ARG64173
anti-Perilipin 1 antibody
anti-Perilipin 1 antibody for IHC-Formalin-fixed paraffin-embedded sections,Western blot and Human
Cancer antibody; Cell Biology and Cellular Response antibody; Metabolism antibody; Signaling Transduction antibody
Overview
| Product Description | Goat Polyclonal antibody recognizes Perilipin 1 |
|---|---|
| Tested Reactivity | Hu |
| Tested Application | IHC-P, WB |
| Host | Goat |
| Clonality | Polyclonal |
| Isotype | IgG |
| Target Name | Perilipin 1 |
| Antigen Species | Human |
| Immunogen | C-PREKPKRRVSDS |
| Conjugation | Un-conjugated |
| Alternate Names | Perilipin-1; PERI; Lipid droplet-associated protein; PLIN; FPLD4 |
Application Instructions
| Application Suggestion |
|
||||||
|---|---|---|---|---|---|---|---|
| Application Note | WB: Recommend incubate at RT for 1h. IHC-P: Antigen Retrieval: Steam tissue section in Citrate buffer (pH 6.0). * The dilutions indicate recommended starting dilutions and the optimal dilutions or concentrations should be determined by the scientist. |
Properties
| Form | Liquid |
|---|---|
| Purification | Purified from goat serum by antigen affinity chromatography. |
| Buffer | Tris saline (pH 7.3), 0.02% Sodium azide and 0.5% BSA. |
| Preservative | 0.02% Sodium azide |
| Stabilizer | 0.5% BSA |
| Concentration | 0.5 mg/ml |
| Storage Instruction | For continuous use, store undiluted antibody at 2-8°C for up to a week. For long-term storage, aliquot and store at -20°C or below. Storage in frost free freezers is not recommended. Avoid repeated freeze/thaw cycles. Suggest spin the vial prior to opening. The antibody solution should be gently mixed before use. |
| Note | For laboratory research only, not for drug, diagnostic or other use. |
Bioinformation
| Database Links | |
|---|---|
| Background | The protein encoded by this gene coats lipid storage droplets in adipocytes, thereby protecting them until they can be broken down by hormone-sensitive lipase. The encoded protein is the major cAMP-dependent protein kinase substrate in adipocytes and, when unphosphorylated, may play a role in the inhibition of lipolysis. Alternatively spliced transcript variants varying in the 5' UTR, but encoding the same protein, have been found for this gene. [provided by RefSeq, Feb 2009] |
| Research Area | Cancer antibody; Cell Biology and Cellular Response antibody; Metabolism antibody; Signaling Transduction antibody |
| Calculated MW | 56 kDa |
| PTM | Major cAMP-dependent protein kinase-substrate in adipocytes, also dephosphorylated by PP1. When phosphorylated, may be maximally sensitive to HSL and when unphosphorylated, may play a role in the inhibition of lipolysis, by acting as a barrier in lipid droplet (By similarity). |
Images (2) Click the Picture to Zoom In
-
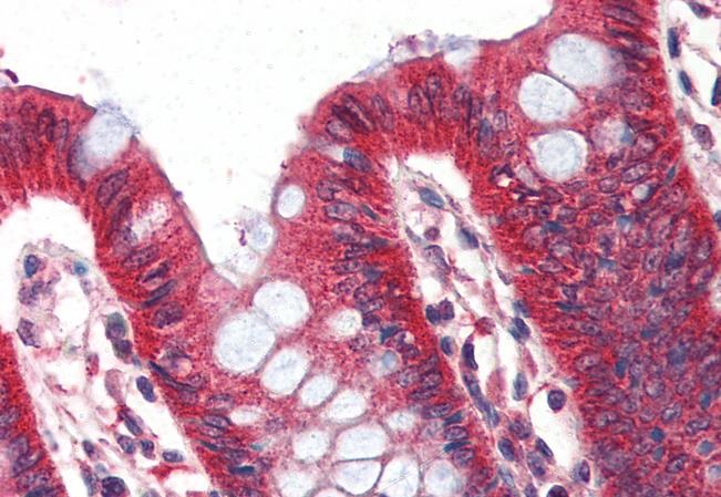
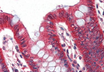
ARG64173 anti-Perilipin 1 antibody IHC-P image
Immunohistochemistry: Paraffin-embedded Human colon tissue. Antigen Retrieval: Steam tissue section in Citrate buffer (pH 6.0). The tissue section was stained with ARG64173 anti-Perilipin 1 antibody at 2 µg/ml dilution followed by AP-staining.
-
ARG64173 anti-Perilipin 1 antibody WB image
Western blot: 35 µg of Human Adipose lysate (in RIPA buffer) stained with ARG64173 anti-Perilipin 1 antibody at 0.01 µg/ml dilution and incubated at RT for 1 hour.
