ARG63605
anti-Pescadillo antibody
anti-Pescadillo antibody for IHC-Formalin-fixed paraffin-embedded sections,Western blot and Human
Cancer antibody; Signaling Transduction antibody
Overview
| Product Description | Goat Polyclonal antibody recognizes Pescadillo |
|---|---|
| Tested Reactivity | Hu |
| Predict Reactivity | Ms, Cow, Pig |
| Tested Application | IHC-P, WB |
| Host | Goat |
| Clonality | Polyclonal |
| Isotype | IgG |
| Target Name | Pescadillo |
| Antigen Species | Human |
| Immunogen | GGLEKKKYERGSA-C |
| Conjugation | Un-conjugated |
| Alternate Names | Pescadillo homolog; PES |
Application Instructions
| Application Suggestion |
|
||||||
|---|---|---|---|---|---|---|---|
| Application Note | IHC-P: Antigen Retrieval: Steam tissue section in Citrate buffer (pH 6.0). WB: Recommend incubate at RT for 1h. * The dilutions indicate recommended starting dilutions and the optimal dilutions or concentrations should be determined by the scientist. |
Properties
| Form | Liquid |
|---|---|
| Purification | Purified from goat serum by antigen affinity chromatography. |
| Buffer | Tris saline (pH 7.3), 0.02% Sodium azide and 0.5% BSA. |
| Preservative | 0.02% Sodium azide |
| Stabilizer | 0.5% BSA |
| Concentration | 0.5 mg/ml |
| Storage Instruction | For continuous use, store undiluted antibody at 2-8°C for up to a week. For long-term storage, aliquot and store at -20°C or below. Storage in frost free freezers is not recommended. Avoid repeated freeze/thaw cycles. Suggest spin the vial prior to opening. The antibody solution should be gently mixed before use. |
| Note | For laboratory research only, not for drug, diagnostic or other use. |
Bioinformation
| Database Links | |
|---|---|
| Background | This gene encodes a nuclear protein that contains a breast cancer associated gene 1 (BRCA1) C-terminal interaction domain. The encoded protein interacts with BOP1 and WDR12 to form the PeBoW complex, which plays a critical role in cell proliferation via pre-rRNA processing and 60S ribosomal subunit maturation. Expression of this gene may play an important role in breast cancer proliferation and tumorigenicity. Alternatively spliced transcript variants encoding multiple isoforms have been observed for this gene. Pseudogenes of this gene are located on the long arm of chromosome 4 and the short arm of chromosome 9. [provided by RefSeq, Aug 2011] |
| Research Area | Cancer antibody; Signaling Transduction antibody |
| Calculated MW | 68 kDa |
| PTM | Sumoylated. |
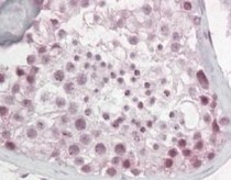
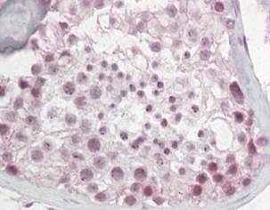
Images (2) Click the Picture to Zoom In
-
ARG63605 anti-Pescadillo antibody WB image
Western Blot: HeLa lysate (35 µg protein in RIPA buffer) stained with ARG63605 anti-Pescadillo antibody at 1 µg/ml dilution.
-
ARG63605 anti-Pescadillo antibody IHC-P image
Immunohistochemistry: paraffin embedded Human Testis. (Steamed antigen retrieval with citrate buffer pH 6) stained with ARG63605 anti-Pescadillo antibody at 3.8 µg/ml dilution followed by AP-staining.
