provided by RefSeq, Jul 2010] |
| Function | This gut peptide inhibits exocrine pancreatic secretion, has a vasoconstrictory action and inhibitis jejunal and colonic mobility. [UniProt] |
| Cellular Localization | Secreted. [UniProt] |
| Highlight | Related news: Studying obesity and appetite control by quantifying orexigenic and anorexigenic hormones; |
| Calculated MW | 11 kDa |
| PTM | The peptide YY form is cleaved at Pro-30 by the prolyl endopeptidase FAP (seprase) activity (in vitro) to generate peptide YY(3-36). [UniProt] |
Images (6) Click the Picture to Zoom In
-
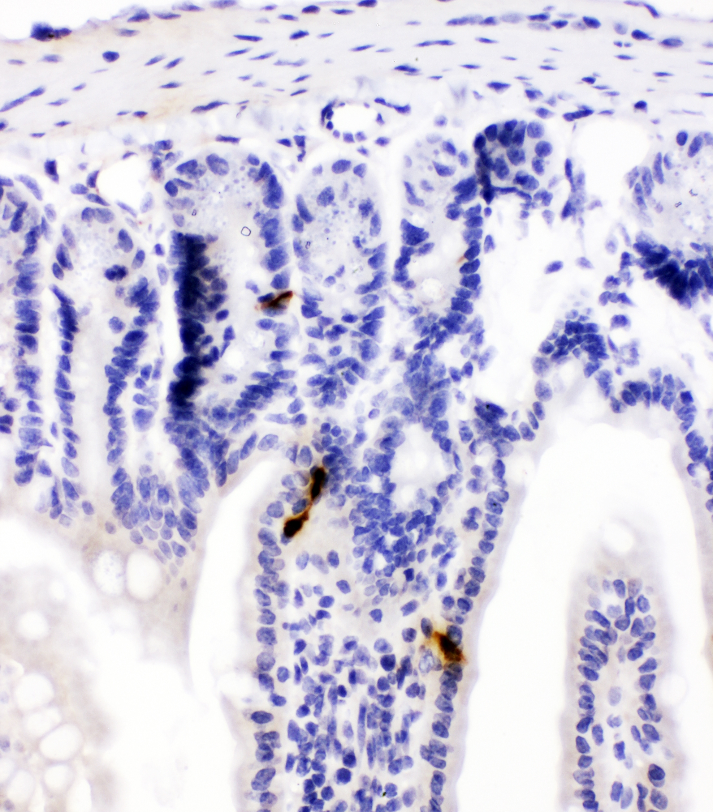
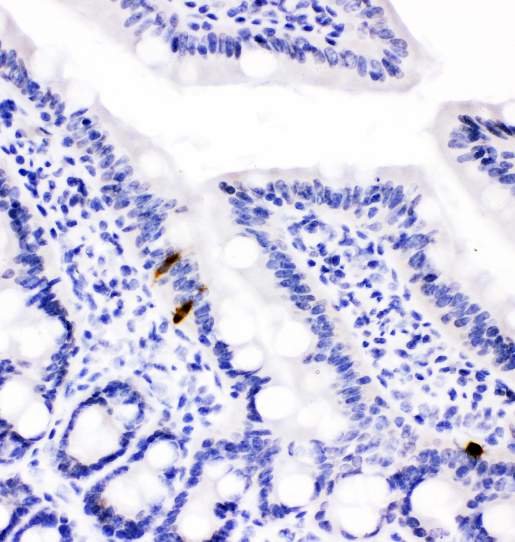
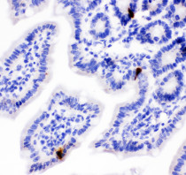
ARG40991 anti-Peptide YY antibody IHC-P image
Immunohistochemistry: Paraffin-embedded Mouse intestine tissue. Antigen Retrieval: Heat mediation was performed in Citrate buffer (pH 6.0, epitope retrieval solution) for 20 min. The tissue section was blocked with 10% goat serum. The tissue section was then stained with ARG40991 anti-Peptide YY antibody at 1 µg/ml dilution, overnight at 4°C.
-
ARG40991 anti-Peptide YY antibody WB image
Western blot: 50 µg of samples under reducing conditions. Mouse spleen and Mouse liver lysates stained with ARG40991 anti-Peptide YY antibody at 0.5 µg/ml, overnight at 4°C.
-
ARG40991 anti-Peptide YY antibody IHC-P image
Immunohistochemistry: Paraffin-embedded Mouse intestine tissue. Antigen Retrieval: Heat mediation was performed in Citrate buffer (pH 6.0, epitope retrieval solution) for 20 min. The tissue section was blocked with 10% goat serum. The tissue section was then stained with ARG40991 anti-Peptide YY antibody at 1 µg/ml dilution, overnight at 4°C.
