ARG54877
anti-Pim 3 antibody
anti-Pim 3 antibody for IHC-Formalin-fixed paraffin-embedded sections,Western blot and Human,Mouse
Cancer antibody; Gene Regulation antibody; Signaling Transduction antibody
Overview
| Product Description | Rabbit Polyclonal antibody recognizes Pim 3 |
|---|---|
| Tested Reactivity | Hu, Ms |
| Predict Reactivity | Rat |
| Tested Application | IHC-P, WB |
| Host | Rabbit |
| Clonality | Polyclonal |
| Isotype | IgG |
| Target Name | Pim 3 |
| Antigen Species | Human |
| Immunogen | KLH-conjugated synthetic peptide corresponding to aa. 259-288 (C-terminus) of Human Pim 3. |
| Conjugation | Un-conjugated |
| Alternate Names | EC 2.7.11.1; pim-3; Serine/threonine-protein kinase pim-3 |
Application Instructions
| Application Suggestion |
|
||||||
|---|---|---|---|---|---|---|---|
| Application Note | * The dilutions indicate recommended starting dilutions and the optimal dilutions or concentrations should be determined by the scientist. | ||||||
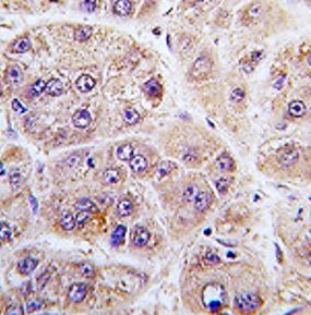
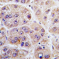
| Positive Control | Mouse kidney |
Properties
| Form | Liquid |
|---|---|
| Purification | Purification with Protein G. |
| Buffer | PBS and 0.09% (W/V) Sodium azide |
| Preservative | 0.09% (W/V) Sodium azide |
| Storage Instruction | For continuous use, store undiluted antibody at 2-8°C for up to a week. For long-term storage, aliquot and store at -20°C or below. Storage in frost free freezers is not recommended. Avoid repeated freeze/thaw cycles. Suggest spin the vial prior to opening. The antibody solution should be gently mixed before use. |
| Note | For laboratory research only, not for drug, diagnostic or other use. |
Bioinformation
| Database Links |
Swiss-port # P58750 Mouse Serine/threonine-protein kinase pim-3 Swiss-port # Q86V86 Human Serine/threonine-protein kinase pim-3 |
|---|---|
| Gene Symbol | PIM3 |
| Gene Full Name | Pim-3 proto-oncogene, serine/threonine kinase |
| Background | The protein encoded by this gene belongs to the Ser/Thr protein kinase family, and PIM subfamily. This gene is overexpressed in hematological and epithelial tumors and is associated with MYC coexpression. It plays a role in the regulation of signal transduction cascades, contributing to both cell proliferation and survival, and provides a selective advantage in tumorigenesis. [provided by RefSeq, Jun 2012] |
| Function | Proto-oncogene with serine/threonine kinase activity that can prevent apoptosis, promote cell survival and protein translation. May contribute to tumorigenesis through: the delivery of survival signaling through phosphorylation of BAD which induces release of the anti-apoptotic protein Bcl-X(L), the regulation of cell cycle progression, protein synthesis and by regulation of MYC transcriptional activity. Additionally to this role on tumorigenesis, can also negatively regulate insulin secretion by inhibiting the activation of MAPK1/3 (ERK1/2), through SOCS6. Involved also in the control of energy metabolism and regulation of AMPK activity in modulating MYC and PPARGC1A protein levels and cell growth. [UniProt] |
| Cellular Localization | Cytoplasm. |
| Research Area | Cancer antibody; Gene Regulation antibody; Signaling Transduction antibody |
| Calculated MW | 36 kDa |
| PTM | Ubiquitinated, leading to proteasomal degradation. Phosphorylated. Interaction with PPP2CA promotes dephosphorylation. |
Images (2) Click the Picture to Zoom In
