ARG55420
anti-Pin 1 antibody [855CT1.7.5]
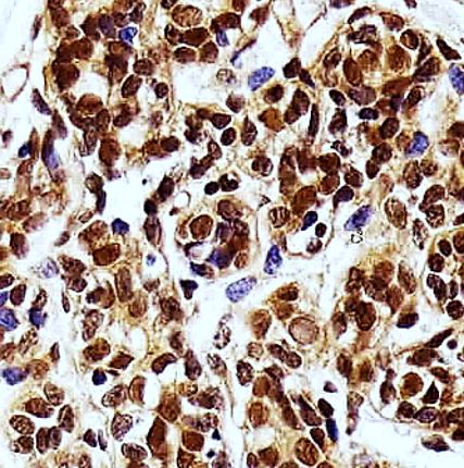
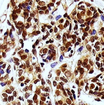
anti-Pin 1 antibody [855CT1.7.5] for IHC-Formalin-fixed paraffin-embedded sections,Western blot and Human,Mouse,Rat,Monkey
Cell Biology and Cellular Response antibody; Neuroscience antibody
Overview
| Product Description | Mouse Monoclonal antibody recognizes Pin 1 |
|---|---|
| Tested Reactivity | Hu, Ms, Rat, Mk |
| Tested Application | IHC-P, WB |
| Host | Mouse |
| Clonality | Monoclonal |
| Clone | 855CT1.7.5 |
| Isotype | IgG1 |
| Target Name | Pin 1 |
| Antigen Species | Human |
| Immunogen | Purified His-tagged Human Pin1 protein. |
| Conjugation | Un-conjugated |
| Alternate Names | UBL5; PPIase Pin1; DOD; Peptidyl-prolyl cis-trans isomerase NIMA-interacting 1; EC 5.2.1.8; Rotamase Pin1; Peptidyl-prolyl cis-trans isomerase Pin1 |
Application Instructions
| Application Suggestion |
|
||||||
|---|---|---|---|---|---|---|---|
| Application Note | * The dilutions indicate recommended starting dilutions and the optimal dilutions or concentrations should be determined by the scientist. | ||||||
| Positive Control | Mouse brain |
Properties
| Form | Liquid |
|---|---|
| Purification | Purification with Protein G. |
| Buffer | PBS and 0.09% (W/V) Sodium azide |
| Preservative | 0.09% (W/V) Sodium azide |
| Storage Instruction | For continuous use, store undiluted antibody at 2-8°C for up to a week. For long-term storage, aliquot and store at -20°C or below. Storage in frost free freezers is not recommended. Avoid repeated freeze/thaw cycles. Suggest spin the vial prior to opening. The antibody solution should be gently mixed before use. |
| Note | For laboratory research only, not for drug, diagnostic or other use. |
Bioinformation
| Database Links |
Swiss-port # Q13526 Human Peptidyl-prolyl cis-trans isomerase NIMA-interacting 1 Swiss-port # Q9QUR7 Mouse Peptidyl-prolyl cis-trans isomerase NIMA-interacting 1 |
|---|---|
| Gene Symbol | PIN1 |
| Gene Full Name | peptidylprolyl cis/trans isomerase, NIMA-interacting 1 |
| Background | Peptidyl-prolyl cis/trans isomerases (PPIases) catalyze the cis/trans isomerization of peptidyl-prolyl peptide bonds. This gene encodes one of the PPIases, which specifically binds to phosphorylated ser/thr-pro motifs to catalytically regulate the post-phosphorylation conformation of its substrates. The conformational regulation catalyzed by this PPIase has a profound impact on key proteins involved in the regulation of cell growth, genotoxic and other stress responses, the immune response, induction and maintenance of pluripotency, germ cell development, neuronal differentiation, and survival. This enzyme also plays a key role in the pathogenesis of Alzheimer's disease and many cancers. Multiple alternatively spliced transcript variants have been found for this gene.[provided by RefSeq, Jun 2011] |
| Function | Peptidyl-prolyl cis/trans isomerase (PPIase) that binds to and isomerizes specific phosphorylated Ser/Thr-Pro (pSer/Thr-Pro) motifs in a subset of proteins, resulting in conformational changes in the proteins. Displays a preference for an acidic residue N-terminal to the isomerized proline bond. Regulates mitosis presumably by interacting with NIMA and attenuating its mitosis-promoting activity. Down-regulates kinase activity of BTK. Can transactivate multiple oncogenes and induce centrosome amplification, chromosome instability and cell transformation. Required for the efficient dephosphorylation and recycling of RAF1 after mitogen activation. Binds and targets PML and BCL6 for degradation in a phosphorylation-dependent manner. Acts as a regulator of JNK cascade by binding to phosphorylated FBXW7, disrupting FBXW7 dimerization and promoting FBXW7 autoubiquitination and degradation: degradation of FBXW7 leads to subsequent stabilization of JUN. [UniProt] |
| Cellular Localization | Nucleus. Nucleus speckle. Cytoplasm. Note=Colocalizes with NEK6 in the nucleus. Mainly localized in the nucleus but phosphorylation at Ser-71 by DAPK1 results in inhibition of its nuclear localization |
| Research Area | Cell Biology and Cellular Response antibody; Neuroscience antibody |
| Calculated MW | 18 kDa |
| PTM | Phosphorylation at Ser-71 by DAPK1 results in inhibition of its catalytic activity, nuclear localization, and its ability to induce centrosome amplification, chromosome instability and cell transformation. |
Images (2) Click the Picture to Zoom In