-
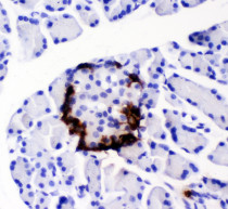
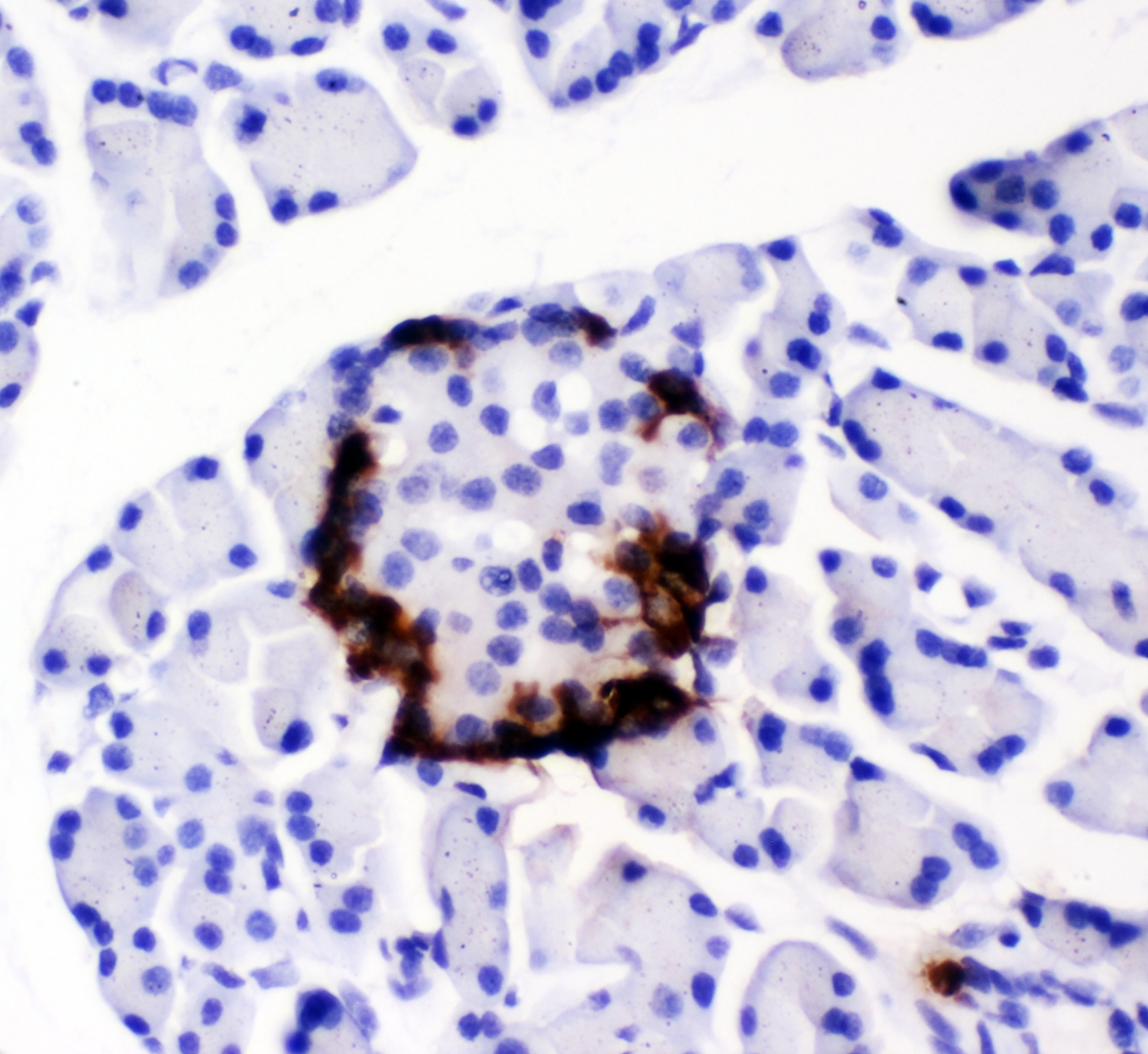
ARG40991 anti-Peptide YY antibody IHC-P image
Immunohistochemistry: Paraffin-embedded Mouse pancreas tissue. Antigen Retrieval: Heat mediation was performed in Citrate buffer (pH 6.0, epitope retrieval solution) for 20 min. The tissue section was blocked with 10% goat serum. The tissue section was then stained with ARG40991 anti-Peptide YY antibody at 1 µg/ml dilution, overnight at 4°C.
