ARG63633
anti-Pirin antibody
anti-Pirin antibody for IHC-Formalin-fixed paraffin-embedded sections,Western blot and Human
Controls and Markers antibody; Gene Regulation antibody
Overview
| Product Description | Goat Polyclonal antibody recognizes Pirin |
|---|---|
| Tested Reactivity | Hu |
| Predict Reactivity | Ms |
| Tested Application | IHC-P, WB |
| Specificity | Variants (NP_003653.1; NP_001018119.1) encode the same protein |
| Host | Goat |
| Clonality | Polyclonal |
| Isotype | IgG |
| Target Name | Pirin |
| Antigen Species | Human |
| Immunogen | GSSKKVTLSVLSREC |
| Conjugation | Un-conjugated |
| Alternate Names | EC 1.13.11.24; Probable quercetinase; Pirin; Probable quercetin 2,3-dioxygenase PIR |
Application Instructions
| Application Suggestion |
|
||||||
|---|---|---|---|---|---|---|---|
| Application Note | WB: Recommend incubate at RT for 1h. IHC-P: Antigen Retrieval: Steam tissue section in Citrate buffer (pH 6.0). * The dilutions indicate recommended starting dilutions and the optimal dilutions or concentrations should be determined by the scientist. |
Properties
| Form | Liquid |
|---|---|
| Purification | Purified from goat serum by antigen affinity chromatography. |
| Buffer | Tris saline (pH 7.3), 0.02% Sodium azide and 0.5% BSA. |
| Preservative | 0.02% Sodium azide |
| Stabilizer | 0.5% BSA |
| Concentration | 0.5 mg/ml |
| Storage Instruction | For continuous use, store undiluted antibody at 2-8°C for up to a week. For long-term storage, aliquot and store at -20°C or below. Storage in frost free freezers is not recommended. Avoid repeated freeze/thaw cycles. Suggest spin the vial prior to opening. The antibody solution should be gently mixed before use. |
| Note | For laboratory research only, not for drug, diagnostic or other use. |
Bioinformation
| Database Links | |
|---|---|
| Background | This gene encodes a member of the cupin superfamily. The encoded protein is an Fe(II)-containing nuclear protein expressed in all tissues of the body and concentrated within dot-like subnuclear structures. Interactions with nuclear factor I/CCAAT box transcription factor as well as B cell lymphoma 3-encoded oncoprotein suggest the encoded protein may act as a transcriptional cofactor and be involved in the regulation of DNA transcription and replication. Alternatively spliced transcript variants have been described. [provided by RefSeq, Jul 2008] |
| Research Area | Controls and Markers antibody; Gene Regulation antibody |
| Calculated MW | 32 kDa |
Images (4) Click the Picture to Zoom In
-
ARG63633 anti-Pirin antibody WB image
Western Blot: Human Heart lysate (35 µg protein in RIPA buffer) stained with ARG63633 anti-Pirin antibody at 0.3 µg/ml dilution.
-
ARG63633 anti-Pirin antibody WB image
Western Blot: 1). Mock transfection; 2) PIR (RC223111) expressing plasmid transfected HEK293 cell lysate standed with ARG63633 anti-Pirin antibody
-
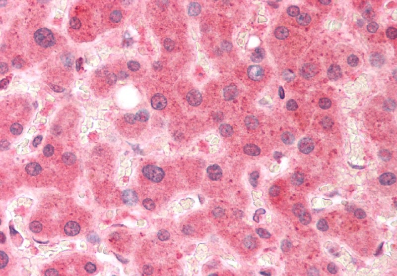
ARG63633 anti-Pirin antibody IHC-P image
Immunohistochemistry: Paraffin-embedded Human liver tissue. Antigen Retrieval: Steam tissue section in Citrate buffer (pH 6.0). The tissue section was stained with ARG63633 anti-Pirin antibody at 5 µg/ml dilution followed by AP-staining.
-
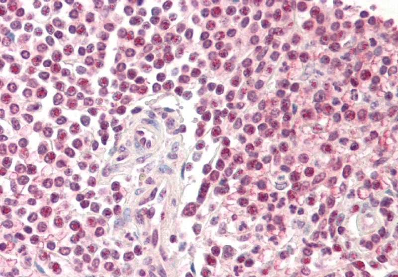
ARG63633 anti-Pirin antibody IHC-P image
Immunohistochemistry: Paraffin-embedded Human spleen tissue. Antigen Retrieval: Steam tissue section in Citrate buffer (pH 6.0). The tissue section was stained with ARG63633 anti-Pirin antibody at 5 µg/ml dilution followed by AP-staining.