-
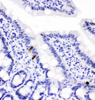
ARG40991 anti-Peptide YY antibody IHC-P image
Immunohistochemistry: Paraffin-embedded Rat intestine tissue. Antigen Retrieval: Heat mediation was performed in Citrate buffer (pH 6.0, epitope retrieval solution) for 20 min. The tissue section was blocked with 10% goat serum. The tissue section was then stained with ARG40991 anti-Peptide YY antibody at 1 µg/ml dilution, overnight at 4°C.
-
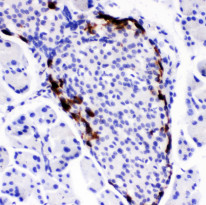
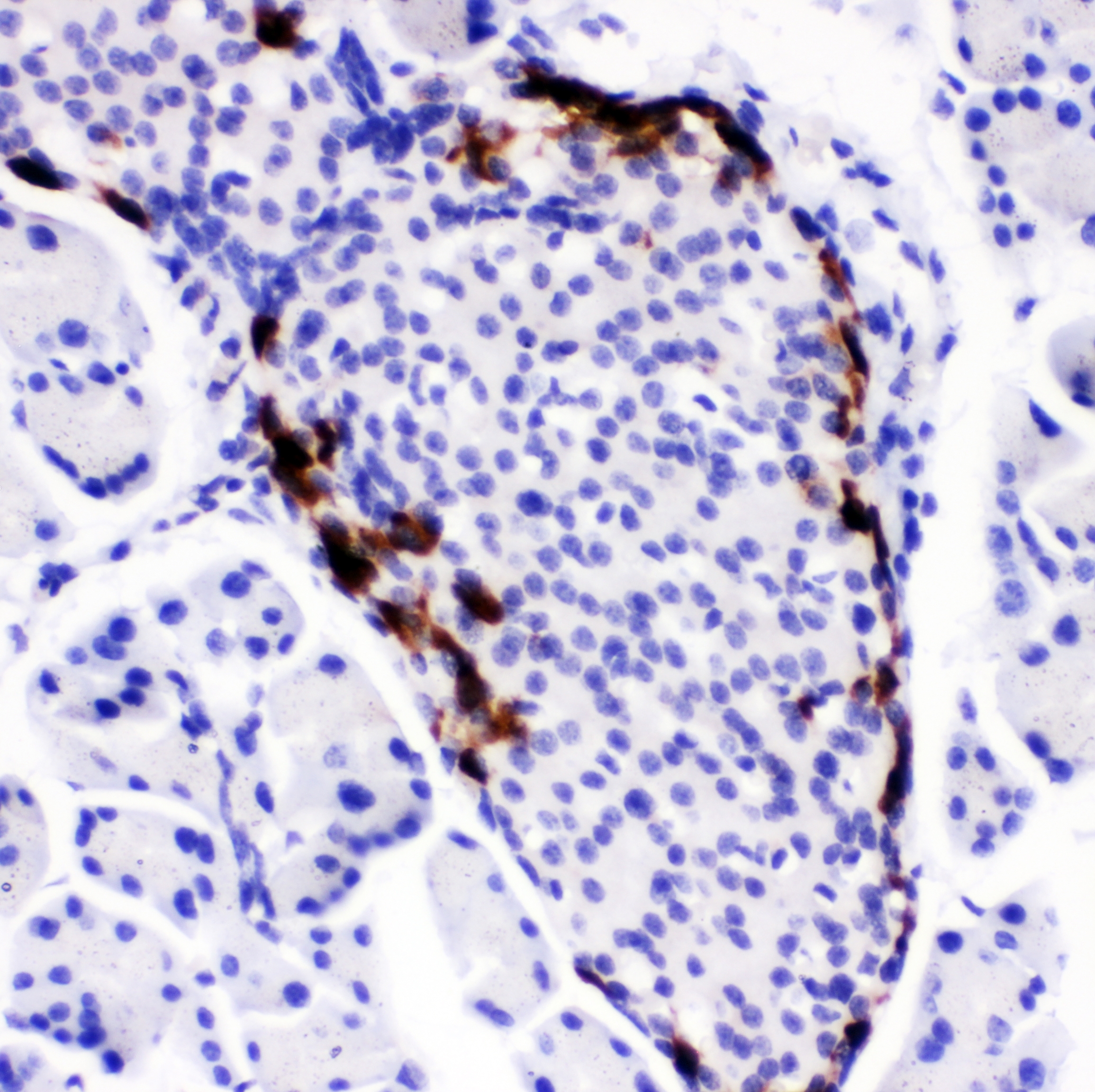
ARG40991 anti-Peptide YY antibody IHC-P image
Immunohistochemistry: Paraffin-embedded Rat pancreas tissue. Antigen Retrieval: Heat mediation was performed in Citrate buffer (pH 6.0, epitope retrieval solution) for 20 min. The tissue section was blocked with 10% goat serum. The tissue section was then stained with ARG40991 anti-Peptide YY antibody at 1 µg/ml dilution, overnight at 4°C.
